四环素 ( Tetracycline )
别名: 四环素磷酸复盐、Abricycline、Panmycin、Achromycin、Decycline

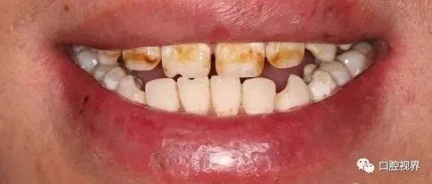
为什么天天刷牙还是黄?医生:教你牙齿美白的各种姿势

自黄帝开始,中国人对黄色就有种不解情节。权势地位、五行传承,它被视为上天赋予的颜色!是神圣不可侵犯的颜色!不知何时黄色变了。变得让人想入非非……变得让人意乱情迷……表误会,小编口中的“意乱情迷”与情色无关。我说的黄色可能生在你嘴里,让你苦不堪言……用一个好似不妥又形象之极的比喻来说,它就像一副免费且受用终生的避孕套。它会帮你很巧妙的避开身边的美女帅哥!它是谁?健康的牙齿都是相同的。不健康的牙齿各有不同。...

口腔视界 2022-06-20

村医警惕,这些药物极度伤肾,千万别轻易用

点击上方蓝字关注我们来源:联合用药肾小球功能障碍非甾体类抗炎药、四环素类抗生素、抗高血压药(如普萘洛尔、可乐定、利血平、米诺地尔、硝普钠、甲基多巴、哌唑嗪、尼卡地平、卡托普利及硝苯地平等)、两性霉素B 、 环抱素等急性肾小球肾炎利福平、肼屈嗦、青霉胺、依那普利等肾小球肾炎及肾病综合症金制剂、梩制剂、柲制剂、青霉胺、丙磺舒、卡托普利、非甾体类抗炎药、氯磺丙脉、利福平、甲巯咪唑、华法林、可乐定、干扰素、磺胺类等...

肺炎抗感染治疗面临诸多挑战,新型四环素有哪些值得期待的治疗价值?

仅供医学专业人士阅读参考听大咖声音,解临床疑惑。2021年12月8-12日,由中国医疗保健国际交流促进会临床微生物与感染分会主办,国家卫生健康委合理用药专家委员会、中国药师协会协办,北京大学人民医院、中日友好医院承办的“第四届华夏临床微生物与感染年会暨第十届京港感染论坛”在线上顺利召开,来自国内不同地区从事感染相关工作的专家学者及基础科研工作者热烈参与交流,深入探讨感染领域的前沿和热点问题。 ...

医学界感染频道 2021-12-13

谨记!这些药千万不可同服

很多人会想当然认为中西结合疗效好,生活中存在很多中西药混吃的情况。可有些药不能混吃,轻者会相抵药效,重者则产生不良反应,更严重者可能有生命危险。下面这些中西药不是”好组合“,不可同服。1、中成药舒肝丸不宜与西药胃复安合用。因舒肝丸中含有芍药,有解痉、镇痛作用,而胃复安则能加强胃的收缩。2、中成药止咳定喘膏、麻杏石甘片、防风通圣丸与西药复方降压片、优降宁不能同服。前三种含有麻黄素,会使动脉收缩升高血压,影响降压效果。...

基层医生俱乐部 2021-08-02

常用抗菌药物的相互作用汇总,推荐收藏!

1、β-内酰胺类抗菌药物2、氨基糖苷类抗菌药物3、氯霉素4、大环内酯类5、四环素类6、多粘菌素类7、抗结核药8、(去甲)万古霉素9、甲硝唑10、呋喃类11、喹诺酮类12、磺胺药13、抗真菌药来源:药圈网责编:杨蓓基层医生导刊投稿:xdhlbgzz@163.com电话:0311-67562707

牙科有没有五星推荐的牙美白方式?

口腔科常见牙齿美白方法详细介绍,选择前请务必权衡!记住,远离“美甲牙”(浮雕牙)!

什么是四环素牙,四环素牙应该如何治疗?

什么是四环素牙,四环素牙应该如何治疗?

十个常用西药记忆口诀

十个常用西药口诀速记~四环素抗菌谱二菌四体一虫灵,基本无效伤绿结。说明:二菌指细菌和放线菌,四体指立克次体、

记住这5类药,有致聋风险!孩子慎用!

关注“基层卫生健康”,传递基层声音,赋能基层卫生。

基层卫生健康 2020-10-03

儿童补铁牙齿发灰变黑,说明书却从未提及,怎么办?

根据 2011 年《中国儿童发展纲要》,我国要在今年达到一项目标——5 岁以下儿童贫血患病率控制在 12% 以下,中小学生贫血患病率以 2010 年为基数下降 1/3[1]。我国 7 岁以下儿童缺铁性贫血(IDA)患病率为 7.8%,而婴儿 IDA 的患病率高达 20.5%[2],现实不容乐观[3]。目前来看,儿童补铁人口基数较大,铁剂治疗的不良反应自然成了大家比较关注的问题。这不,群里面的宝妈们就在交流经验了。 ...

    上海医师在线信息技术有限公司 版权所有 ©   沪ICP备12005625号-1