单文莉, 孔丹, 张辉, 等. 浸润性肺腺癌分化程度预测模型的临床价值 [J] . 中华肿瘤杂志, 2022, 44(7) : 767-775. DOI: 10.3760/cma.j.cn112152-20200102-00002.肺腺癌已超过鳞癌成为我国肺癌最常见的病理类型,且其发病率仍有上升趋势[1]。目前,手术+淋巴结清扫是肺浸润性腺癌(invasive adenocarcinomas, IAC)的主要治疗方式,手术切除对于高分化IAC有较好的治疗效果,而对低分化IAC患者,术后新辅助化疗可以明显延长患者的生存时间...
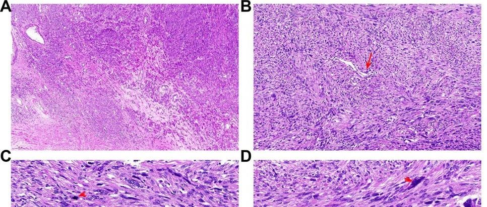
导读第一篇我们简单介绍了伴怪异细胞核的子宫平滑肌瘤(LBN)的由来及分类,今天继续为大家介绍LBN组织病理学及鉴别诊断。一同来学习吧!LBN组织病理学及鉴别诊断组织学评估仍是诊断LBN的主要方法。大体上,LBN可表现为多种颜色及质地,如轻度质软至稍突出切面,直径平均为7cm。LBN是典型平滑肌瘤细胞背景中存在局灶性、多灶性或弥漫性的怪异细胞,这些细胞的特点是中至重度细胞核非典型、核分裂计数低(≤5个/10HPF)但有碎片状细胞核、无肿瘤细胞坏死。怪异的细胞可以是单核或多核,胞质可为嗜酸性或球形,染色质污浊,可有核内假包涵体。该肿瘤境界清楚,偶有梗死型(嗜酸性)坏死。核仁一般小或无,但偶见嗜酸性的大核仁:后者需仔细评估,以排除FH缺陷型平滑肌瘤。...
Lance-Adams综合征(Lance-Adamssyndrome,LAS)是发生在脑缺血缺氧后的一种罕见神经系统疾病,以肌阵挛为临床特征。近年来随着大众心肺复苏术的普及、急救能力和重症监护水平的提高,越来越多的患者在心脏骤停事件中存活下来,脑缺氧后发生Lance-Adams综合征的机率也逐渐升高,提高对该病认识、及早诊断、正确治疗,可明显改善患者的生活质量。1963年Lance和Adams在《Brain》上首先报道了4例心肺复苏术后患者在意识恢复后出现动作性肌阵挛,这种肌阵挛有别于普通的癫痫肌阵挛,表现为突然、短暂、电击样抽搐、发作频繁、诱因多、治疗难,始称Lance-Adams综合征(LAS)...
*仅供医学专业人士阅读参考这个病你能想到吗?病例简介患者中年女性,规律维持性腹膜透析7年余,反复关节疼痛伴胸闷、气促1年余。既往史:既往有"癫痫"病史10余年,混合痔病史1年余,多次骨折病史。体格检查:体温:36.5℃ 脉搏:84次/分 呼吸:20次/分 血压:174/105mmhg神志清楚,慢性病容,贫血貌,双肺呼吸音粗,双下肺可以闻及少量湿性啰音。心率84次/分,心律齐,各瓣膜区无杂音。腹部平坦,腹壁柔软,无压痛,无反跳痛。Murphy征阴性,肝脏、脾脏未触及,移动性浊音阴性,双侧肾区无叩痛,肠鸣音正常,4次/分,双侧下肢重度凹陷性浮肿。...