蛔虫

病从口入!阿姨肠子里有一团蛔虫,单条个头竟比筷子还粗......

来源:健康杭州病从口入!入口的东西一定要注意清洗干净,并注意煮熟了吃!“从今年开始就感觉自己身体状况不是很好,以前挖地、种菜一整天都没事,近几个月开始干一会儿就不行了,没力气。”在临安区第三人民医院门诊,王阿姨(化名)面带焦虑地向毛颖芬主任诉说着自己的病情。胃肠镜一查吓一跳竟有一大团蛔虫在蠕动“这几个月因为胃口很差,都瘦了好几斤,还时常便秘……也买过胃药、通便的药吃,断断续续的总好不了。”王阿姨很是郁闷。...

几十年前,几乎人人都感染过的蛔虫,为何现在神秘消失?听专家说

几十年前,70后、80后的朋友正是年幼的时候,都会有吃“宝塔糖”和得“蛔虫病”的体验。在几十年前,蛔虫可以说是人们生活中很常见的一个疾病,几乎可谓是人人都可能感染过,特别是小孩子,相信蛔虫感染的经历,很多人一辈子都刻骨铭心,难以忘记。因为蛔虫在人体生存能力非常强,虫卵通过污染食物进入人体,胃液不能消灭它们,而虫卵在人体发育很快,长成蚯蚓大小,会从人体肛门溜出来,想想都可怕......但是好像现在蛔虫感染已经没有几十年前那么常见,...

小方药师 2021-11-16

医生,我肚子里有虫子在动……

如何避免蛔虫感染?

医学界消化 2020-12-29

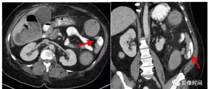
一文秒懂蛔虫病的CT诊断

是不是很多人已经忘了这个病?

感染时间 2019-05-29

    上海医师在线信息技术有限公司 版权所有 ©   沪ICP备12005625号-1