骨瘤 ( osteoma )

额骨骨瘤内镜切除技术---我的手术技术学习笔记系列

额骨骨瘤内镜切除技术---我的手术技术学习笔记系列本文由威海市立医院神经外二科张建富副主任医师根据公开资料收集整理。前篇《我的手术入路学习笔记系列-总览》中笔者将我的手术学习笔记分为“手术入路学习笔记”和“手术技术学习笔记”两个系列,本篇为《手术技术学习笔记》系列,笔者将精选一些新颖的、改良的、值得学习的手术技术进行介绍。同时笔者听取读者的建议,在将手术技术讲明白的前提下尽量压缩文章篇幅,力求精炼,且通俗易懂。  ...

神外世界 2022-11-06

科技助力 精准诊疗——魏文斌教授分享OCT/OCTA在眼内肿瘤诊治中的应用

编者按:眼内肿瘤既损害视力,亦可危及生命,所以需特别关注其早期的诊断。应2022国际眼科临床研究大会的邀请,首都医科大学附属北京同仁医院魏文斌进行了“OCT/OCTA在眼内肿瘤诊治中的应用”专题演讲。魏教授多年来一直从事眼内肿瘤和复杂眼底病的诊疗工作,更是国内最早将OCTA研究应用于眼科疾病诊疗的眼科专家。此次会议,他分享了OCT/OCTA在眼内肿瘤诊治中的应用研究进展与心得体会。眼内肿瘤的诊断与鉴别的关键是影像技术。...

医信眼科 2022-05-02

跖骨骨样骨瘤1例

骨样骨瘤为常见的良性骨肿瘤,常发生于股骨、胫骨、肱骨、手足骨和脊柱。但发生于跖骨的骨样骨瘤报道较少,我们回顾了经病理检查明确诊断的跖骨骨样骨瘤1例,并

足踝外科电 2019-12-12

骨样骨瘤的影像诊断,你掌握了吗?

腿脚不利索导致社会隔离,社会隔离导致疾病恶化,骨关节疾病老人太难了~

医学界骨科频道 2019-12-04

Gardner综合征合并慢性颌骨骨髓炎1例

Gardner综合征(Gardner syndrome)是一种罕见的常染色体显性遗传疾病,是家族遗传腺瘤性息肉病的一种特殊亚型,由位于染色体5q21~

华西口腔医 2019-07-24

肺原发性软骨瘤的超声表现1例

患者女,45岁。因“间断性左侧胸痛1年余,加重半个月,发现左肺占位1d”,于2017年5月8日来我院超声科就诊。患者1年前间断出现左侧胸痛,局部按摩后

中国超声医 2019-04-22

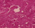
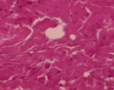
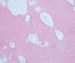
股骨上段髓腔内混合型骨瘤1例

四肢骨松质内混合型骨瘤发生率非常低,文献少有报道。骨瘤主要发生于颅盖骨、面部骨骼的皮质,少数发生于松质。四肢骨髓腔内混合型骨瘤罕见,易误诊为其他骨质病

温州医科大 2019-08-06

    上海医师在线信息技术有限公司 版权所有 ©   沪ICP备12005625号-1