干咳

秋季养肺10种中成药和7种饮片

温馨提示:如果您是一名乡村医生,点击上方蓝色字体,关注《乡医论坛》后一起讨论和发表您的看法和意见。燥是秋季的主气,人体极易受燥邪侵袭而伤肺,可导致阴津耗损,出现皮肤干燥和体液丢失等症状,并伤及人体肺部,可表现为口干、唇裂、鼻塞、咽痛、阵发性干咳,甚至流鼻血或咯出带血的痰等一系列类似上呼吸道感染的“干燥症”。那么,秋季如何养肺护肺,如何向患者正确推荐养肺护肺的药品?本文列举了常用的10种养肺润肺的中成药及7类中药饮片,为药店人荐药提供参考借鉴。...

乡医论坛 2022-08-22

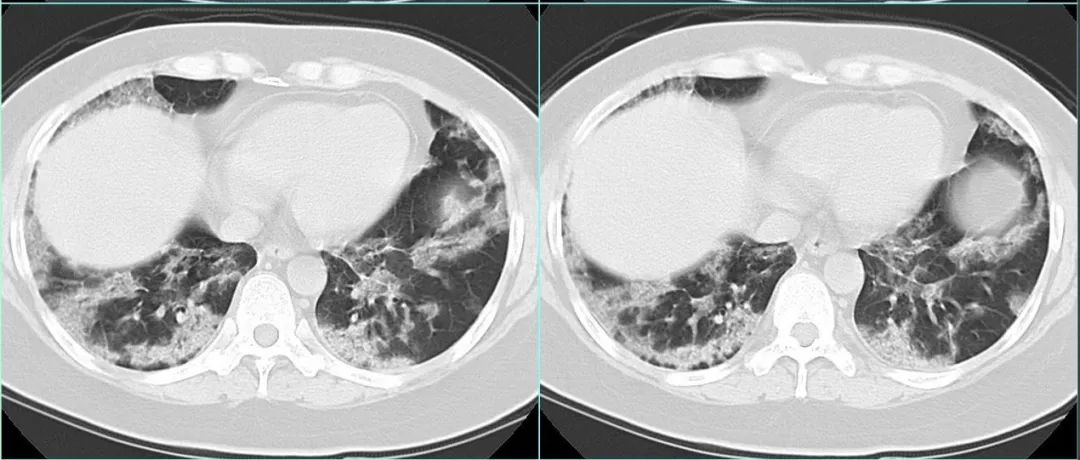
中年女性,干咳、气喘10天,请诊断!

医学影像  yxyx-app  医学影像APP,打造伴随医生快速成长的影像学习社区。与影像园(Xctmr.com)一起提供最全面的影像案例库、基础(解剖、病理、影像诊断)知识、影像技术及考题等,为医生提供最佳的医学影像参考。【所属科室】呼吸科【基本资料】患者,女,41岁【主诉】干咳、气喘10天【现病史】患者于入院前10天受凉后出现咳嗽,干咳无痰,气喘,不能平卧,近4天出现发热,最高体温39℃,食欲减退,食量减少为原来的1/2,无流涕、喷嚏、咽痛,无全身疼痛及关节疼痛。遂来我院就诊,予以头孢米诺静滴7天,左氧氟沙星、地塞米松静滴3天,体温恢复正常,但咳嗽、气喘无明显好转。...

医学影像APP 2022-06-23

敲警钟!处方上写了这两个字,村卫生室被关停20天!

点击上方蓝字关注我们来源:金华卫监多家村卫生室、诊所被罚近期,多地相继发生本土疫情,防控形势异常严峻。为进一步发挥基层医疗机构“哨点”作用,压实医疗机构疫情防控主体责任,金华市卫生监督部门迅速集结,加大力度,全员出动,周末无休,对医疗机构开展疫情防控全覆盖执法检查。截至12月12日,仅本月12天,共检查医疗机构3145家次,出具监督意见书330份,查处案件125件,关停97家,罚款6.5万元。现将部分案件警示通报如下...

乡村白大褂 2021-12-24

卫生室“干咳”字样处方1张,被关停20天

《乡医公社》,一个只为村医助力呐喊的平台!如果您是一名村医,请点击上方蓝色字体加入我们吧!让我们团结起来!共同为百万村医发声!疫情就是命令 防控就是责任近期,多地相继发生本土疫情,防控形势异常严峻。为进一步发挥基层医疗机构“哨点”作用,压实医疗机构疫情防控主体责任,金华市卫生监督部门迅速集结,加大力度,全员出动,周末无休,对医疗机构开展疫情防控全覆盖执法检查。截至12月12日,仅本月12天,共检查医疗机构3145家次,出具监督意见书330份,查处案件125件,关停97家,罚款6.5万元。...

乡医公社 2021-12-18

国庆假期如何安排,听听疾控专家的最新建议!

近日,部分省市又新增新冠肺炎确诊病例,国庆假期临近,疾控专家建议,所有人非必要不出京。疾控专家建议非必须不出京,尤其是不前往疫情中高风险地区和已有本地阳性病例报告的地区。确需出行的,密切关注目的地和途经地疫情形势,切实做好个人防护,减少感染风险。在市内旅游时,疾控专家建议,尽量减少去往封闭场所和人群聚集场所,减少聚餐。注意与他人保持距离。选好目的地、景区和景点,选择通风状况良好的景点,尽量提前预约,避开景区高峰时段,确保绿码通行。...

全科学苑 2021-10-01

南京:毒株锁定!

来源:医疗圈那点事 整理2021年7月26日0到24时,南京市新增本土新冠肺炎确诊病例31例,其中7例无症状感染者转为确诊病例,新增报告病例数仍然主要集中在重点管控区域,相关密切接触者和次密均已按照有关规定进行甄别管理。27日上午,南京市举行第七场新冠肺炎疫情防控新闻发布会,通报疫情防控最新情况。据通报,引起这次疫情的病毒毒株是德尔塔毒株。德尔塔毒株目前是全球疫情流行的一个最主要的毒株。从此前相关的疫情来看,这个毒株有一些新的特点:...

医疗圈那点事 2021-07-27

触目惊心!因干咳入院的患者竟是肺癌晚期

导读:干咳是临床肺部疾病常见症状之一,指咳嗽无痰,或痰极少、不易排出的表现。不同部位如鼻、气管、肺、胃、食管的病变均可引起干咳,其病因也多种多样,感染、炎症、过敏、反流、肿瘤等均可引起咳嗽。END来源:爱爱医排版:李璞 | 审校:瑞雪

全科学苑 2021-06-27

体虚感冒也要分型治

体虚感冒是常见的风寒感冒、风热感冒等证型之外的一种较为特殊的感冒类型。

基层医生俱乐部 2021-06-27

新冠疫苗接种第一针后,六个问题人人须知!

来源:健康广东、泸州发布、自贡市疾控中心、基层院长之家近日,关于“6月10日之后暂停接种第一针”的消息沸沸扬扬。(图为某县发布的暂停接种第一针通知)从各地官方发布的种种通知中我们不难得知,在6月10日之后,新冠疫苗的接种重心将从首针转向第二针。那么在接种过第一针后,居民应该知晓哪些内容呢?小院根据各地官方宣传发布整理“六问须知”如下:第二针新冠疫苗预约不上怎么办?随着大家接种新冠疫苗意愿持续高涨,部分地区出现疫苗总体供应不足的情况。...

基层医生俱乐部 2021-05-29

基层医生注意!国家药监局宣布:283个常用药退市!

多个常用药退市,包括辅酶Q10胶囊、维生素C片、红霉素肠溶片、罗红霉素胶囊...又有283个常用药品退市5月

基层医生俱乐部 2021-05-27

    上海医师在线信息技术有限公司 版权所有 ©   沪ICP备12005625号-1