胰头癌

老年女性,超声发现肝囊肿,请诊断!

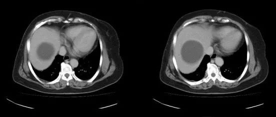
医学影像  yxyx-app  医学影像APP,打造伴随医生快速成长的影像学习社区。与影像园(Xctmr.com)一起提供最全面的影像案例库、基础(解剖、病理、影像诊断)知识、影像技术及考题等,为医生提供最佳的医学影像参考。【所属科室】消化科【基本资料】患者,女,69岁【主诉】超声发现肝囊肿。【影像图片】【讨论问题】如何诊断?【医学影像APP用户讨论】评论:胰腺体部前缘局限性外突结节影,平扫呈等密度,增强扫描呈多血供强化征象,动脉期、静脉期均高于正常胰腺的密度。考虑为胰腺内分泌肿瘤胰岛素瘤可能大。...

医学影像APP 2022-08-05

每日一练 | 有关壶腹周围癌的陈述,正确的是

DAY 246答案点击下方空白处获得答案D(上下滑动查看完整解析)正确选项(D):壶腹周围癌主要包括括 Vater 壶腹、胆总管下段和十二指肠乳头的癌肿,这是记忆型概念(选 D)错误选项(A):壶腹癌黄疸出现早,呈波动性,故(不选 A)错误选项(B):壶腹癌组织学类型主要是腺癌,其次为乳头状癌、黏液癌,故(不选 B)错误选项(C):壶腹周围癌恶性程度低于胰头癌,手术切除率和 5 年生存率都明显高于胰头癌,故(不选 C)...

丁香园普外时间 2022-04-23

每日一练 | 胰头癌最具特征的临床表现是

DAY 101答案点击下方空白处获得答案E(上下滑动查看完整解析)【解题要点】胰头癌;临床表现【本题考点】胰腺癌的临床表现 【答案解析】急性胰腺炎的临床表现正确选项(E):由于胰头癌早期的临床表现较隐匿且缺乏特异性,诊断困难,80%发现时多已属中晚期,手术切除率约为20%,预后很差,因此正确的诊断尤为重要。胰头癌黄疸的特点是进行性加重,由于癌肿压迫或浸润胆总管所致。黄疽出现的早晚和肿瘤的位置密切相关,癌肿距胆总管越近,黄疸出现越早;胆道梗阻越完全,黄疽越深,是与胆总管结石进行鉴别的主要依据,因此(选E)  ...

临床研究//扩大淋巴结清扫在交界可切除胰头癌术中的应用价值

 点击上方蓝字关注了解更多精彩内容!!文章刊于中华肝脏外科手术学电子杂志,2021,10(5):479-483.作者:许文犁  张欣雪  朱继巧  李先亮  贾亚男  王若麟  贺强作者单位:首都医科大学附属北京朝阳医院肝胆外科摘要目的   探讨扩大淋巴结清扫在交界可切除胰头癌术中的应用价值。方法   ...

【知识干货】临床执业医师运动系统各种征的总结

运动系统是临床医师考试的考试内容,每年考试中所占考题有20多道。今天给大家分享关于运动系统疾病的总结。1.食

CSPAC 2019 | 刘颖斌教授:胰头癌全系膜切除(TMpE)可提高R0切除率,改善预后

《肿瘤瞭望》记者特邀采访了上海交通大学医学院附属新华医院的刘颖斌教授,并针对胰头癌全系膜切除术(TMpE)等相关话题展开了精彩讲解。

论著|三维可视化技术在胰头癌胰腺全系膜切除术中应用研究

点击上方“中国实用外科杂志” 可以订阅哦!点击阅读原文即刻体验中国实用外科杂志APP

中国实用外 2019-01-31

    上海医师在线信息技术有限公司 版权所有 ©   沪ICP备12005625号-1