脓肿 ( abscess )

探案丨脓肿得来终不愈,绝知此因不一般

作者:王萌冉 金文婷 马玉燕审阅:胡必杰 潘珏一、病史简介男性,72岁,上海人,2023-01-27入住中山医院感染病科。主诉:发现右侧髂窝脓肿2月余。现病史:  2022年11月中旬 患者开始出现右下腹隐痛,伴发热,Tmax 38.9℃,无呕吐腹胀腹泻,无寒战,自服退热药后体温平。2022-11-22 自扪及右侧髂腰部肿块,伴局部红肿疼痛,遂至当地医院行彩超:右腰部红肿处脓肿形成;下方实质性占位及髂窝处混合性占位,MT伴感染可能。...

中年男性,头痛半月伴四肢乏力,请诊断!

医学影像  yxyx-app  医学影像APP,打造伴随医生快速成长的影像学习社区。与影像园(Xctmr.com)一起提供最全面的影像案例库、基础(解剖、病理、影像诊断)知识、影像技术及考题等,为医生提供最佳的医学影像参考。【所属科室】神经外科【基本资料】患者,男,59岁【主诉】头痛半月伴四肢乏力【现病史】患者半月前无明显诱因下出现头痛不适,以右枕部最明显,进行性加重,并出现恶心呕吐,为胃内容物,非喷射性,感四肢乏力,近四天无力行走。...

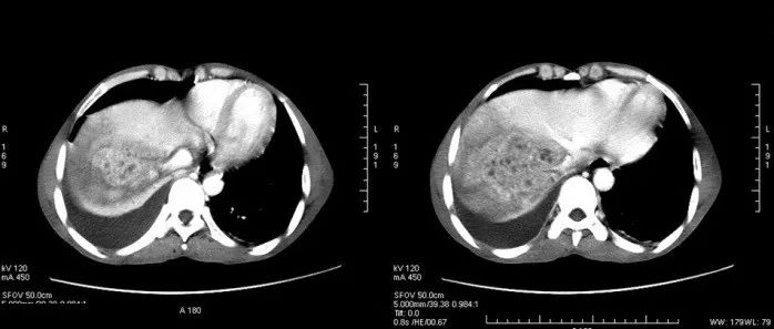
肝脓肿!

医学影像  yxyx-app  医学影像APP,打造伴随医生快速成长的影像学习社区。与影像园(Xctmr.com)一起提供最全面的影像案例库、基础(解剖、病理、影像诊断)知识、影像技术及考题等,为医生提供最佳的医学影像参考。【所属科室】消化科【基本资料】患者,男,36岁【主诉】上腹部胀痛3周余伴发热【体格检查】上腹部压痛(+),无明显反跳痛,肝区叩痛(+),腹肌稍紧,未扪及明显包块,移动性浊音(-)...

医学影像APP 2022-12-23

女子肛门痛,尴尬,丈夫无意间一句话曝光真凶!

32岁年轻女子,姓庞。一年前,庞女士发现自己左臀部靠近肛门那一块会有疼痛,起初并没有太留意,后来发现疼痛的地方还有一个肿块,自己用手能摸得到,压下去疼痛也比较明显。而且走路的姿势都变了,因为有时肛门周围真的很痛。这可如何是好。肛门附近长了肿块,而且还痛。这该不会是肿瘤吧?庞女士越想越害怕。这到底是看妇科呢,还是看外科。庞女士没有了主意。鼓起勇气先去看了妇科,毕竟妇科多数都是女医生,这个部位太特殊了,就在肛门附近,这万一医生要看看或者摸摸肿块,想起来都尴尬。...

最后一支多巴胺 2022-11-03

疑似布鲁氏菌相关性免疫重建炎症综合征病例报道

Edited by Spine Truth Editorial Team脊柱甘露语林®学术•疾病与健康科普•助学•公益行之2518天,第1555篇免疫重建炎症反应综合征(Immune reconstitution inflammatory syndrome, IRIS):在免疫重建的的过程中,患者可能会出现一组临床综合征,临床表现为发热、潜伏感染的出现或原有感染的加重或恶化,称为免疫重建炎症反应综合征。...

脊柱甘露语林 2022-08-10

左下腹壁反复脓肿 2 年,病因我怎么都想不通

感谢丁香园论坛普外版版主、丁香达人 @hlht 分享的病例:简要病史:中年男性患者,左下腹反复脓肿 2 年。查体:腹部软,左下腹壁局部质硬,直径约 10 cm,局部压痛,窦道口流脓。CT 提示腹壁炎性改变,局部多处积液。一期手术:腰麻手术所见:皮下脂肪层炎性肉芽肿形成,肌肉层质硬水肿,腹膜外脓肿形成,未见异物。清创后负压引流:远端在腹膜外的腔间隔 3 天,更换一次,第 6 天,拆除负压引流:...

丁香园普外时间 2022-08-05

中枢神经系统感染的MRI表现,一文了解!

作者:Tsai在当前病毒侵袭及个体免疫缺陷的环境下,中枢神经系统(CNS)感染性疾病仍为全球高发病率和死亡率疾病,随着新型抗生素的发明及使用,大部分疾病得到了治愈。目前确诊需依靠病理学标准,不利于患者早期诊治,临床上常根据患者临床表现及辅助检查依据予经验性治疗,其中MRI检查显得尤为重要。本文根据病灶在T1、T2和增强序列上的特征对其进行分类,并分别阐述。图1 中枢神经系统感染的MRI表现环形增强病灶...

医脉通抗感染 2022-06-28

夏季炎炎,做好这4点,远离外阴这些“炎”!

仅供医学专业人士阅读参考夏日来临,要注意清洁哦夏季来临,最近外阴脓肿患者集体扎堆,并且还都集中在青春期的小姑娘身上。五一假期,小郭医师在门诊就接诊了三个这样的小姑娘。 病历一:病例一:付某,14岁,经后洗澡时发现外阴肿物,开始如豆粒大小,不痛。3天后增大伴疼痛,开始疼痛可忍,后逐渐加重,不能行走。在当地门诊输液抗炎治疗,效果不佳,来院就诊。查体:右侧大阴唇外侧皮肤红肿,范围约5cm×4cm×4cm,质硬,触痛明显,肿块最突起处皮肤菲薄,近破溃。入院后行外阴肿物切开引流,术中清除积脓约10ml,脓腔深4cm,脓腔造口,每日给予换药、抗炎治疗,治愈出院。...

恩哥聊健康 2022-06-03

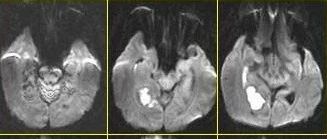
颅内环形强化,这种特征性表现你熟悉吗 ?

脑脓肿(brain abscess)是目前临床上较为严重的颅内化脓性感染疾病,感染途径有相邻感染病灶的传染、血行传播、隐源性感染及手术或颅脑外伤导致,其中隐源性 、血源性感染脑脓肿目前在整体脑脓肿的所占比例较高。脑脓肿以幕上多见,好发于皮质交界区,颞叶居多,其次是额、顶、枕叶,小脑半球和垂体囊肿少见,临床表现为全身感染症状和颅内压升高症状。病理脑脓肿的形成分为四个阶段:(1)脑炎早期:3~5 天,局灶性炎症,...

丁香园感染时间 2022-05-10

每日一练 | 直肠指诊一般不作为下列疾病的检查方法

DAY 255答案点击下方空白处获得答案B(上下滑动查看完整解析)直肠指诊是肛门、直肠疾病检查方法中最简便、最有效的方法之一,对及早发现肛管及直肠疾病有重大意义。正确选项(B):直肠指诊操作简单损伤小,一般无严重并发症,但直肠外伤时行肛门指诊有导致或加重穿孔的可能;而新鲜肛裂患者行直肠指诊时有肛门撕裂的风险,均应禁用或慎用(选 B)错误选项(A):先天性巨结肠新生儿,直肠指诊不仅对其疾病的诊断颇有帮助,可发现直肠壶腹空虚,粪便积存于结肠,而且指诊可激发排便反射,腹胀可有一定程度缓解(不选 A)...

丁香园普外时间 2022-05-02

    上海医师在线信息技术有限公司 版权所有 ©   沪ICP备12005625号-1