腮腺炎

诊断腮腺炎,超声医生却再三否定,原因为何?

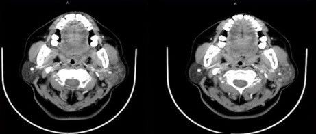
感谢丁香达人 @米米兰妮 分享的病例:患儿:男性,13 岁。主诉:左侧颌面肿痛伴低热 1 天。查体:患儿左侧颌面部较右侧稍肿大,触诊包块边界不明显,触痛明显,皮温正常,无泼动感,张口受限。发病于冬春季节,考虑腮腺炎。完善血常规、超声检查,如下:超声提示:左侧腮腺未见明显异常。且超声老师明确说明是淋巴结肿大,不是腮腺炎症。血常规、CRP、SAS 均正常。本以为就等超声确诊,没想到可能误诊。诊断已出,一起加入讨论吧......

丁香园儿科时间 2022-06-09

流行性腮腺炎来了!如何精准防治?一文读懂

点上面“乡医家园”关注解读村医政策、聚焦基层热点、用药指导、科普宣传、医师联盟平台什么是流行性腮腺炎?流行性腮腺炎,又称“痄腮”,是由流行性腮腺炎病毒引起的一种急性病毒性传染病,主要发生在1~15岁的儿童和青少年;全年均可发病,以冬春季为主;属国家法定丙类传染病。腮腺炎有哪些症状?1、孩子被腮腺炎病毒感染后,大约经过2~3周的潜伏期才出现不适症状。2、大多数患病孩子,以耳下肿大和疼痛为最早出现的表现,少数患病孩子表现为在腮腺肿大的1~2天前出现发热、头痛、呕吐、食欲不佳等全身不适症状,继而出现一边或两边耳下的疼痛,即腮腺肿起来。 ...

Graves 病可表现为?

DAY 594答案点击下方空白处获得答案A浸润性突眼见于甲亢不明显或无高代谢症的患者中,主要由于眼外肌和球后组织体积增加、淋巴细胞浸润和水肿所致,常见于Graves病(选A)。右心衰可导致体循环淤血,半坐位时,下肢静脉淤血加重,颈静脉充盈、怒张(B)。平卧位颈静脉充盈可见于上腔静脉综合征,可表现为上腔静脉回流减少,心脏排血量减少,则循环血量减少,血容量低下(C)。急性流行性腮腺炎起病急骤,腮腺肿胀为最具特征性的表现,一般以耳垂为中心向前、后、下发展(D)。...

中年女性,左侧腮区反复肿胀1年余,请诊断!

欢迎下载医学影像app查看更多病例!

医学影像APP 2021-06-02

备孕 4 年无果,检查发现老公无精子,医生竟然说他是被同学传染的!

无精子是指连续 3 次精液检查发现没有精子,由此引发的疾病称为无精症

村医适用:牛黄解毒片6种外敷新用途

村医适用:牛黄解毒片6种外敷新用途

流行性腮腺炎高发季,掌握这些不“中招”

流行性腮腺炎——高度传染性疾病!

医学界儿科频道 2020-12-30

村医适用:牛黄解毒片的六种外敷新用途

乡村白大褂,全国村医微信公众号平台

乡村白大褂 2020-08-17

    上海医师在线信息技术有限公司 版权所有 ©   沪ICP备12005625号-1