纤维肉瘤

隆突性皮肤纤维肉瘤

点击上方蓝色文字关注我们1.定义隆突性皮肤纤维肉瘤是皮肤真皮组织发生的以梭形细胞分化为主的低度恶性或交界性肿瘤2.好发部位肿瘤最常发生在躯干,包括胸、背、腹壁。少数位于肢体近端,很少累及肢体远端。头颈部,尤其是头皮,也经常受累。外阴和腮腺是少见的受累部位。3.临床表现病史较长,缓慢、持续性生长的单结节或多结节状隆起,初期表现为硬皮病样硬斑,少数表现为萎缩性斑块,仅在进展期才表现为经典的“隆突样”外观。...

初学者福利!解剖病理学描述性术语,中英对照

第2章 解剖病理学中的描述性术语(Descriptive Terms in Anatomic Pathology)Central to effective learning in pathology is the ability to speak the language. This chapter covers the approach to defining and describing an unknown tumor or lesion and defines histologic terms commonly used in pathology....

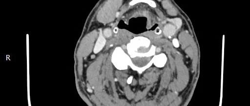
男性,声嘶半年余,伴间歇性咳血,请诊断!

欢迎下载医学影像app查看更多病例!

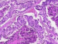
口内颊部硬化性上皮样纤维肉瘤一例

患者,男,37岁,菜农。2016年4月发现口内两侧颊部各有1个肿物,无疼痛等不适,1周后左侧颊部肿物自行消失,右颊部肿物至7月份明显增大,遂于7月23

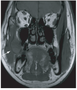
乳腺隆突性皮肤纤维肉瘤影像表现2例并文献复习

女,29岁。发现左乳肿物5年,未予诊治。2月前,自觉肿物增大,不伴疼痛。查体:左乳内上象限皮肤表面可触及3 cm肿物,质硬,形态不规则,边界欠清,活动

中国临床医 2018-09-10

手掌鳞状上皮乳头状瘤伴局灶癌变超声表现1例

患者男,74岁,因“左手掌小鱼际赘生物40余年,破溃后明显长大1年”就诊。无疼痛、瘙痒、外伤、传染病及家族史。查体:左手掌小鱼际皮肤表面可见红色“肉丸

瘤体切除韧带重建治疗黏液性纤维肉瘤1例

患者,女,左小腿近端肿物5年余,于2018年4月8日入院。患者5年前发现左小腿前内侧一包块,无明显压痛,局部皮温正常,5年来肿物逐渐增大。

临床骨科杂志 2019-05-31

儿童纤维母细胞和肌纤维母细胞性肿瘤的临床病理学研究进展(二)

儿童纤维母细胞和肌纤维母细胞性肿瘤的临床病理学研究进展(一)六、NTRK基因重排肿瘤/婴儿型纤维肉瘤在软组织肿瘤中,具有NTRK1基因重排的肿瘤不仅仅是脂肪纤维瘤病样神经肿瘤。2016年,Haller等人报道的4例(儿童和成人各2例)具有LMNA-NTRK1基因融合的病例,形态学上为具有血管外皮瘤样表现的肉瘤,儿童病例类似婴儿肌纤维瘤。所有病例均具有异常血管伴肌纤维母细胞增生并黏液/透明变。免疫组化显示CD34和SMA阳性。Kohsaka等人对1例发生于6岁女孩上臂的软组织肿瘤进行研究,发现该肿瘤具有LMNA-NTRK1基因融合。穿刺标本的瘤细胞表现为圆形或梭形,因恶性潜能未定而行手术切除。切除标本有纤维性包膜,但局灶侵犯周围骨骼肌,肿瘤细胞比较一致(图1A),由神经节细胞样的短梭形细胞组成,在胶原背景下有淋巴细胞浸润(图1B)。肿瘤细胞偶尔可见大的奇异核,周围散在多核巨细胞。血管外皮瘤样结构和脂肪组织成分不明显,很少观察到核分裂象(<1个/10高倍视野)(图1D),肿瘤细胞S-100和CD34阳性,EMA和AE1/AE3局灶阳性。...

一文了解隆突性皮肤纤维肉瘤(一)

导读作为非皮肤亚专科的病理医师来说,隆突性皮肤纤维肉瘤(dermatofibrosarcoma protuberans,DFSP)的诊断会面临一定挑战。这一方面是由于该肿瘤形态学表现多样,甚至有些会类似良性病变;另一方面是我们经常会面临临床医师的疑问:该肿瘤名为肉瘤,但其治疗和预后有什么特殊之处?近日,日本九州大学(Kyushu University)病理专家Iwasaki等就该肿瘤的研究进展、诊断及治疗等问题,在《Current Treatment Options in Oncology》杂志做了专门综述。为帮助大家更好的了解这一肿瘤并指导临床实践,现将该文要点编译介绍如下。...

一文了解隆突性皮肤纤维肉瘤(二)

一文了解隆突性皮肤纤维肉瘤(一)导读作为非皮肤亚专科的病理医师来说,隆突性皮肤纤维肉瘤(dermatofibrosarcoma protuberans,DFSP)的诊断会面临一定挑战。这一方面是由于该肿瘤形态学表现多样,甚至有些会类似良性病变;另一方面是我们经常会面临临床医师的疑问:该肿瘤名为肉瘤,但其治疗和预后有什么特殊之处?近日,日本九州大学(Kyushu University)病理专家Iwasaki等就该肿瘤的研究进展、诊断及治疗等问题,在《Current Treatment Options in Oncology》杂志做了专门综述。为帮助大家更好的了解这一肿瘤并指导临床实践,现将该文要点编译介绍如下。...

    上海医师在线信息技术有限公司 版权所有 ©   沪ICP备12005625号-1