牙龈

冷风吹过就牙疼,牙齿也怕冻?原来是它惹的祸!

总会觉得牙齿异常脆弱冷风吹过就牙齿酸痛喝口凉水就牙疼酸甜冷热都觉得刺激刷牙时牙齿针刺般刺痛其实这都是牙齿敏感惹的祸牙齿敏感是疾病吗准确地说,牙齿敏感是多种口腔疾病的一种综合表现,并不单独属于一种疾病。由于牙齿磨损、酸蚀或牙龈萎缩等原因使得牙本质暴露,当受到冷热酸甜及机械刺激时,经牙本质小管便会直接传到神经,引起牙齿疼痛,这就是牙齿敏感。导致牙齿敏感的原因1.牙龈萎缩牙根拥有无数小管直通牙髓神经,一旦失去了它的保护屏障--牙龈,外界刺激便会直接刺激牙髓神经,引起疼痛。...

口腔视界 2023-02-08

每天做点啥,能让牙齿好点?

作者简介 汪潇现工作于赤峰市肿瘤医院口腔科。于2016--2017年在北京大学口腔医院颌面外科进修,获“优秀进修生”称号。2020-2021年在北京大学口腔医院四门诊进修;中华口腔医学会会员;牙槽外科专委会会员;中国整形美容协会牙颌颜面分会青年委员。 口腔全科医师,擅长口腔种植,各类阻生齿、复杂牙拔除,缺失牙修复。欢迎交流合作长按识别二维码关注 打油诗后天保护更重要,刷牙漱口很有效。精细饮食甜蜜到,年龄增长牙磨耗。...

口腔视界 2023-01-29

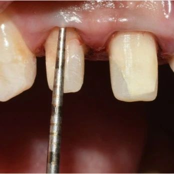
现货牙科美学概念:与牙科技师共同创造的前牙美学修复

书名  牙科美学概念:与牙科技师共同创造的前牙美学修复著 (日)都築優治译  张泓灏  定价:198.00 元出版发行:辽宁科学技术出版社售价:158.00元扫一扫立刻购买编辑推荐本书为读者介绍以获得美学效果为目的的牙科美学概念的重要性及其在临床方面应用的可能性。希望这些内容能够为读者提供一些帮助。 内容简介 在本书中,笔者总结了在美学修复治疗中为了获得牙冠美学和牙龈美学而必不可少的概念和技术精髓,包括考虑天然牙显色的色调表现方法、使用铸瓷材料和氧化锆材料时的色调设计、外部染色的概念、修复体的生物学协调、牙龈框架的设计、考虑牙龈美学的美学修复治疗...

KQ88口腔网 2023-01-14

“阳过”的你,疼过的牙,一文讲清楚新冠为什么会牙疼?

在这个特殊时期,随着越来越多的人开始在社交平台,分享自己的“阳过”经历,电视剧《甄嬛传》又上热搜了。宝鹃~宝鹃~我的嗓子~我的嗓子,我再也不能得宠了~很有画面感,但是你有没有经历过安陵容阶段,某个早上醒来发现嗓子说不出话.......比起常见的咳嗽,嗓子疼,我们发现了有患者出现了这样的灵魂拷问。你别说,有这样情况不在少数。智齿疼痛、牙龈流血、口腔溃疡等等问题出现了不少。(图源:太帅图库)为什么阳了会牙疼?...

KQ88口腔网 2022-12-27

肝病患者牙龈出血怎么办?

上一位50多岁的肝硬化患者,很紧张的问我说,最近早上起来刷牙总是会出血,担心是不是肝硬化病情加重了。在看过他的检查单和经过相应的查体后,发现患者的肝病情况基本稳定,肝功能正常,病毒控制的很好,脾脏略大,血常规脾亢不是很明显,这种情况是不会引起牙龈出血的。也就是说牙龈出血是其他的原因导致的。经过耐心详细的解答后,患者焦虑的情绪才慢慢平复,那么什么情况下会出现牙龈出血,今天我们一起在讨论一下。一说起牙龈出血,很多人都会想到上火。...

医学论坛网 2022-09-18

“地黄丸”家族的8个成员,你能分清楚吗?

“地黄丸”家族庞大,六味地黄丸只是其中之一。很多滋补方都是在它的基础上,加减化裁而成。同名为“地黄丸”,但药物成分略有不同,使用前需仔细察看,以免误用。1、六味地黄丸由熟地黄、山茱萸、山药、泽泻、牡丹皮、茯苓组成。其特点是补泻并用,平和甘淡、不燥不温、补而不滞、滋而不腻,是补阴的代表方之一。适用于肝肾阴亏,虚火所致的眩晕、耳鸣、腰痛、消渴等。2、麦味地黄丸由“六味”加麦冬、五味子组成,也称八仙长寿丸,保养性质明显。适用于肺肾阴虚,如潮热盗汗、咽干咯血、眩晕耳鸣等。对咳久伤阴,或消耗性疾病(如肺结核)所致的咽干、口渴、咳喘、痰中带血等,也有不错的疗效。现代研究称,它还可以用于治疗慢性阻塞性肺病合并肺心病。...

基层医生俱乐部 2022-08-31

牙痛的3种联合用药+7种推荐用药

牙痛病因和症状如下:病因:龋齿,牙髓炎,根尖周炎,牙外伤,牙本质过敏,楔状缺损。症状

乡医之声 2021-04-19

前牙二次修复

值得一看!

    上海医师在线信息技术有限公司 版权所有 ©   沪ICP备12005625号-1