陈贵平主任:跨年之刀—一例肠梗阻肿瘤切除手术分享

来源:掌上医讯肿瘤APP作者:陈贵平时间:2024-01-02 阅读:8057评论:0赞:0 有0人参与

病例分享






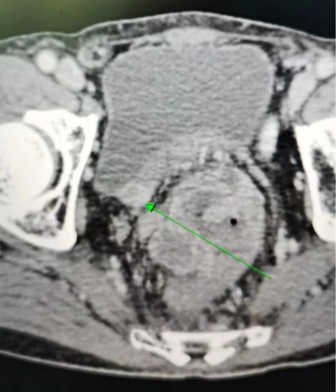
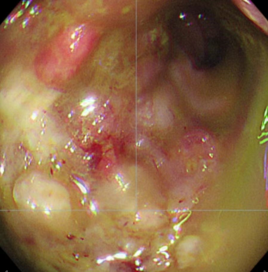
一位80岁高龄患者在一年余前于家中无明显诱因下突发腹部胀痛不适,疼痛呈阵发性,不剧,当时未予以重视。之后反复腹胀腹痛一年多,后期每日解大便数次较前增多,且每次解大便不通畅、不尽感明显。由于老年人对该疾病不敏感,一直误以为肠胃炎,没有及时就医。近期上述症状较前明显加重,遂来温州市中心医院就诊住院,查肠镜发现直肠内一较大的不规则隆起肿块,易出血,已造成肠腔狭窄梗阻,肠镜活检病理提示直肠腺癌。且进一步的腹部CT、MRI检查发现直肠肿瘤已明显侵犯右侧输尿管,导致右肾积水、右输尿管明显扩张。


患者检查资料

肠镜检查

CT检查

MRI检查


由于该患者的恶性肿瘤根治手术的难度很大,为了让患者更好地获益,在元旦跨年之际,主管医生请浙江省盆腔肿瘤外科专家浙江省中医院胃肠外科陈贵平主任至温州市中心医院会诊帮助患者施行了该例高难度的腹腔镜探查+直肠癌扩大根治手术(直肠低位前切除+远端封闭近端乙状结肠造口+右侧输尿管部分切除+膀胱肌瓣成形输尿管膀胱吻合术)。


本例手术的难点之一是,由于肿块侵犯的输尿管较长,切除后输尿管与膀胱无法牢固的连接,故采取截取膀胱壁做瓣缝合成管状,再与残端输尿管进行吻合,这种“输尿管”的成型技术难度高。


难点之二在于患者的肿瘤侵犯盆壁,骶前、右侧髂血管,这两个部位血管丰富,手术难度大,术中采取先用腹腔镜探查,并进行游离的方式,由于肿瘤较大,从病人安全角度考虑,切换成开放手术。


手术照片

上下滑动浏览


 精华总结   主任手记


1.面对这种复杂的盆腔肿瘤患者,仅胃肠外科医生或泌尿外科医生均难以处理,一定要有多学科的思维;而对做盆腔手术的医生来说,就需要熟练掌握各个盆腔器官的解剖以及多种手术技能;


2.手术方式选择微创还是开放,要切实的从患者实际情况判断,以保障患者生命安全为最大的目标,开放手术并不意味手术失败,该开放的时候医生要果断采取开放手术;

 

3.老年人没有定时体检的习惯,很多例如大便不畅的小毛病,不会去医院就诊,很多早期胃肠疾病没有及时发现被延误,跨年之际,也期望子女们多主动关心一下父母的健康状况,父母有不适的症状要及时带他们去就诊。


图片

专家简介



陈贵平

浙江省中医院天台分院执行院长

浙江省中医院胃肠外科主任

主任医师 硕士研究生导师


擅长消化系统胃肠道肿瘤开放和腔镜下各种手术,开展晚期胃癌的转化治疗及腹腔热灌注化疗,早期胃癌及胃肠道间质瘤双镜联合治疗,开展了腹腔镜下结直肠的根治手术,包括NOSES手术和TATME手术,及极限保肛ISR手术,复杂性肠根阻、肠瘘、复发性结直肠癌、盆腔肿瘤、阑尾粘液性肿瘤、腹膜后巨大肿瘤等疾病的处理上积累了丰富的临床经验。擅长局部晚期直肠癌的联合多脏器切除、各种复杂性和复发性盆腔肿瘤如妇科肿瘤和泌尿系肿瘤侵犯结直肠进行的前半盆、后半盆和全盆腔脏器清除术等。每年开展上述各类复杂手术近200例。

目前为浙江省消化系统肿瘤中西医结合诊治重点实验室主任,同时主持浙江省中西医结合胃癌诊治中心项目,中管局课题一项。主持完成厅级课题2项,参与省部级研究课题多项,已在国际和国内学术期刊上发表论文50余篇,其中SCI收录9篇。

学术任职:

中国医促会盆腔肿瘤学分会副主任委员

中国医师协会外科分会盆腔外科工作组副组长

中国抗癌协会盆腔肿瘤整合专委会常委

中国中西医结合学会围手术期医学专委会副主任委员

浙江省中西医结合学会围手术期医学专委会主任委员
浙江省数理医学会盆腔整合医学专业委员会副主任委员
浙江省数理医学会盆腔肿瘤多学科诊疗专业委员会主任委员
浙江省中医院盆腔多学科诊治中心主任
浙江省抗癌协会大肠癌专业委员会常委
浙江省抗癌协会肿瘤微创诊治专业委员会常委
浙江省数理医学会结直肠癌专业委员会常委
浙江省抗癌协会放射性粒子植入专委会常委

小提示:87%用户已下载掌上医讯App,更方便阅读和交流,请扫描二维码直接下载App

(本网站所有内容,凡注明来源为“掌上医讯”,版权均归掌上医讯所有,欢迎转载,转载请注明出处,否则将追究法律责任。凡是本网站注明来源为其他媒体的内容为转载,版权归原作者所有,转载仅作分享,文章观点不作为掌上医讯观点,如有侵权,请及时联系我们,联系电话:0532-67773733)

共有0人参与讨论