脑脓肿 ( brain abscess;intracerebral abscess )
别名: 脑脓肿;cerebral abscess;encephalopyosis;intracerebral abscess;pyencephalus;大脑脓肿

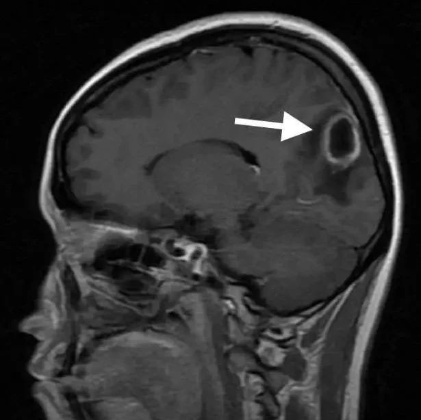
中年男性,头痛半月伴四肢乏力,请诊断!

医学影像  yxyx-app  医学影像APP,打造伴随医生快速成长的影像学习社区。与影像园(Xctmr.com)一起提供最全面的影像案例库、基础(解剖、病理、影像诊断)知识、影像技术及考题等,为医生提供最佳的医学影像参考。【所属科室】神经外科【基本资料】患者,男,59岁【主诉】头痛半月伴四肢乏力【现病史】患者半月前无明显诱因下出现头痛不适,以右枕部最明显,进行性加重,并出现恶心呕吐,为胃内容物,非喷射性,感四肢乏力,近四天无力行走。...

病例报告|高压电击伤致头皮缺损及脑脓肿1例

【引用格式】尚银武,王飞,刘建雄,等. 高压电击伤致头皮缺损及脑脓肿1例[J]. 中国神经精神疾病杂志,2022,48(2):105-108.【cite this article】SHANG Y W,WANG F,LIU J X,et al.Scalp defect and brain abscess caused by high voltage electric injury: a case report[J].Chin J Nervous Mental Dis,2022,48(2):105-108....

中国神经精 2022-07-14

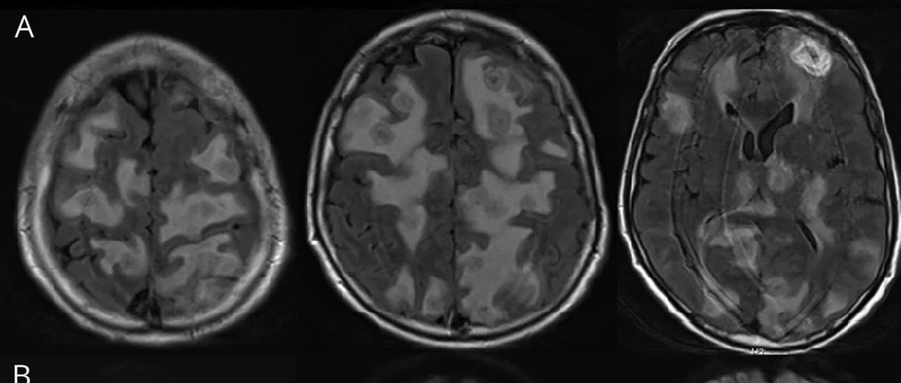
颅内环形强化,这种特征性表现你熟悉吗 ?

脑脓肿(brain abscess)是目前临床上较为严重的颅内化脓性感染疾病,感染途径有相邻感染病灶的传染、血行传播、隐源性感染及手术或颅脑外伤导致,其中隐源性 、血源性感染脑脓肿目前在整体脑脓肿的所占比例较高。脑脓肿以幕上多见,好发于皮质交界区,颞叶居多,其次是额、顶、枕叶,小脑半球和垂体囊肿少见,临床表现为全身感染症状和颅内压升高症状。病理脑脓肿的形成分为四个阶段:(1)脑炎早期:3~5 天,局灶性炎症,...

丁香园感染时间 2022-05-10

「头痛、超敏 CRP 高达 80 mg/L」,拒行腰穿的孩子后来怎样了

儿童难免会有「头疼脑热」的时候,对于以「急性发作的头痛」为主诉前来可确诊的患儿,是否已经有了清晰的评估流程?今天我们就来看一例「头痛」病例,希望对大家有所启发。病例回顾患儿,男,5 岁,因「头痛 1 天」入院。患儿 1 天前无明显诱因出现头痛,痛不剧,以前额为主,性质诉说不清,呈阵发性。体位改变后头痛程度无明显改变。无恶心、呕吐,无发热,无视物模糊,无咳嗽,无鼻塞、流涕,无耳部疼痛,无腹痛、腹泻,无尿频、尿急、尿痛,遂就诊于我院门诊。...

女性,右手运动迟缓、言语不清三天,今早突然出现头疼不适,请诊断!

欢迎大家下载医学影像app,查看更多经典病例!

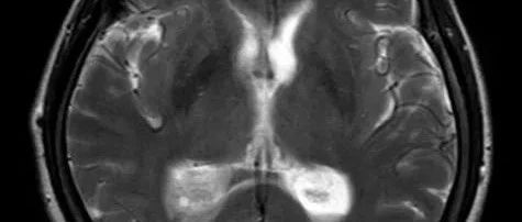
影像挑战:老年男性,进行性头痛和意识模糊(结果公布)

77岁免疫健全男性,表现为进行性头痛和意识模糊。MRI可见大量脓肿。脑脊液化验提示白细胞计数为1250个/mm3(中性粒细胞占65%),微生物培养阴性。二次脑活检,行通用PCR提示为梭杆菌属。最终诊断:脑脓肿。

神经病学俱乐部 2020-11-01

    上海医师在线信息技术有限公司 版权所有 ©   沪ICP备12005625号-1