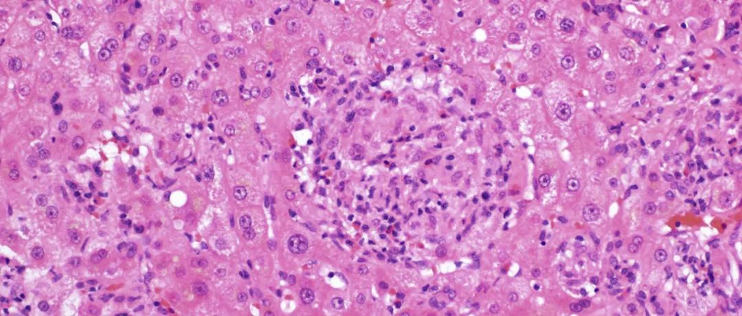
肉芽肿

当肝脏遇到肉芽肿(二)

关注华夏病理丨获取更多病理资讯细菌感染所致肝脏肉芽肿 多种分枝杆菌感染可导致肉芽肿,如结核分枝杆菌、麻风分枝杆菌、鸟-胞内分枝杆菌复合体。结核分枝杆菌是结核病的病因,肝脏结核最常见与肺结核有关,累及肝脏的结核大部分是肺部粟粒性结核血道播散所致,且肝脏也是肺外局灶结核的常见部位。相关症状和体征可有发热、腹痛、肝肿大、血清肝脏相关的酶水平升高(最常见为碱性磷酸酶和γ-谷酰基转移酶)。组织学上,结核分枝杆菌所致肉芽肿为上皮样,常伴干酪样坏死及巨细胞。需抗酸染色来观察病原菌,但其敏感性较低;微生物培养及PCR为有用辅助手段。...

华夏病理网 2022-08-17

青年女性,头部外伤后2月感觉疼痛,请诊断!

医学影像  yxyx-app  医学影像APP,打造伴随医生快速成长的影像学习社区。与影像园(Xctmr.com)一起提供最全面的影像案例库、基础(解剖、病理、影像诊断)知识、影像技术及考题等,为医生提供最佳的医学影像参考。【所属科室】骨科【基本资料】患者,女,19岁,【主诉】头部拳击伤后2月,现感觉疼痛【体格检查】右顶部头皮肿胀,有波动感【影像图片】【讨论问题】...

医学影像APP 2022-08-08

皮肤非感染性肉芽肿-临床及病理简明要点(一)

关注华夏病理丨获取更多病理资讯皮肤肉芽肿性病变病种繁多,具体可分为感染性及非感染性两大类。对于皮肤感染性肉芽肿来说,查见病原体对于确诊有极大帮助;但未查见明显病原体情况下,非感染性肉芽肿的诊断及鉴别诊断却较为困难。皮肤非感染性肉芽肿的诊断,一般需密切结合临床及多项辅助检查结果,才能得出最终结论。2015年,加拿大医学专家Kamil等人在《J Clin Pathol》杂志发表综述,简明扼要的介绍了皮肤非感染性肉芽肿性病变中部分重要病种的特征。为帮助大家更好的了解相关问题并指导临床实践,我们将该文要点编译介绍如下。...

晚期胃癌伴多发淋巴结转移,化疗+免疫+靶向一线治疗获影像学PR

仅供医学专业人士阅读参考快来看“CSCO经典病例解读”!胃癌的传统治疗策略包括手术、化疗和放疗。而以奥沙利铂为主的化疗方案客观缓解率(ORR)仅为35%-40%。近年来,免疫治疗在胃癌领域展现出很好的疗效。目前,国内外指南将PD-1单抗联合化疗作为胃癌一线标准治疗方案。然而,这一ORR仍不能满足晚期胃癌患者的治疗需求。是否存在ORR更高、安全性佳的方案呢? 正值百“例”挑一第二届大型病例征集活动期间,活动导师...

医学界急诊 2022-04-18

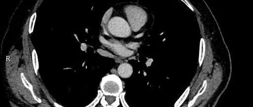
【临床病例(理)讨论】胸痛伴双肺多发磨玻璃影

2021年12月29日 星期三作者:李小钦  姚秀娟  陈正伟  李解珍  肖桂卿  陈愉生  谢宝松单位:福建省立医院呼吸与危重症医学科 福建医科大学省立临床医学院引用本文: 李小钦, 姚秀娟, 陈正伟, 等.  胸痛伴双肺多发磨玻璃影 [J] . 中华结核和呼吸杂志, 2021, 44(12) : 1131-1134. DOI: 10.3760/cma.j.cn1112147-20210325-00196....

中华结核和 2021-12-29

病例 | 双肺多发结节成团,您的诊断是?

1简要病史如下:患者,女,60 岁,因「反复发热伴咳嗽 1 月」入院现病史:1 月余前患者无明显诱因下出现发热,最高温 39℃,伴咳嗽,无明显咳痰,偶有胸闷,无胸痛、咯血,无腹痛、恶心、呕吐等不适,就诊于当地医院,肺部 CT 提示两肺多发结节、团块样病变。两侧支气管病变伴感染;CRP39.8 mg/L,PCT 0.08ng/ml。予抗感染治疗(具体药物不详)后,发热仍反复。为求进一步治疗就诊于我院。...

感染时间 2021-12-03

新技术,新问题-黏膜下注射剂所致肉芽肿

对于胃肠道早期肿瘤来说,内镜下黏膜切除术(endoscopic mucosal resection,EMR)和内镜黏膜下剥离术(endoscopic submucosal dissection,ESD)是比较先进的治疗技术。通过这类技术,可以切除局限于黏膜或黏膜下的肿瘤,使得患者免于更加激进的手术治疗。EMR和ESD手术中,会在病变下方注射溶液、使得病灶抬举起来,且形成一个液体填塞区使得黏膜下层和固有肌层分离开来,从而利于手术操作。以往使用的液体是混有染液的盐水。尽管这类液体无毒、价廉,但却可以被周围组织快速吸收,导致填塞作用丧失,较长时间、较复杂操作中需要重复注射。此外还有很多其他制剂用于这一目的,如透明质酸、琥珀酰明胶、羟乙基淀粉、葡萄糖水。尽管这些物质相比盐水染液来说有了一定改进,但目前都没有被广泛用于相关操作的金标准。...

华夏病理网 2021-11-26

【PPT】一例造口回缩伴皮肤黏膜分离患者护理

导语肠造口是指在某些特殊情况下为挽救生命而暂时或永久性地将肠管提至腹壁作为排泄物的出口,造口对人的身心影响很大,应加强术前及术后的心理护理,造口分为单腔或双腔造口,袢式造口。肠造口及其周围并发症主要有造口出血,造口水肿,造口缺血坏死,皮肤黏膜分离,造口回缩,造口狭窄,造口脱垂,造口旁疝,造口周围皮肤损伤、造口肉芽肿、造口周围毛囊炎等。造口皮肤粘膜分离为造口并发症的一种,给患者带来疼痛及不适,发生造口皮肤黏膜分离后如何处理呢?本文将介绍一例造口回缩伴皮肤黏膜分离患者护理,大家一起学习一下!...

外科病理学实践:诊断过程的初学者指南 | 第3章 感染和炎症

第3章 感染和炎症Let us review the types of inflammatory responses you may see. It seems very basic, but learning to differentiate inflammatory changes from dysplastic ones is a fundamental goal in pathology training....

华夏病理网 2021-09-24

男性,肺部阴影!

一医学影像        yxyx-app  医学影像APP,打造伴随医生快速成长的影像学习社区。与影像园(Xctmr.com)一起提供最全面的影像案例库、基础(解剖、病理、影像诊断)知识、影像技术及考题等,为医生提供最佳的医学影像参考。经典病例【所属科室】呼吸科【基本资料】患者,男,60岁【主诉】体检发现肺部阴影10天...

医学影像APP 2021-07-30

    上海医师在线信息技术有限公司 版权所有 ©   沪ICP备12005625号-1