肝细胞癌

指南推荐|2023年美国肝病学会实践指导:肝细胞癌的预防、诊断和治疗

2018年,美国肝病学会(AASLD)采用GRADE分级系统评估循证医学证据和建议推荐强度,并制定了肝细胞癌(HCC)治疗指南。

临床肝胆 2023-12-19

【指南共识】门静脉高压合并肝细胞癌临床诊断与治疗中国专家共识(2022版)

旨在为我国门静脉高压合并HCC患者的规范化诊断与治疗提供指导性建议。大部分门静脉高压源于肝硬化,因此本共识仅涉及肝硬化相关门静脉高压合并HCC的诊断与治疗意见。

中华消化外 2023-03-15

Liver Int:亚洲地区酒精性肝病的流行特征(2000年-2020年)

全球超过50%的肝脏疾病负担与过度饮酒有关。亚太地区拥有全球一半以上的人口,同时囊括了全球 62.6% 的肝病相关死亡病例。然而,亚洲地区的酒精性肝病(ALD)流行特征尚无系统描述。2022年5月20日,Liver International在线发表来自吉林大学第一医院高沿航教授团队对2000年—2020年亚洲地区ALD的流行特征开展的系统评价和Meta分析,这项研究系统总结了亚洲地区ALD的患病率以及酒精相关肝硬化/肝细胞癌的病例占比。...

专家论坛|刘景丰:生物信息学在肝细胞癌风险预测中的应用

肝细胞癌(HCC)是世界范围内最常见的消化道恶性肿瘤之一。

临床肝胆病杂志 2022-02-10

全网首发|《临床肝胆病杂志》2021年第8期“肝癌临床诊疗新实践”重点号(执行主编:陈东风)

述  评  Editorial肝细胞癌的临床诊治:从指南到临床实践王涛, 陈东风2021, 37(8): 1745-1747.   DOI: 10.3969/j.issn.1001-5256.2021.08.001专家论坛  Discussions by experts非酒精性脂肪性肝病相关肝细胞癌的诊断和治...

临床肝胆病杂志 2021-08-17

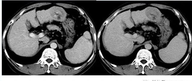
典型肝细胞肝癌一例!

欢迎下载医学影像app查看更多病例!

要当心!肝纤维化进展和HCC风险显著增加,HBV低病毒血症的长期临床结局堪忧|吉智医超话系列3

来源:吉智医 低病毒血症(low-level viremia,LLV)定义为HBV DNA 持续或间歇大于检

谢青教授:慢性肝炎导致的肝细胞癌-早期预防

名医G课堂系列课程汇集了肝病领域众多大咖,全方位讲解病毒性肝炎的前沿知识、研究进展及临床诊疗经验。

医学论坛网 2020-04-01

J Hepatol:体力活动可以降低约45%的肝细胞癌风险

体力活动与肝癌风险之间存在负相关,肝细胞癌可能是由肥胖介导的

临床肝胆病杂志 2019-06-24

    上海医师在线信息技术有限公司 版权所有 ©   沪ICP备12005625号-1