撰文 | 任训雷
恶心、呕吐、腹胀是消化疾病的常见症状,临床上接诊到恶心、呕吐、腹胀伴排气排便减少的患者消化科医生一般首先考虑肠梗阻。但今天这一病例,患者突然出现腹胀、恶心、呕吐,不是肠梗阻,不是胰腺炎,也不是胆囊炎,究竟会是什么呢?
希望通过今天这一病例的分享,大家在临床上遇到恶心、呕吐、腹胀伴排气排便减少的患者别漏了这一病因。
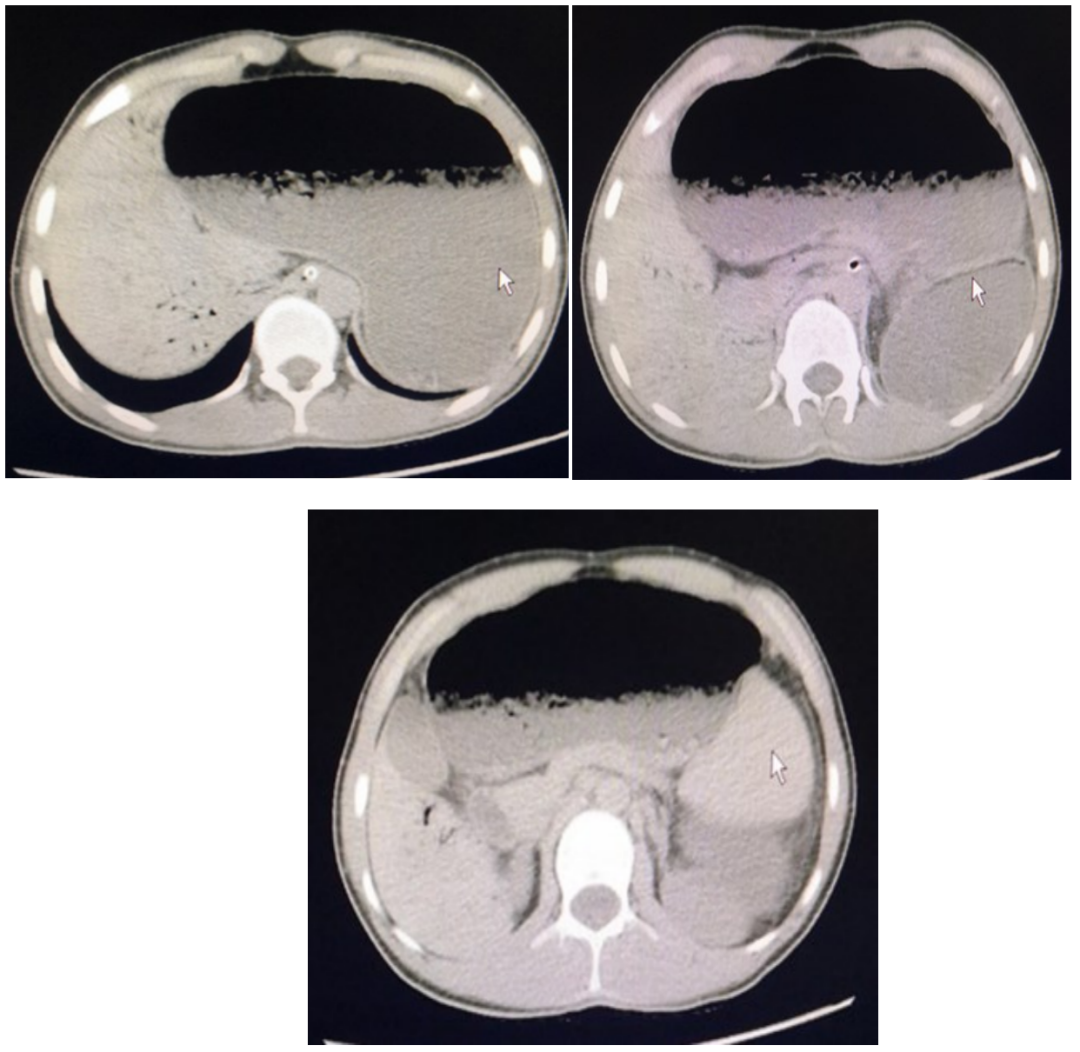
患者,男性,15岁,学生,以“恶心、呕吐、腹胀1天”为主诉入院。患者1天前进食过饱后出现恶心、呕吐、腹胀,同时伴有排气减少、纳差,大便量少 ,无腹痛、发热、反酸、烧心等不适,小便无异常,自行停止进食水后症状稍好转。发病以来,患者神志清,精神差,未进食,体重无明显下降。既往体健,无高血压、糖尿病、冠状动脉粥样硬化性心脏病、手术病史。生命体征平稳,神志清,精神欠佳,双肺呼吸音清,未闻及干湿性啰音,心律齐,心脏各瓣膜听诊区未闻及病理性杂音,腹软,膨隆,上腹部为主,可闻及震水音,肝脾肋下未触及,无压痛及反跳痛,肠鸣音弱,双下肢无水肿。入院后实验室检查:血常规、肝功能、肾功能、电解质、凝血、免疫、淀粉酶、脂肪酶、血栓两项均无异常。青少年男性,恶心、呕吐、腹胀、排气排便减少,首先考虑肠梗阻。肠梗阻临床上一般分为血运性、动力性、机械性,但该患者无手术史、近期无消瘦、既往无心房颤动、冠状动脉粥样硬化性心脏病,都不太支持。入院后给以禁食、抑制胃酸分泌、补液等对症支持诊疗,行上腹部CT检查,结果如下:结合患者病史以及CT结果,聪明的读者有想到是什么疾病吗?
小提示:仔细分析CT结果哦~

或点击文末阅读原文,也可进入“医生站网页版”获得答案~*"医学界"力求所发表内容专业、可靠,但不对内容的准确性做出承诺;请相关各方在采用或以此作为决策依据时另行核查。
小提示:87%用户已下载掌上医讯App,更方便阅读和交流,请扫描二维码直接下载App
(本网站所有内容,凡注明来源为“掌上医讯”,版权均归掌上医讯所有,欢迎转载,转载请注明出处,否则将追究法律责任。凡是本网站注明来源为其他媒体的内容为转载,版权归原作者所有,转载仅作分享,文章观点不作为掌上医讯观点,如有侵权,请及时联系我们,联系电话:0532-67773733)