ll

【实验研究】人源抗菌肽LL-37对CVB3诱导的病毒性心肌炎小鼠病毒复制及炎症反应的影响△

版权声明:本平台致力分享好文精选、精读。部分文章推送时未能与原作者取得联系。若涉及版权问题,敬请原作者在本公众号留言。本文刊于:岭南心血管病杂志,2022,28(04):349-354作者:刘  敬,李  薇,孙国文通讯作者:李  薇摘要目的 探讨人源抗菌肽LL-37对病毒性心肌炎(VMC)小鼠病毒复制和炎症反应的影响及其可能的分子机制。方法 将48...

岭南心血管 2022-09-19

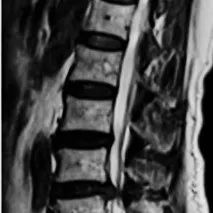
脊柱矢状位序列与中国老年人群腰椎间盘突出的关系

背景腰椎间盘突出( lumbar disc herniation,LDH)是一种常见的的老年退行性疾病。随着年龄的增长,骨骼肌肉的变化及长期的外力会导致脊柱和骨盆形态结构发生变化。不同人群在保持直立姿势时,脊柱矢状位排列不同,这可能导致椎间盘的生物力学发生改变,加速椎间盘退变。作者调查了中国老年人群中不同Roussouly类型的间盘退变程度、突出部位及数量,以明确其关系。方法收集正常人及腰椎间盘患者的资料并分为两组,按照以下纳入排除标准,无症状组212例,腰椎间盘突出症组213例。...

骨今中外 2022-09-19

10分钟搞懂头影测量,临床实用干货分享

本文所述均是我学习归纳总结后筛选与临床实用息息相关的数据,不必纠结于搞懂头影测量所有数据的意义。引用张栋梁老师的话就是:理想是用来指引方向的,不是用来实践的。学过一点头影测量的会发现,有很多种测量方法,Downs和Steiner,还有国内的测量法等等。为什么会这样?因为没有一个测得完全准确的都只能作为参考,所以真的不用太纠结数据,注意临床实用性和患者主诉才是关键。那么具体如何看我相信大多数人第一眼见到这副图的时候都是一脸懵逼...

KQ88口腔网 2022-05-26

JAHA丨心肌梗死后帕金森的风险竟然降低了

近日,发表在J Am Heart Assoc杂志上的一项研究表明,与普通人群相比,心肌梗死(MI)幸存者1年帕金森病风险降低20%,继发性帕金森综合征风险降低28%。来自丹麦奥胡斯大学医院临床流行病学和心脏病学系的Jens Sundbøll博士等人通过丹麦医学登记系统,比较了1995年至2016年初次诊断为MI的患者与性别、年龄匹配的没有MI的一般人群在1年时的帕金森病和继发性帕金森综合征的发病率。研究采用Cox回归分析计算调整危险比(aHR);对匹配因素进行控制,并对相关共病和社会经济因素进行调整。...

慢性阻塞性肺疾病与支气管哮喘患者血浆抗菌肽LL-37水平的比较

本文原载于国际呼吸杂志, 2020,40(08)     : 561-565. DOI: 10.3760/cma.j.cn131368-20190902-01233 COPD的特征是持续存在的气流受限。任何有呼吸困难、慢性咳嗽或多痰,并且有暴露于危险因素病史的患者,在临床上都需要考虑COPD的诊断。但在鉴别诊断方面,用目前的影像学及生理学检查,有时很难明确鉴别COPD与支气管哮喘(哮喘)。COPD与感染关系更密切,固有免疫状态的改变与COPD患者气道内的菌落定植及感染密切相关。内源性抗菌肽是机体固有免疫的重要组成部分,LL-37是唯一一种存在于人体的Cathelicidin类抗菌肽。1998年Bals等...

感染科空间 2021-11-04

双抗:淋巴瘤免疫治疗中的“特种部队”

双特异性抗体有什么特点?有哪些种子选手?作用机制如何?让我们通过一组漫画先睹为快吧!

医脉通血液科 2021-05-20

    上海医师在线信息技术有限公司 版权所有 ©   沪ICP备12005625号-1