性病

这种私处感染,男女都会有!但遭罪的往往是女人

Hello,关爱大家X福生活的宇哥又来啦~~不知道各位姐妹有没有这样的体会,得了妇科炎症,瘙痒不适、分泌物增多、灼热疼痛,那叫一个难受。有时我们医生也会建议性伴侣也去查一下,结果同样的病原体,男人也有,却丝毫无症状。男人没事,女人遭罪,就说气不气???图片来源:soogif这其中最常见的就有支原体感染,有不少姐妹会误认为这是性病不说,还反反复复好不了。1支原体感染,男女都有份!支原体是可以独立于细胞外生存并自我复制的最小病原体,大小一般介于病毒和细菌之间。由于支原体没有细胞壁结构,所以青霉素或头孢类可杀不死它哦。...

“尿崩症”要改名了?国际组织建议根据病因重新命名

医脉通编译整理,未经授权请勿转载。引言:近日,来自国际内分泌、肾脏学和儿科学会的一组代表建议将尿崩症(diabetes insipidus)改名为精氨酸加压素缺乏和精氨酸加压素抵抗。“精氨酸加压素缺乏症”将用于中枢性病因,“精氨酸升压素抵抗症”将用于肾源性病因。学者提及,既往名称中,尿崩症(diabetes insipidus)和糖尿病(diabetes)都含有“糖尿病(diabetes)”一词,但它们属于不同的情况,给患者和医护人员带来了困惑。...

医脉通内分泌科 2022-10-18

最新:公立医疗机构将设立公共卫生科,国家疾病预防控制局已正式组建运行!

7月22日,国家卫生健康委召开“一切为了人民健康——我们这十年”系列新闻发布会第十一场发布会,介绍党的十八大以来深化医改工作进展成效。国家卫生健康委体制改革司司长许树强表示,国家疾病预防控制局已经挂牌并正式组建运行,各地也正在按照改革任务要求抓紧推进。许树强表示,在做好疫情防控的同时,要做好疾病预防控制体系的改革,这是提升我国公共卫生应急防控能力的重要举措。国家疾病预防控制局也是国务院医改领导小组的成员单位,下一步要继续推进机制改革创新,提升疾病预防控制的能力。...

当心,突如其来的“风疙瘩”很危险!

专 家 简 介刘斌,武汉市第九医院皮肤科主任,主任医师。于2003年在华中科大附属协和医院皮肤科进修。诊疗专长:从事皮肤科临床工作20余年。擅长于治疗荨麻疹、湿疹等变应性皮肤病、结缔组织疾病、细菌、真菌性疾病以及性病等。学术任职:武汉医学会皮肤性病专业委员会委员,武汉市医师协会皮肤科医师分会常委。科研成果:在《中国麻风皮肤病学杂志》《中国中西医结合皮肤性病学杂志》《实用皮肤病学杂志》等皮肤科专业核心期刊发表论文10余篇。...

猫大夫医学科普 2022-06-15

如何判断伴侣有没有性病?这一招绝了!

朋友们早上好!最近,我们在树洞中看到了这样条个留言:性病,确实是很让人烦恼的东西,一方面它发生的部位让人难以启齿,另一方面性病几乎都是传染性疾病,很容易通过性生活传播,所以让人闻之色变。而这个问题的留言,也让我们进一步感受到性病越来越常见了,它也被越来越多的人们所关注着。对性病的科普,也变得更加重要。下面,我们就结合这个小伙伴的留言,说说高危性行为后,有哪些可以通过外观发现的较为常见的性病,哪些不能通过外观发现的常见性病,以及做什么检查能够及时排查出这些疾病。...

第十一诊室 2022-06-15

影像挑战:中年男性,头痛、腿部与手臂感觉异常和癫痫发作(结果公布)

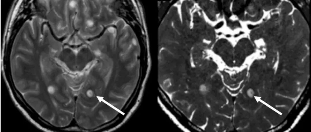
51岁男性,表现为头痛、腿部和手臂感觉异常和癫痫发作。MRI可见多发囊性病灶伴点征(dot sign)和钆强化(图1-2)。(图1:A-B:轴位T2WI可见多发囊性病灶,一个位于左侧枕叶伴点征[箭];C:轴位FLAIR可见大多数病灶周围存在血管源性水肿;D:轴位增强T1WI可见周围和点征强化;点征是囊性病灶内的结节)(图2:A-B:轴位T2WI可见右侧小脑半球2个囊性病灶伴点征[箭];C:轴位DWI显示点征[箭];D:轴位增强T1WI可见结节和点征强化[箭])...

神经病学俱乐部 2022-03-27

一图读懂丨首个艾滋病线上管理专家共识

仅供医学专业人士阅读参考立足临床实践,保障医患切身利益和诊疗安全。  随着互联网技术应用的不断成熟和普及,互联网医院与艾滋病相关医疗服务中快捷性、私密性、长期性等需求有着卓越匹配,越来越多的服务群体选择在互联网医院寻求艾滋病相关医疗服务。然而,目前国家尚未对互联网医院的操作规范做出统一要求,再加上艾滋病在公众视野中的特殊性和敏感性,如何保证艾滋病相关医疗服务安全、有效、有序开展是一个亟待解决的问题。...

医学界感染频道 2022-03-16

超详细「颅脑解剖基础」,快快收藏!

*仅供医学专业人士参考阅读初学者必备!要想成为一名出色的神经科医生,颅脑解剖基础的学习是必不可少的,笔者在这方面也走了很多弯路,经过不断的学习,笔者将颅脑解剖基础入门知识总结如下,非常浅显易懂(神经大咖们的课程对于临床小白难免有点不知所云),希望对同仁们有所帮助。由于内容较多,信息量大,笔者将所有内容分为3期来讲解,分别是:脑实质及脑血管的结构、功能及受损后临床表现;脑干、小脑血供及梗死临床表现;小血管,大问题,重要的穿支动脉。...

医学界外科频道 2022-03-14

为什么有的女生一接吻,身上就特别痒?

周末到了,轻松一下吧附录1.很多人的过敏源简直匪夷所思,有对紫外线、空气、风、水过敏的自然系患者,有对小麦、菠萝、桃子过敏的植物系患者,还有对猫、鸟类过敏的动物系患者,甚至还有对自己的眼泪、头发过敏的,杀敌没多少自杀一千了属于是2.一些人的过敏源是很隐蔽的,不做严格的筛查几乎很难知道,很多都是最后送医院了才反应过来,而且过敏体质是有遗传的,要是爸妈有过敏史,建议还是去做个过敏源检测3.不同的人过敏的反应也不同,有过敏症状别扛着,别人没啥事不代表你也没啥事啊,还是小心一点好...

复旦大学附 2022-02-13

一种形如“菜花”,2/3会传染给伴侣的“性病”

如果洗澡的时候,摸到身上有一些小凸起,我们可能还不太会去在意,但如果是在清洗“羞羞”部位时发现的,就不免会心头一紧,联想起一个词——性病。 性病其实就是通过性接触途径传播的疾病,常见的有艾滋病、梅毒、尖锐湿疣、生殖器疱疹、衣原体感染、淋病等。 今天我们就主要来讲一种不痛不痒,常表现为“菜花”状凸起的性病,名为尖锐湿疣。尖锐湿疣,是由人乳头瘤病毒(HPV)感染引起的一种传染性皮肤病,主要致病类型为...

    上海医师在线信息技术有限公司 版权所有 ©   沪ICP备12005625号-1