医脉通编辑整理,未经授权请勿转载。导读本项涵盖约220万名儿童的大型队列研究显示,孕期母体的泌尿和生殖道感染与后代儿童白血病的更高风险相关。详见下文。白血病是儿童中最常见的癌症。目前,我们对这种恶性肿瘤的病因知之甚少。鉴于在出生时已观察到与白血病相关的染色体病变,儿童白血病可能起源于子宫。先前的研究报告称,健康儿童出生时的细胞因子水平与儿童时期患上白血病的个体不同。这些研究结果表明,怀孕期间的免疫相关因素可能与儿童白血病的发展有关。...
髓系肿瘤/急性白血病的分类:全球视角和国际共识分类方法髓系肿瘤和急性白血病的国际共识分类:整合形态学、临床和基因组数据(一)髓系肿瘤和急性白血病的国际共识分类:整合形态学、临床和基因组数据(二)髓系肿瘤和急性白血病的国际共识分类:整合形态学、临床和基因组数据(三)髓系肿瘤和急性白血病的国际共识分类:整合形态学、临床和基因组数据(四)髓系肿瘤和急性白血病的国际共识分类:整合形态学、临床和基因组数据(五)...
人类被癌症按在地上摩擦了几千年,一直到1947年以前,只有一个办法,切,大刀阔斧地切。一场乳腺癌手术,能把一个人的半边都切了,伤敌一千自损一万。可是白血病,你切哪儿?你总不能把脊柱给切了吧?转机往往就在绝路上。1945年美国一家儿童医院的病理学家法伯,冒出来一个思路。白血病虽然没法下刀,它有个优点,血液里多少失控的白细胞,它能计数。如果用药物做实验的话,它的效果特别容易评估,显微镜底下数数就完了。那好,方向有了,药呢?...
2023年医保目录出台后,许多药被取消了适应症限制,意味着这些药可报销适应症将以说明书为准。因此,笔者在此整理与肿瘤用药相关西药的2021年适应症、2022年的适应症和药品说明书适应症。并把与2021年用药存在区别的进行标注,便于提示有哪些新的适应症可以医保报销。本文内容较多,建议按标注的区别点快速翻阅。// 烷化剂类名称:替莫唑胺剂型:口服常释剂型2021医保适应症:限多形性胶质母细胞瘤、间变性星形细胞瘤。...
慢性髓系白血病(CML)是一种以髓系增生为主的造血干细胞恶性疾病,全球的年发病率为(1~2)/10万,占成人白血病总数的15%~20%。随着2001年第一代TKI药物伊马替尼上市,到二代TKI药物进入临床,再到三代TKI药物上市,CML的治疗已经进入慢病时代。本期“年度盘点”精选汇总了2022年CML领域最新研究进展,以飨血液同仁,点击文章标题即可阅读原文。大咖说王建祥教授、刘兵城教授 | 推动CML规范化诊疗体系建立...
近日,国家医疗保障局、人力资源社会保障部《国家基本医疗保险、工伤保险和生育保险药品目录(2022年)》(以下简称医保目录)正式公布,亚盛医药原创1类新药耐立克®(奥雷巴替尼)成功首次纳入医保目录,伴T315I突变的慢性髓性白血病(CML)慢性期或加速期的成年患者使用奥雷巴替尼均可报销。新版医保目录将于2023年3月1日起正式生效。(视频来源于CCTV 1焦点访谈)奥雷巴替尼是中国首个且目前唯一获批上市的第三代BCR-ABL抑制剂,...
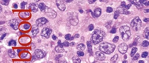
不典型慢性粒细胞白血病不典型慢性粒细胞白血病(aCML) 是一种属于MDS/MPN重叠类别的罕见的血液恶性肿瘤。其特点为中性粒细胞增多所致的白细胞增多(≥13 ×109/L),具有特征性的病态造血中性粒细胞及其前体细胞,中性粒细胞前体细胞≥10%的白细胞。虽然可能存在单核细胞绝对增多,但单核细胞<10%的白细胞。此外,ICC现在将血细胞减少列为必需的诊断标准。因为缺少BCR :: ABL1...
赓续前行,共启未来!2023年1月6日至8日,第三届中国血液学科发展大会盛大启幕。本次大会由中国医学科学院北京协和医学院主办,中国医学科学院血液病医院(中国医学科学院血液学研究所)、中国医学科学院天津医学健康研究院、实验血液学国家重点实验室、国家血液系统疾病临床医学研究中心、《中华血液学杂志》杂志社、细胞生态海河实验室、中国生理学会血液生理学专业委员会、天津市血液与再生医学学会、BLOOD SCIENCE、高博医疗集团承办,以“...
丹尼尔·A·阿伯等叶向军 译Blood (2022) 140 (11): 1200–1228。B-ALL、T-ALL(表27和28;补充表 7)同义词:B-(T-)原始淋巴细胞淋巴瘤/白血病更新后的分类包括对之前 2016 年WHO分类中的实体的修订,并引入了一些新的亚型(表27)。之前分类的BCR::ABL1阳性 ALL 现在分为 2个生物学上不同的亚组,其中1个似乎与CML急淋变期更密切相关。这些亚型不能通过...
丹尼尔·A·阿伯 等叶向军 译Blood (2022) 140 (11): 1200–1228。摘要髓系肿瘤和急性白血病分类的最后一次更新是在 2016 年,由世界卫生组织 (WHO)、美国血液病理学会和欧洲血液病理学协会合作完成。该合作主要基于临床咨询委员会(CAC) 的意见,该委员会由来自世界各地的病理学家、血液学家、肿瘤学家、遗传学家和生物信息学家组成。我们对血液系统恶性肿瘤生物学认识的最新进展,在临床实践中使用...
上海医师在线信息技术有限公司 版权所有 © 沪ICP备12005625号-1