三联征

锁骨&肩&肱骨 上肢合集

肩关节解剖讲解肩关节脱位与合并损伤肩肩关节生物力学肩峰撞击综合征肩盂骨折分型与入路老年肩关节脱位的处理肩锁关节损伤的理念与手术更新肩 | Hill sachs 损伤肩胛骨骨折的内固定治疗肱骨近端multilock髓内钉的介绍和复位小技巧肱骨近端内侧刀片肱骨距支撑内固定肱骨远端的手术原则和细节老年肱骨远端治疗的十条锦囊肱骨远端之复位固定细节肱骨远端之固定技术理念肱骨近端骨折固定理念和技术肱骨近端骨折决策|文献证据...

踝 胫骨 足 下肢 合集

截腿踢与膝关节不愉快三联征损伤膝关节生物力学全膝关节置换术后的假体周围骨折【美国急诊骨科】膝关节脱位复位实录胫骨平台与pilon骨折手术入路【英文原版】胫骨近端髓内钉秘籍胫骨远端髓内钉秘籍高能量胫骨平台骨折胫骨平台的复位技巧严重pilon的早期处理Pilon骨折的手术入路和手术技巧手把手教你Pilon骨折的细节12步踝关节之旋前外旋踝关节之旋后外旋三踝骨折之初步讨论踝关节骨折的那些争议Bosworth 骨折脱位的闭合复位技巧...

冠突骨折的分型与治疗方式

孤立的冠状突骨折并不常见,通常与肘关节脱位有关冠状突骨折约占肘部骨折的 10% 至 15%冠状突骨折的Regan 和 Morrey分类I型是由于冠状突在滑车上半脱位或脱位时的剪切力引起的冠状突尖端的骨折。 II型损伤涉及构成冠状突约一半的单个或粉碎的碎片。III型骨折涉及超过一半的冠突。II型或III型骨折可能是粉碎性的,这三种骨折都可能与肘关节脱位或其他损伤有关。2003 年,O'Driscoll 等人。...

截腿踢与膝关节不愉快三联征损伤

截腿踢是UFC比赛中重要的击打方式也是李小龙的必杀招之一这招必杀可以对膝关节造成破坏性的打击内侧韧带损伤,交叉韧带损伤,半月板损伤该招可以有效地破坏膝盖的韧带,从而直接KO对手我们一起来回顾一下膝关节的稳定结构典型的膝关节(胫股关节)有大约 5-10 度的过度伸展,任何更多的运动都会损伤软组织和韧带结构。对于像截腿踢这样的创伤性打击,可能会对几个结构造成伤害:韧带:有 4条重要的韧带有助于防止过度运动...

盘点普外科那些你记不住的综合征

基础篇死亡三联征:凝血功能障碍 + 低体温 + 酸中毒。Beck 三联征:静脉压升高 + 心搏微弱、心音遥远 + 动脉压下降(提示心包压塞)。Charcot 三联征:腹痛 + 寒战高热 + 黄疸(提示急性化脓性胆管炎)。Reynolds 五联征:Charcot 三联征基础 + 休克 + 神经系统症状(提示急性梗阻性化脓性胆管炎)。Horner 综合征:瞳孔缩小 + 上睑下垂 + 眼球内陷(提示颈交感神经压迫或损伤)。...

临床常见N联征大全,来挑战一下知道几个

来源:网络1、贝克三联征(Beck):动脉血压降低、心音遥远、颈静脉扩张。见于疾病:心包积液、心包积血或缩窄性心包炎等限制心脏扩张疾病2、围绝经期综合征:①月经紊乱②雌激素下降相关症状③消化系统的变化。3、腹膜刺激征:压痛、反跳痛、腹肌紧张。见于疾病:急性腹膜炎的特定腹部体征4、喉外伤诊断三联征:声音嘶哑、皮下气肿、明显骨折。5、夏柯三联征(Charcot triad ):腹部剧烈疼痛、寒战高热、黄疸。...

肾癌课程第二弹 | 同时血尿、腰痛+腹部肿块,要警惕肾癌!

肾癌是泌尿系统中最常见的恶性肿瘤之一,其发病率随着人的年龄增大而变高,多发年龄在40-55周岁。引起肾癌的原因有很多,比如长期吸烟,过度肥胖,还有一些职业因素,高血压,糖尿病等疾病都会引起肾癌的发病。 一说起肿瘤没人不感觉到害怕,在平时的生活中,除了加强对肿瘤的预防外,还要觉察到一些肿瘤的信号,肾癌比较常见的症状就是血尿、腰痛和腹部肿块。 请观看医视屏的原创课程:肾肿瘤的诊断与医疗,由北京天坛医院泌尿外科的...

具有典型 Whipple 三联征的疾病是

今 日 练 习具有典型 Whipple 三联征的疾病是A. 胰岛素瘤B. 胃泌素瘤C. 肠肽瘤D. 高血糖瘤E. 生长抑素瘤答案点击下方空白处获得答案A 上滑查看完整解析↑↑↑策划排版 | 戴冬君投稿 | daidongjun@dxy.cn题目来源 | 丁香医考

内分泌时间 2021-09-22

“恐怖三联征”最全攻略,让你的诊疗思路更清晰!

本文未经授权禁止转载肘关节脱位合并桡骨小头骨折及尺骨冠状突骨折是一种复合性损伤。包括肘关节(后)脱位,尺骨冠状突骨折,桡骨头(颈)骨折3方面,缺少一不可。因治疗效果差,而被国内学者译为「肘关节恐怖三联征」。与一般简单的肘关节脱位不同的是,“恐怖三联征”存在肘关节内在不稳定因素,因此需要手术治疗。一表理清肘关节损伤三联征治疗流程肘关节损伤三联征治疗流程图损伤机制损伤常见于高坠伤或高速运动下损伤,旋后位的轴向挤压及肘关节外翻应力致尺骨鹰嘴向后或后外侧移位,导致肘关节脱位(图1)。...

骨今中外 2021-08-28

影像挑战:老年男性,进行性共济失调步态(结果公布)

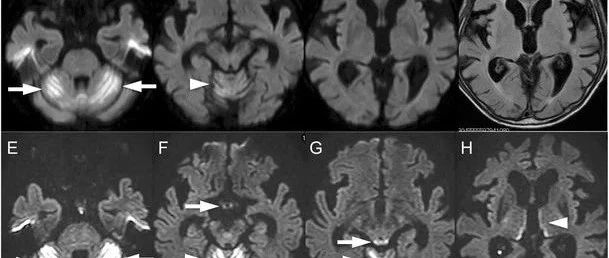
73岁男性,表现为进行性共济失调步态3周。其有3年的多发性骨髓瘤病史,接受了2年的化疗。1月前开始来那度胺(lenalidomide)治疗,出现过化疗相关的恶心和呕吐。否认习惯性饮酒史。MRI可见小脑半球和蚓部DW高信号病变(图1a-c)。FLAIR序列可见额叶和颞叶皮质萎缩,但幕上脑实质未发现异常病变(图1d)。患者从当地医院转来,主要表现为明显的平衡障碍,无法站立。神经系统查体提示双侧侧向凝视麻痹,双侧水平方向眼球震颤,深腱反射减退,共济失调性构音障碍和小脑性共济失调。在第一次MRI检查后两天,复查DWI可见小脑半球和蚓部,乳头,中脑顶盖和丘脑内侧病变(图1e-h)。患者小脑病变先于其他病变出现。FLAIR在相同区域也可见异常,增强后可见顶盖病变强化。脑脊液生化等结果正常。...

神经病学俱乐部 2021-08-22

    上海医师在线信息技术有限公司 版权所有 ©   沪ICP备12005625号-1