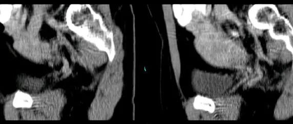
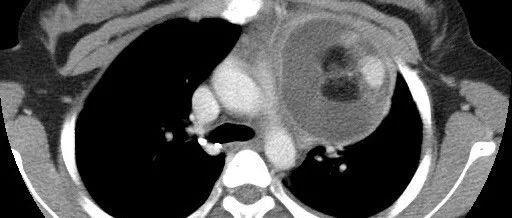
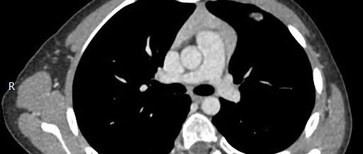
医学影像 yxyx-app 医学影像APP,打造伴随医生快速成长的影像学习社区。与影像园(Xctmr.com)一起提供最全面的影像案例库、基础(解剖、病理、影像诊断)知识、影像技术及考题等,为医生提供最佳的医学影像参考。【所属科室】呼吸科【基本资料】患者,女,20岁【主诉】干咳伴胸痛半月【影像图片】【讨论问题】如何诊断?【医学影像APP用户讨论】评论:左前纵隔见一囊样包块影,内见结节状、条片状脂性密度影,局部囊壁见壁结节影,增强见囊壁及壁结节明显均匀强化;上纵隔脂肪间隙密度增高,但与包块分界尚清,增强后内未见明显强化;肺动脉主干及左侧肺动脉见受压推移,未见充盈缺损影。前纵隔占位,考虑畸胎瘤。...
仅供医学专业人士阅读参考确实有点“恐怖”去年,恐怖大师温子仁带来了一部《致命感应》。电影中,女主角身边莫名发生死亡事件,她的丈夫、朋友都被极其残忍的杀害。女主角隐约觉得这和自己童年想象出来的恶魔有关。后来多方调查发现,女主角“想象的恶魔”是真实存在的,它是女主角头上一个丑陋、诡异的畸胎瘤!图1 图片来源:电影《致命感应》原来女主角小时候就有这个畸胎瘤,但是因为长在头上,为了不伤害大脑,医生只能切除大部分畸胎瘤,剩下的畸胎瘤一直潜伏在女主角身上,等到她因为受到情感伤害后又“觉醒”,之后操纵女主角做下了种种恶行。...