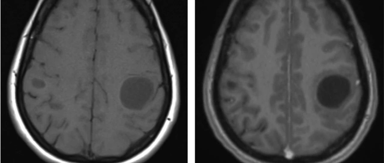
35岁女性,在2次右手局灶性感觉性发作后至医院就诊,其中第2次发展为全面性强直阵挛发作。查体未发现运动或感觉缺陷。MRI可见显示5个幕上病变,最大的2个为囊性病变——左侧中央后回上外侧30×30×32mm和右侧中央后回外侧7×9×6mm。所有病变均为T1低信号和T2高信号,周围有轻度血管源性水肿(图1A和C)。2个囊性病变呈周围强化、FLAIR高信号,且没有弥散限制(见图1B和D)。(图:MRI可见显示5个幕上病变,最大的2个为囊性病变——左侧中央后回上外侧30×30×32mm和右侧中央后回外侧7×9×6mm[A-D];病变呈T1低信号[A]和T2高信号,周围有轻度血管源性水肿[C];其在FLAIR上呈高信号[C],周围中度强化[B],无弥散受限[D];左侧中央后回上外侧病灶活检组织病理学显示脱髓鞘伴有囊性变和明显的星形胶质细胞增生[E],血管周围淋巴细胞成套[F],无残留髓鞘[G],CD163+巨噬细胞[H],以及大量反应性星形胶质细胞[I])...