陈贵平主任:卵巢癌术后放疗,20年后出现的直肠阴道瘘,该如何处理?

来源:掌上医讯肿瘤APP作者:陈贵平时间:2023-11-15 阅读:22994评论:0赞:0 有0人参与

病例分享







79岁的罗奶奶,20年前进行了卵巢癌根治术,术后1年出现阴道残端复发又进行了盆腔放疗。7个月前复查时PET-CT发现盆腔肿物怀疑为卵巢癌复发,在外院进行了开腹探查,术中见腹腔严重粘连,行小肠部分切除术及回肠造口术。不幸中的万幸,盆腔肿物病理结果为炎性组织,并非肿瘤复发。但罗奶奶并未充分评估身体状况,回肠造口还纳术后出现了严重的切口感染,再使用各级抗生素后又出现了顽固性的腹泻,更不幸的是出现了直肠阴道瘘,粪便改道持续从阴道流出给患者带来了巨大的痛苦。一系列地打击使患者体重从60公斤下降至40公斤,营养状况极差,并且出现多重耐药。


所幸患者家属经他人介绍,了解到了浙江省中医院胃肠外科陈贵平主任团队,随即到省中医院住院治疗。陈主任与患者及家属充分沟通,全面了解患者情况后,立即组织全院的讨论,与各科室专家充分交流后制定周全的治疗方案。患者经过充分的肠内外营养支持,康复锻炼恢复肌肉功能,体重上升了3公斤后,陈主任果断决定进行手术治疗。术中见腹腔内广泛的粘连,尤其是放疗导致的盆腔组织粘连,十分致密。经过陈主任不懈的努力,成功分离出直肠和阴道的瘘口,将瘘口切除后,重新吻合直肠和乙状结肠,并进行回肠预防性的造口。目前罗奶奶已恢复饮食,并且解决了阴道流粪的痛苦。



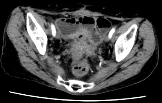
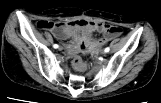
资料照




上下滑动浏览


 精华总结   主任手记


通过这个案例,我们感悟到放疗对肠道的损伤可以持续多年,化疗结束后20年仍会出现放射性肠炎、肠损伤及肠梗阻;对复杂的肠瘘病人术前营养治疗非常重要围手术期多学科合作还需丰富的处理肠粘连经验手术需分离出足够长度的肠道进行瘘口切除和肠道吻合。


图片

专家简介



陈贵平

浙江省中医院胃肠外科主任

主任医师 硕士研究生导师


擅长消化系统胃肠道肿瘤开放和腔镜下各种手术,开展晚期胃癌的转化治疗及腹腔热灌注化疗,早期胃癌及胃肠道间质瘤双镜联合治疗,开展了腹腔镜下结直肠的根治手术,包括NOSES手术和TATME手术,及极限保肛ISR手术,复杂性肠根阻、肠瘘、复发性结直肠癌、盆腔肿瘤、阑尾粘液性肿瘤、腹膜后巨大肿瘤等疾病的处理上积累了丰富的临床经验。擅长局部晚期直肠癌的联合多脏器切除、各种复杂性和复发性盆腔肿瘤如妇科肿瘤和泌尿系肿瘤侵犯结直肠进行的前半盆、后半盆和全盆腔脏器清除术等。每年开展上述各类复杂手术近200例。

目前为浙江省消化系统肿瘤中西医结合诊治重点实验室主任,同时主持浙江省中西医结合胃癌诊治中心项目,中管局课题一项。主持完成厅级课题2项,参与省部级研究课题多项,已在国际和国内学术期刊上发表论文50余篇,其中SCI收录9篇。

学术任职:

中国医促会盆腔肿瘤学分会副主任委员

中国医师协会外科分会盆腔外科工作组副组长

中国抗癌协会盆腔肿瘤整合专委会常委

中国中西医结合学会围手术期医学专委会副主任委员

浙江省中西医结合学会围手术期医学专委会主任委员
浙江省数理医学会盆腔整合医学专业委员会副主任委员
浙江省数理医学会盆腔肿瘤多学科诊疗专业委员会主任委员
浙江省中医院盆腔多学科诊治中心主任
浙江省抗癌协会大肠癌专业委员会常委
浙江省抗癌协会肿瘤微创诊治专业委员会常委
浙江省数理医学会结直肠癌专业委员会常委
浙江省抗癌协会放射性粒子植入专委会常委




小提示:87%用户已下载掌上医讯App,更方便阅读和交流,请扫描二维码直接下载App

(本网站所有内容,凡注明来源为“掌上医讯”,版权均归掌上医讯所有,欢迎转载,转载请注明出处,否则将追究法律责任。凡是本网站注明来源为其他媒体的内容为转载,版权归原作者所有,转载仅作分享,文章观点不作为掌上医讯观点,如有侵权,请及时联系我们,联系电话:0532-67773733)

共有0人参与讨论
热点评论
  • 姜修峰  发表于:2023-11-23 15:14
  • 很好
  • (1)
最新评论
没有更多评论了