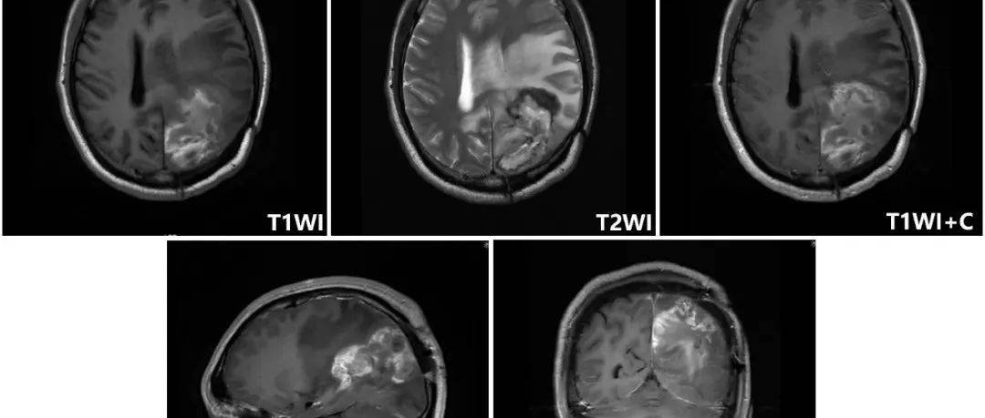
岩斜区脑膜瘤是起源于以岩-斜裂为中心的中上斜坡及三叉神经内侧岩骨的脑膜瘤。因岩斜区位置隐匿,解剖结构复杂,肿瘤压迫脑干与颅底神经及血管,被认为是神经外科最棘手的疾病之一。手术入路较多,术后肿瘤残留率高、患者预后差等现象目前仍然存在,术中一味地追求肿瘤全切也是导致术后高病死率、高致残率的主要因素。因此,术中根据肿瘤部位、性质给予患者制定个体化最佳手术入路选择,充分暴露肿瘤及周围重要结构,减轻脑组织牵拉,避免损伤周围神经、血管,减少术后并发症及新发神经功能障碍,在获得肿瘤高切除率的同时实现提高患者远期生存质量,是目前治疗的难点。...