胸腺癌 ( thymic carcinoma )
别名: 胸腺癌

春季尝鲜-第五版WHO关于甲状腺肿瘤的那些事(十一)

10. 是哪些资料促使了新分类“涎腺型肿瘤”、“甲状腺内的胸腺肿瘤”的出现?第五版内分泌肿瘤WHO分类有一些小改变,比如引入了新章节:“涎腺型肿瘤”和“甲状腺内的胸腺肿瘤”。了解这类极为罕见的原发肿瘤,主要是为了准确诊断及恰当治疗。涎腺型肿瘤包括黏液表皮样癌及其亚型“黏液癌”、分泌性癌(对应此前的“类似乳腺的分泌性癌”【mammary analogue secretory carcinoma...

华夏病理网 2022-04-11

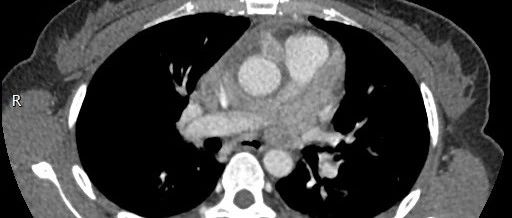
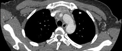
女性,间断胸痛3月,请诊断!

欢迎大家下载医学影像app,查看更多经典病例!

医学影像APP 2020-12-23

从一则病例学习胸腺癌

患者,女,58岁,接种流感疫苗后出现咳嗽、乏力和轻度发热就诊。进行短期抗生素治疗后,这些症状仍持续。

病例 77 胸腺瘤

下期感想谈17预告-重视常规发展,加强形态学规范和管理的探讨。

血液病整合诊断 2019-06-06

老年女性,间断胸痛3月,请诊断!

欢迎大家下载医学影像app,查看更多经典病例!

医学影像APP 2019-03-21

    上海医师在线信息技术有限公司 版权所有 ©   沪ICP备12005625号-1