皮肤

内裤怎么选才能健康又舒适?这几点是关键!

相/关/推/荐 | 延缓皮肤衰老每个女生都有变美的潜力,只是不懂这些知识 | 皮肤补水每个女生都可以拥有Q弹肌肤,只是不知道这些知识 | 睡觉美容省钱又绿色的美容方法创作不易,点分享+点点赞+点在看⬇给小大夫充个电❤

小大夫漫画 2023-03-08

问题剖析丨选择题:以下哪种情况导致患者发生医院感染的概率最小?

解析金黄色葡萄球菌是重要的医疗机构相关感染的致病菌,对干燥有抗力,能在环境中或环境表面长期存活。金黄色葡萄球菌为皮肤的暂居菌群,人类皮肤对金黄色葡萄球菌寄居有天然的抗性,因此不容易定植在正常皮肤上,但在会阴部的带菌率可达20%,鼻部带菌率更高,20%~40%的人群中可持续携带,目前国际医学界已公认鼻腔金黄色葡萄球菌定植可增加几乎所有病种的院内感染风险,金黄色葡萄球菌鼻腔携带者很可能在鼻腔外的其他部位也被相同菌株污染,因此发生内源性金黄色葡萄球菌感染的危险性增高,尤其是SSI。金黄色葡萄球菌可从严重定植的患者排入空气,有研究发现,患者前鼻腔的细菌浓度与金黄色葡萄球菌的空气传播性直接相关,大约10%的健康携带者会向空气中排放金黄色葡萄球菌,若伴有病毒性上呼吸道感染,可加剧金黄色葡萄球菌向空气中播散,但通常不会引起手术室、烧伤病房、新生儿病房之外的空气传播感染。...

女性之光?这6个自我取悦的好物,错过会哭!

大家好,我是莓莓。现在的天气越来越暖和了,在这万物复苏的时节,小铺的3.8活动也开始啦!同时也给大家上新了一些日用好物和美妆护肤,都是百元左右,性价比杠杠的,关键是还能凑单享受满减,一起来看看吧!活动时间:3月4日~3月12日前扣「漫画胸」外扩内衣有姐妹喜欢显胸小的内衣,也有姐妹独爱小胸变大的外扩内衣,这不莓莓也给大家找来了一款「前扣『漫画胸』外扩内衣」。这款内衣,是我近期反复穿着的,穿上妥妥的漫画胸十足。...

第十一诊室 2023-03-04

“中国儿童特应性皮炎行动计划”在京启动,多方参与为全国特应性皮炎儿童健康保驾护航!

(2023年2月25日,北京)2月25日,“中国儿童特应性皮炎行动计划”项目启动会在京举行。中国民族卫生协会携手全国数十位皮肤领域专家、共同开启“中国儿童特应性皮炎行动计划”。“行动计划”聚焦儿童特应性皮炎(AD)领域,旨在联合多方力量共同推动中国儿童皮肤专科能力建设,提升儿童皮肤科医生岗位技能,普及特应性皮炎系统化治疗观念。与会专家探讨了《儿童特应性皮炎长期规范化管理专家共识》全年工作规划,促进儿童AD规范化诊疗和长期管理,关爱儿童 AD 患者并关注其家庭的心理健康,加强儿童AD患者教育。此外,会上专家进行了PDE-4抑制剂治疗轻中度特应性皮炎的临床经验分享,为儿童AD临床治疗及用药安全提供了可贵信息。会议同步直播,累计吸引线上近两万人次皮肤科医生观看与互动。...

中国实用儿 2023-02-28

留置针单手送管法,提高成功率,你get了吗?(内附视频)

【直播预告】护理论文投稿,如何避免误入假期刊的坑?(主讲人:邓静,护理学博士),点击下方直接预约↓↓↓导语面对儿童、谵妄等无法沟通的患者,护士往往需要一只手固定住患者穿刺点,此时使用单手送管法能提高穿刺成功率,今天就一起学习一下!1传统双手送管法弊端多对于创伤失血性休克的危重患者,其血管充盈度弱于一般患者,以及长期治疗多次穿刺也增加血管穿刺难度,传统双手送管法很难确保穿刺成功;此外,传统双手送管法见回血后,由于不再固定静脉处的皮肤,导致该处的皮肤松弛,血管的固定性降低,极易因患者的手足乱动或护理人员的肢体移动而给患者造成疼痛。...

外科护理 2023-02-28

橘子吃多了会变小黄人?如何白回来?

有人说,冬天最大的敌人非砂糖橘莫属,那都是一筐筐的吃,几乎每年砂糖橘都会凭借实力冲上热搜。也正是这一颗颗小小的砂糖橘让你在不知不觉中就变成了“小黄人”,相信很多人会担心皮肤变黄了还能不能白回来,别急,您慢慢往下看。橘子种类那么多,为什么砂糖橘容易“上瘾”?第一,砂糖橘个头小,吃一个很难获得满足感,于是一个接一个......其次,砂糖橘含糖量高,糖的摄入能够刺激大脑分泌多巴胺[1],只要吃完一颗橘子尝到甜头之后,当再拿起砂糖橘时,大脑会产生一个吃橘子的“心理预期”,多巴胺分泌,而只需剥开橘子我们的预期就能很轻松地得到满足,这样就给了大脑一个“奖赏”,又促进分泌更多的多巴胺...

严重湿疹,瘙痒抓挠,皮破血流,这味外洗的中药很难得。

基本情况5岁男孩小聿,半年前手臂湿疹,到医院看了,用了内服抗过敏的药,和外用的激素。效果不好,反而越来越严重,发展到全身,每天瘙痒,挠破皮,晚上翻来覆去睡不着。看了一些医生,总是效果不好,孩子痛苦半年,爹妈心里流血。家长是我的粉丝,年前带到我这里看诊。我看到他全身的皮肤,不禁想起了我的童年,几十个人住一间的初中宿舍,也是全身瘙痒。不过那时候是疥疮,会传染。这个小朋友不是。方药使用我看诊以后,给他开了五天药,还搭配了外洗的药方...

邱医生说 2023-02-21

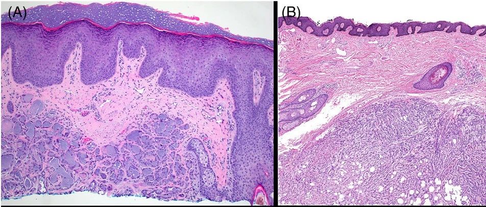
分子时代学病理-皮肤微分泌性腺癌

简介皮肤原发的癌大部分是由紫外线导致的,但有一部分也是基因融合作为遗传学驱动事件的,这主要是附属器肿瘤。具体来说,已发现螺旋腺瘤有CRTC1::MAML2融合,软骨样汗管瘤有PLAG1融合。有趣的是,这类融合驱动的皮肤肿瘤在涎腺会有伴类似或相同基因融合的对应病种:黏液表皮样癌中有CRTC1::MAML2融合,多形性腺瘤中有PLAG1融合。还有很多皮肤原发肿瘤在涎腺具有直接对应的病种,如伴MYB或MYBL1融合的腺样囊性癌,伴ETV6融合的分泌性癌。...

华夏病理网 2023-02-22

触目惊心,一例婴儿输液渗漏的案例讨论

患儿李某,出生 48 天,因呕吐、腹胀 2 天,于 6 月 15 日门诊拟「肠梗阻」收入院。入院时体格检查:体重 5.6 kg,T 36.5℃,P 136 次/分,R 36 次/分,BP 76/52 mmHg,SPO2 94%。诊疗计划:1. 禁食水;2. 补液维持生理需要量;3. 积极完善相关检查;4. 中药包腹部热敷;5. 开塞露加盐水灌肠刺激肠蠕动;6. 必要时输注静脉高营养液。发生外渗为输注静脉高营养液第二天...

丁香护士 2023-02-21

3分钟get:真正的外科缝合秘籍!

超实用外科缝合秘籍!随着人们对于医疗服务的要求逐渐增加,人们既要能够治疗疾病,也需要伤口疤痕最小化。因此,美容缝合的需求也逐渐增多。皮肤的解剖结构皮肤由两层组成:表皮和真皮。表皮由角质层(上层)和非角质层(下层)组成,黑素细胞含量增加皮肤颜色加深,反之皮肤颜色变浅。真皮一般分为乳头层和网状层,由血管和神经直接营养,富含弹性和胶原纤维是皮肤弹性及其收缩能力的原因。图1 皮肤解剖结构皮肤松弛张力线手术前设计的切口应接近“皮肤松弛张力线”(relaxed skin tension lines, RSTL,图2)和皮肤的皱纹。...

医护多外科学霸 2023-02-12

    上海医师在线信息技术有限公司 版权所有 ©   沪ICP备12005625号-1