【临床特征】脂肪母细胞瘤/脂肪母细胞瘤病是一种胚胎性白色脂肪的良性肿瘤,可能表现为分叶的边界清楚的局限性肿块(脂肪母细胞瘤),也可能表现为弥漫性和浸润性病变(脂肪母胞瘤病)。大多数病例发生于婴儿期和儿童早期,即5岁之前。男孩稍微多见,四肢和躯干是最常见的解剖部位。
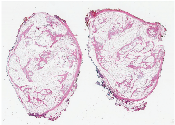
【大体表现】脂肪母细胞瘤通常<5厘米,极少数大于10厘米。肿瘤通常边界清楚,分叶状,切面灰黄、乳白色,通常有明显的纤维小梁,分隔黏液样区域、囊性间隙或脂肪结节。
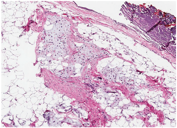
【镜下特征】脂肪母细胞瘤的特征是成熟度不同的脂肪细胞结节嵌入轻度黏液样变基质中,并被不同厚度的纤维间隔隔开(图1)。脂肪细胞成熟可能代表某种程度上的区域性成熟,从原始间叶细胞到印戒样脂肪母细胞,从多空泡样脂肪母细胞(multivacuolated lipoblasts)到成熟脂肪细胞。背景黏液样基质通常表现为薄壁丛状血管,类似于黏液样脂肪肉瘤(图2)。偶尔可以看到异源性成分,如软骨样化生、髓外造血和慢性炎症。没有明显的细胞异型性或核分裂象。

图1:脂肪母细胞瘤是一种边界清楚的、分叶状肿瘤,有厚度不等的纤维间隔。

图2:由不同成熟度的脂肪细胞和黏液样基质混合的脂肪母细胞瘤类似于黏液样脂肪肉瘤。
【辅助检查】与普通成人脂肪瘤一样,脂肪母细胞瘤中的脂肪细胞也对S100呈阳性反应。黏液样和纤维样区域中的梭形细胞CD34阳性,偶尔可见Desmin阳性细胞。脂肪母细胞瘤通常包含涉及8q12(PLAG1)的结构改变或基因融合。8号染色体的一个或多个额外拷贝数可以在有或没有相关基因融合的病例中出现。
【鉴别诊断】最重要的鉴别诊断是黏液样脂肪肉瘤(DDIT3免疫组织化学抗体在黏液样脂肪肉瘤诊断中的灵敏度及特异度均达到100%)。然而,小叶和更成熟的非黏液区域的存在,尤其是儿童病例,有助于确定脂肪母细胞瘤的诊断。
【预后与治疗】局部型(脂肪母细胞瘤)手术切除通常能完全治愈。局部复发更可能与弥漫型(脂肪母细胞瘤病)有关,当切除不完全时,复发率高达50%。去分化不会发生,也没有远处转移的风险。
本文来源:华夏病理网微信公众号(ID:HPIN2006)
责任编辑/薛德彬
小提示:87%用户已下载掌上医讯App,更方便阅读和交流,请扫描二维码直接下载App
(本网站所有内容,凡注明来源为“掌上医讯”,版权均归掌上医讯所有,欢迎转载,转载请注明出处,否则将追究法律责任。凡是本网站注明来源为其他媒体的内容为转载,版权归原作者所有,转载仅作分享,文章观点不作为掌上医讯观点,如有侵权,请及时联系我们,联系电话:0532-67773733)