陈洁 王雪 汤善宏
西部战区总医院消化内科
主题述评
肝损害原因包括病毒、脂肪病变、自身免疫性、药物性、淤血性、遗传代谢性等,在我国主要表现为嗜肝病毒包括甲、乙、丙及戊型病毒引起的肝炎,非嗜肝病毒包括疱疹病毒、EB病毒等导致的肝损害较少见,梅毒螺旋体(Treponema pallidum)引起的性传播疾病导致的梅毒性肝炎则更少见。近年来,梅毒的发生率逐年升高,但肝脏受累是非常罕见的,且常发生在二期。梅毒肝炎主要特点是血清碱性磷酸酶(ALP)水平高,谷丙转氨酶(ALT)和谷草转氨酶(AST)通常正常或只有轻微异常,皮肤皮疹典型表现为弥漫性、对称性斑疹,累及躯干和四肢[1]。本文主要报道了西部战区总医院消化内科近期诊治的1例以肝功能异常、胆汁淤积为主要表现的梅毒性肝炎,为该类患者诊治提供借鉴。
病例简介
主诉:患者男性54岁,主因“乏力纳差10余天”于2022-11-20入院。


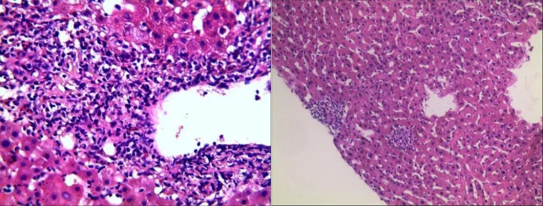
图2. 行右肝穿刺,肝组织结构大致正常,未见淤胆及脂变,肝实质散在点状坏死灶及慢性小肉芽肿结节分布;全切片查见5个较为完整的汇管区,小胆管轻度扩张,数目不增加,管周较多淋巴细胞、浆细胞及少量中性粒细胞浸润,侵蚀界面,个别汇管区组织细胞聚集、小肉芽肿形成。
专家点评

陈洁,成都医学院2022级消化内科硕士研究生在读,主要研究肝再生、肝衰竭等方向的课题。

撰稿人
王雪,中国人民解放军消化内科医师,长期从事消化系统疾病的诊治工作,擅长消化道出血、消化道肿瘤、自身免疫性肝病、胰腺炎的诊治。
审稿人
汤善宏,西部战区总医院消化内科主任
往期回顾
声明:本文仅供医疗卫生专业人士了解最新医药资讯参考使用,不代表本平台观点。该信息不能以任何方式取代专业的医疗指导,也不应被视为诊疗建议,如果该信息被用于资讯以外的目的,本站及作者不承担相关责任。
(来源:《国际肝病》编辑部)
小提示:87%用户已下载掌上医讯App,更方便阅读和交流,请扫描二维码直接下载App
(本网站所有内容,凡注明来源为“掌上医讯”,版权均归掌上医讯所有,欢迎转载,转载请注明出处,否则将追究法律责任。凡是本网站注明来源为其他媒体的内容为转载,版权归原作者所有,转载仅作分享,文章观点不作为掌上医讯观点,如有侵权,请及时联系我们,联系电话:0532-67773733)