2022年11月10-11日,第七届华山国际神经外科在线培训课程(华山ISTI国际课程)精彩启幕。该项目旨为亚太及全球的神经外科医生提供更多学术交流机会,搭建国际学术交流平台。截至今天,该项目已为亚太10多个国家和地区的神经外科医生提供出国学习的交流机会,获得了很高的评价。本次为期一天半的华山ISTI国际课程全程采用中英双语进行直播,覆盖9个神经外科亚专业,得到了以周良辅院士和毛颖院长领衔的华山医院神经外科团队的大力支持,并特别邀请到INC国际神经外科医生集团旗下世界神经外科顾问团的法国Sebastien Froelich教授和中国台湾许秉权教授线上连线,带来超过13台线上手术演示以及线上病例分...
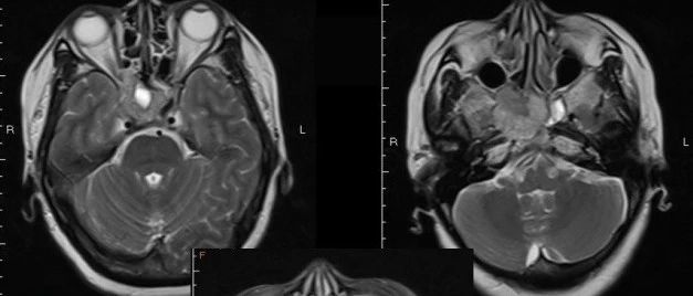
西班牙塞维利亚Virgendel del Rocío大学医院神经外科的Eugenio Cárdenas Ruiz-Valdepeñas等报告1例内镜下经鼻入路切除斜坡脊索瘤时损伤基底动脉案例。文章发表于2021年2月《Operative Neurosurgery》杂志。——摘自文章章节长按识别二维码查看原文【Ref: Cárdenas Ruiz-Valdepeñas E, et al. Oper Neurosurg (Hagerstown). 2021 Feb 16;20(3):282-288. doi: 10.1093/ons/opaa367.】...