求关注
求转发


大纲要求掌握的神经系统疾病
动脉粥样硬化、脑血管畸形、动脉瘤、弥漫型星形细胞瘤、间变型星形细胞瘤、胶质母细胞瘤、毛细胞型星形细胞瘤、多形性黄色星形细胞瘤、少突胶质细胞瘤、间变型少突胶质细胞瘤、室管膜瘤、脉络丛肿瘤、髓母细胞瘤、幕上原始神经外胚层肿瘤、脑膜瘤、血管母细胞瘤、神经鞘瘤、生殖细胞瘤、畸胎瘤、卵黄囊瘤、胚胎癌、绒癌、造釉细胞型颅咽管瘤、恶性淋巴瘤。
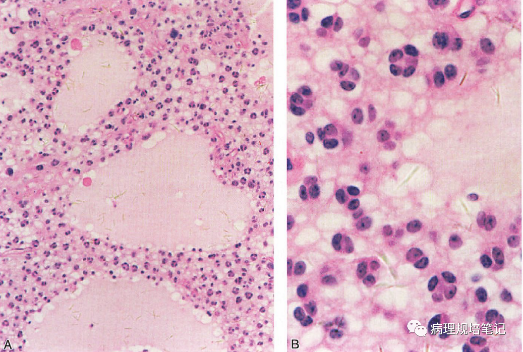
图9-1 少突胶质细胞瘤
瘤细胞密度中等,大小一致,透亮(蜂窝状),见致密的分支状毛细血管网
(来源《刘彤华诊断病理学P1150》侵权删)

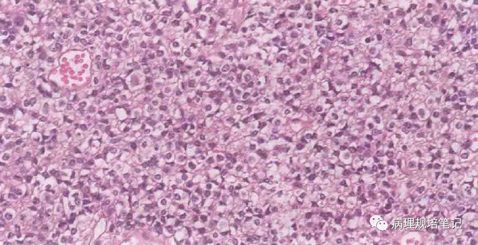
(来源《刘彤华诊断病理学P1151》侵权删)

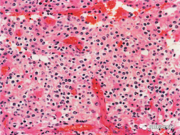
(来源《临床病理学P512》侵权删)

4.郑杰(主译).《阿克曼外科病理学》,2014年1月第1版,北京大学医学出版社。

未完待续……
欢迎关注公众号,更多精彩内容持续更新中!

逢考必过

考试加油
点个在看你最好看
小提示:87%用户已下载掌上医讯App,更方便阅读和交流,请扫描二维码直接下载App
(本网站所有内容,凡注明来源为“掌上医讯”,版权均归掌上医讯所有,欢迎转载,转载请注明出处,否则将追究法律责任。凡是本网站注明来源为其他媒体的内容为转载,版权归原作者所有,转载仅作分享,文章观点不作为掌上医讯观点,如有侵权,请及时联系我们,联系电话:0532-67773733)