切口

手术演示|腋窝径路后入路全腔镜甲状腺切除术

01体位与切口垫肩仰卧位,头稍转向健侧,患侧上肢自然外展。标记肿瘤、胸骨上窝及锁骨头、胸锁乳突肌,标划预造空间范围,做前胸预造空间区皮下注射。做腋窝第1或第2白然皱褶皮纹切口,用分离棒沿锁骨头方向及胸骨上窝下3cm的深筋膜浅层分离。沿深筋膜浅层分离皮下疏松结缔组织,待有一定的操作空间后将内镜置入,在主切口下方约3.0~4.0cm、腋前线与乳房外上缘交叉处行0.5cm切口,置入5mm Trocar。0...

一文了解:经10毫米入路掌侧锁定钢板固定桡骨远端骨折的可能性

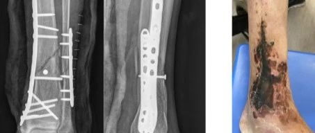
本文未经授权禁止转载桡骨远端是骨折最常见的部位,包括所有年龄段。这种疾病的高发是一个公共卫生问题。经济影响与骨愈合前的暂时性功能障碍有关,与骨愈合后潜在的功能后遗症有关,尤其是在年轻患者中。在过去的十年中,由于前路锁定钢板器械的发展,桡骨远端背侧移位骨折的治疗有了显著的改善,外固定架和克氏针越来越多地被锁定钢板所取代。近年来,微创手术已应用于许多外科领域,尤其是腹部外科的腹腔镜手术。外科手术的历史进程表明,在技术和所用材料的改进之后,入路的尺寸会随之减小。这一规律已在膝关节和髋关节置换术中得到验证...

骨今中外 2023-02-19

预防性回肠造口还纳技巧

作者:蔡明,励超,熊振,王征,蔡开琳,王国斌,陶凯雄文章来源:中华胃肠外科杂志, 2022, 25(11)摘要为防治和减轻低位直肠癌术后吻合口漏等并发症的严重程度,临床医生往往在手术过程中选择做预防性回肠造口手术。学界对预防性造口手术的争议颇多,包括造口适应证、造口并发症、造口还纳时机和还纳方式以及还纳技巧等。本文综合国内外文献及自身经验,从预防性造口的还纳时机、还纳方式和还纳相关并发症三个方面对还纳技巧进行详细探讨,以提高我们对预防性回肠造口还纳手术的诊疗水平,改善患者还纳术后生活质量及预后。...

普外空间 2023-02-14

3分钟get:真正的外科缝合秘籍!

超实用外科缝合秘籍!随着人们对于医疗服务的要求逐渐增加,人们既要能够治疗疾病,也需要伤口疤痕最小化。因此,美容缝合的需求也逐渐增多。皮肤的解剖结构皮肤由两层组成:表皮和真皮。表皮由角质层(上层)和非角质层(下层)组成,黑素细胞含量增加皮肤颜色加深,反之皮肤颜色变浅。真皮一般分为乳头层和网状层,由血管和神经直接营养,富含弹性和胶原纤维是皮肤弹性及其收缩能力的原因。图1 皮肤解剖结构皮肤松弛张力线手术前设计的切口应接近“皮肤松弛张力线”(relaxed skin tension lines, RSTL,图2)和皮肤的皱纹。...

医护多外科学霸 2023-02-12

骨科保护软组织不可忽视的9点

一个坏的软组织可能是由多种因素导致的高能量损伤,不适当的切口,不合适的手术时机,不恰当的术中操作,不精细的缝合技术,不防止引流,没有放置VSD,等等等……最终导致皮肤坏死,内固定外露,伤口迁延不愈。骨折几乎总是与某种程度的软组织损伤有关。虽然外科医生无法改变初始损伤造成的损伤程度,但他们可以通过熟练使用器械和牵开器,避免对这些受创组织造成进一步损伤。相反,在寻求实现骨折的解剖修复时,外科医生往往忽视了骨折广泛暴露造成的...

肥胖患者低位直肠肿瘤保肛手术选择腔镜好还是开放好?

        记得十几年前,那时候腹腔镜手术尚未普及,直肠手术还是以开放手术为主。那个时候,对于肥胖对手术的影响,基本上没有什么概念,因为越是肥胖的病人,我们下标本的速度越快。        当时的流程是这样的,钝性分离直肠后壁,在盆底腹膜反折处打开直肠前间隙(男病人宜高,女病人宜低),再钝性分离直肠前壁至前列腺下缘或阴道中下1/3处,最后就剩下两侧侧韧带了,可以使用超声刀能量平台或剪刀,我们最喜欢使用剪刀。...

赵玉洲手术团队 2023-02-10

【主编推荐】专家论坛:经阴囊单切口(Bianchi手术)治疗小儿可触及型隐睾

本文刊登在《现代泌尿外科杂志》2022年5期专家论坛栏目,点击文末的“阅读原文”按钮,直达本刊官网,下载本文PDF。白明,张高峰,王议鹤,等.经阴囊单切口(Bianchi手术)治疗小儿可触及型隐睾(“大家泌尿网”观看手术视频)[J].现代泌尿外科杂志,2022,27(5):369-372.白明  主任医师,硕士研究生导师,西安市儿童医院泌尿外科学科带头人,西安市儿童医院泌尿外科一病区主任。现为中华医学会小儿外科学分会泌尿学组委员,中华医学会男科学分会儿童男科学组委员,中国医师协会结构畸形专委会委员;陕西中西医结合学会泌尿外科委员会副主任委员,陕西省医师协会小儿外科医师分会常委兼总干事,陕西省医学会泌尿外科分会青年委员,西安医学会小儿外科分会常务委员,陕西省医师协会泌尿外科医师分会委员等。擅长小儿肾积水、输尿管狭窄、输尿管反流,输尿管异位开口、重复肾输尿管、肾上腺肿瘤、鞘膜积液、高位隐睾等的腹腔镜微创手术;肾母细胞瘤、睾丸肿瘤等手术以及隐匿阴茎、尿道下裂、尿道上裂、阴茎下弯、性发育异常(两性畸形)...

雁塔西路7 2023-02-03

一文全搞定!肩胛骨骨折保守治疗or手术治疗?内含手术入路详解!

本文未经授权禁止转载一、发展历史1579年,AmbroisePare描述肩胛骨骨折常合并致命性合并伤:“When the fracture involves the neck of the scapula, the prognosis is almost always fatal." 1723年,Petit把肩胛骨骨折分为肩胛骨体部、肩胛颈和骨性凸起部骨折,同时他根据骨折线形态把肩胛骨体部骨折分为:横行、斜行和直行骨折。1799年,Vogt手绘了肩胛骨骨折图,并且报道了肩胛骨骨折合并锁骨骨折的病例。1910年,Stuthers、Grune等分析了肩胛骨骨折的影像学特点。...

骨今中外 2023-02-06

贲门区小间质瘤腹腔镜手术入路探讨

今天来讨论一下贲门区小间质瘤腹腔镜的手术入路。《小胃肠间质瘤诊治中国专家共识》解读先来说一个病例:病变位于胃体近端后壁近小弯侧,距离贲门口大约有2-3cm的样子。肿瘤直径在3cm左右。拟行腹腔镜手术切除。其实对于这类病变,尤其是病变在5-6cm左右时我通常选择在小切口下直视切除。具体是在剑突下方取8cm左右纵切口,使用切口保护套撑开切口,直视下切除肿瘤(使用超声刀或者电刀),然后缝合关闭胃部切口。如果是胃后壁肿瘤可能要切开胃前壁,然后在胃腔内切除肿瘤,最后缝合后壁及前壁。...

赵玉洲手术团队 2023-02-05

【论著】赵申, 杨晓媛, 林婉林, 等. 改良Limberg皮瓣技术治疗骶尾部藏毛窦的回顾性研究

论著引用信息赵申, 杨晓媛, 林婉林, 等. 改良Limberg皮瓣技术治疗骶尾部藏毛窦的回顾性研究[J]. 结直肠肛门外科, 2022, 28(6): 593-597.改良Limberg皮瓣技术治疗骶尾部藏毛窦的回顾性研究   赵申,杨晓媛,林婉林,马巧玲,朱建东,张磊,杨丽敏,陈文平△西安大兴医院肛肠盆底外科  陕西西安  710016△通信作者,E-mail:chenwp7807@163.com...

    上海医师在线信息技术有限公司 版权所有 ©   沪ICP备12005625号-1