扁桃体

图片+视频详解:扁桃体切除术

图片+视频,清晰明了。急性扁桃体炎(acute tonsillitis)定义为腭扁桃体的急性非特异性炎症,是一种很常见的咽部的感染性疾病。常继发于上呼吸道感染,可伴有不同程度的咽部黏膜和淋巴组织的急性炎症。特别多发于儿童及青少年,在季节更替、气温变化时容易发病。切除时机1、急性扁桃体炎多次反复发作的病例,每年2次或以上,特别是已有并发症者,应在急性炎症消退2~3周后施行扁桃体切除术。2、扁桃体过度肥大,妨碍吞咽、呼吸及发音功能。...

医护多外科学霸 2023-02-26

神外例说 | 邓钢:最初的战场,最后的战役——脑脊液管理是陪伴神经外科医生一生的朋友

“神外例说”脑脊液管理病例专栏由美敦力打造,旨在针对脑脊液管理领域优秀诊疗经验分享、交流的整合平台,促进神外科学研究与发展。本期病例主题:最初的战场,最后的战役——脑脊液管理是陪伴神经外科医生一生的朋友病例来源:美敦力第一届神外有声病例大赛全国总决赛优秀病例分享嘉宾:邓钢邓钢武汉大学人民医院病例演讲视频病例分析Ø基本信息患者,女,53岁主诉:脑膜瘤术后3月,视力进行性下降伴呕吐2天。现病史:患者3月前行枕骨大孔区脑膜瘤切除术,术后发热予以抗感染治疗后好转出院。1月前因颈背部皮下积液住院治疗,行腰大池引流2周后好转出院。2天前诉双眼视力进行性下降,伴恶心呕吐。...

神外世界 2022-10-21

1 年来反复发热伴口腔异味,看图你的诊断是?

感谢丁香园站友 @zhanghaiyan1002 分享的病例:患者:女,4 岁 2 月。简要病史:患儿近 1 年来每 3 ~ 4 周出现反复发热,波动在 38.5 ~ 39.9 ℃,热前口腔有异味,发热时扁桃体可见脓性分泌物点,口服退热药、抗生素 5 ~ 7 天可退热,无卡他症状、无寒战,生长发育正常。体格检查:发热期可见扁桃体脓性分泌物。辅助检查:发热期查血常规正常或中粒轻度升高,CRP:93 mg/L。PCT:正常。超声示:颈部、腹部淋巴结轻度肿大。...

丁香园儿科时间 2022-10-14

肠道菌群生态失调会引发自身免疫性疾病,扁桃体菌群也不例外

扁桃体是具有免疫功能的重要淋巴器官,它是免疫系统抵御吞咽或吸入外来病原体的第一道防线,因此,这个淋巴器官会经常充血。扁桃体表面有专门的抗原捕获细胞,称为微折细胞(M细胞),可吸收病原体产生的抗原。这些M细胞随后通知扁桃体中的B细胞和T细胞存在病原体,以刺激宿主免疫反应。此外,由于口咽部是饮食和呼吸的必经之路,因此扁桃体与肠道类似,也是微生物的家园。扁桃体菌群与粘膜的密切接触使它们能与免疫系统直接相互作用。...

纽特舒玛资讯 2022-09-16

喝可乐竟然能治结石!7 种人体结石大揭秘

人是水做的,最近是开水做的。 除了大量的水分,人体肉、骨、血主要是碳基有机物。偶尔呢,也有少许不按常规出牌的无机矿物盐出现在了人体里,这些多出来的矿物盐就是结石。 很多人遭遇过各种各样的身体结石。有的结石治疗居然是喝可乐,有的更推荐吃柠檬;有的结石让人臭不可闻,有的令人痛不欲生;坐过山车可能帮助有些结石排石,还有的结石或许能试试大摆锤治疗。 今天我们帮大家盘点了人体内常见的 7 种结石清单,按照从人体部位从高到低的顺序排列。你将看到五花八门的结石故事、预防和治疗,赶快转给你身边的结石朋友一起看吧!...

丁香园消化时间 2022-07-22

喝可乐竟然能治结石!7 种人体结石大揭秘

人是水做的,最近是开水做的。 除了大量的水分,人体肉、骨、血主要是碳基有机物。偶尔呢,也有少许不按常规出牌的无机矿物盐出现在了人体里,这些多出来的矿物盐就是结石。 很多人遭遇过各种各样的身体结石。有的结石治疗居然是喝可乐,有的更推荐吃柠檬;有的结石让人臭不可闻,有的令人痛不欲生;坐过山车可能帮助有些结石排石,还有的结石或许能试试大摆锤治疗。 今天我们帮大家盘点了人体内常见的 7 种结石清单,按照从人体部位从高到低的顺序排列。你将看到五花八门的结石故事、预防和治疗,赶快转给你身边的结石朋友一起看吧!...

丁香园消化时间 2022-07-22

喝可乐竟然能治结石!7 种人体结石大揭秘

人是水做的,最近是开水做的。 除了大量的水分,人体肉、骨、血主要是碳基有机物。偶尔呢,也有少许不按常规出牌的无机矿物盐出现在了人体里,这些多出来的矿物盐就是结石。 很多人遭遇过各种各样的身体结石。有的结石治疗居然是喝可乐,有的更推荐吃柠檬;有的结石让人臭不可闻,有的令人痛不欲生;坐过山车可能帮助有些结石排石,还有的结石或许能试试大摆锤治疗。 今天我们帮大家盘点了人体内常见的 7 种结石清单,按照从人体部位从高到低的顺序排列。你将看到五花八门的结石故事、预防和治疗,赶快转给你身边的结石朋友一起看吧!...

丁香园消化时间 2022-07-22

喝可乐竟然能治结石!7 种人体结石大揭秘

人是水做的,最近是开水做的。 除了大量的水分,人体肉、骨、血主要是碳基有机物。偶尔呢,也有少许不按常规出牌的无机矿物盐出现在了人体里,这些多出来的矿物盐就是结石。 很多人遭遇过各种各样的身体结石。有的结石治疗居然是喝可乐,有的更推荐吃柠檬;有的结石让人臭不可闻,有的令人痛不欲生;坐过山车可能帮助有些结石排石,还有的结石或许能试试大摆锤治疗。 今天我们帮大家盘点了人体内常见的 7 种结石清单,按照从人体部位从高到低的顺序排列。你将看到五花八门的结石故事、预防和治疗,赶快转给你身边的结石朋友一起看吧!...

丁香园消化时间 2022-07-22

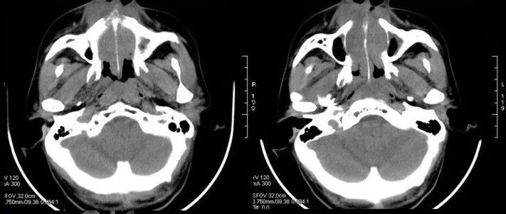
中年男性,持续性鼻塞伴右侧耳下包块10余天,请诊断!

医学影像  yxyx-app  医学影像APP,打造伴随医生快速成长的影像学习社区。与影像园(Xctmr.com)一起提供最全面的影像案例库、基础(解剖、病理、影像诊断)知识、影像技术及考题等,为医生提供最佳的医学影像参考。【所属科室】耳鼻喉科【基本资料】患者,男,59岁【主诉】持续性鼻塞伴右侧耳下包块10余天【影像图片】【讨论问题】如何诊断?【医学影像APP用户讨论】...

咽拭子采集,双方如何配合才有效?

为什么你的眼里常含泪水?因为你总怕大白给你捅得太深……我,从2020年疫情初到现在,采集了成千上万例咽拭子,见到过成千上万形状各异的嘴和舌头。同时,作为一名经常给手术患者进行经口气管插管的麻醉医生,人体的口腔结构也是我们关注和研究的范畴。因此,我在采集咽拭子方面也积累了大量经验和体会。写这篇文章,就是想告诉被采集者如何更好地配合,既让采集员省心,也让自己更舒服;同时也和其他采集员们探讨,如何能引导对方更好地配合采集。...

医学界基层医声 2022-05-16

    上海医师在线信息技术有限公司 版权所有 ©   沪ICP备12005625号-1