脑梗死 ( cerebral infarct )
别名: 脑梗死;脑梗塞;缺血性脑卒中;cerebral ischemic stroke;CIS

美丽背后有风险,美容术导致脑梗死

美容背后的风险,你知道吗?一、美容术背后的风险到底有多大?人们对美无止境的追求,吹起了“颜值经济”这场大风。医美行业近年就处在风口之处。数据不骗人。在需求端,我国医美用户人数持续上涨,2022年突破2000万人(新氧数据研究院数据),比2017年增长3倍多。这里面,不仅有越来越多的女性选择整容抗衰,连男性也踊跃尝试医美项目,90后、00后等年轻一代更是成为了“主力军”。可医美背后的安全问题,需要美容者全盘了解,尤其是当下的“医美风口”。...

脑血管病预 2023-02-13

最新!我国在「后循环脑梗死取栓」领域获得重大突破,两研究同发 NEJM

我们知道,人脑组织的血液供应有前循环和后循环两套血液供应系统。后循环供应人体俗称「生命中枢」的脑组织,尤为重要。后循环急性闭塞导致的脑梗死,患者常常预后不佳,这类患者中 80% 会死亡或留下重度残疾。如何改善后循环脑梗死患者的预后,一直是临床研究的热点,但始终未获得很好的结果。今日中国两项「后循环大血管闭塞的治疗」研究同时在 NEJM(影响因子:176)上发表,我们先睹为快。BAOCHE 研究...

丁香园神经时间 2022-10-13

三七与阿司匹林的联合用药: 一对好朋友?

点上面“乡医家园”关注解读村医政策、聚焦基层热点、用药指导、科普宣传、医师联盟平台三七三七作为国内家喻户晓的中药,味甘微苦、性温,归肝、胃经,有散瘀止血,消肿定痛的功效。现代医学对三七的研究发现,三七中的关键药效成分为三七总皂苷(人参皂苷、三七皂苷),以三七总皂苷为基础,研制出了诸多用于心脑血管疾病的药物。临床应用:临床常用于治疗脑梗死、冠心病、心力衰竭、心律失常等疾病,被广泛应用于心血管疾病或兼有消化道损伤、出血的患者。...

真相 | 脑卒中发作只会慌乱中拨打120?早期掌握这3点,及时救命!

— 时间就是大脑,时间就是生命—脑卒中急救指南预警信号尽早识别什么是脑卒中? 高发病率、高致残率、高病死率、高复发率、高经济负担!人类健康的“第一杀手”说的就是脑卒中!脑卒中,俗称中风,是一组急性脑循环障碍所致的局限性或全面性脑功能缺损综合征,包括缺血性脑卒中和出血性脑卒中两大类型,即“脑梗死”和“脑出血”,其中缺血性脑卒中占70%~80%。1.脑梗死(缺血性脑卒中):由于血栓形成、栓塞或全身性灌注不足导致的脑缺血。简而言之,就是脑部的某条动脉被堵塞了,部分脑组织经历长时间无血流供应,出现脑梗死。...

神经内科常用数据最全汇总

作为一名神经科医师,有些专科知识是必须掌握的,比如那些曾经我们学习过的关于神经病学方面重要的数据,你还记得多少?1关于脑神经、瞳孔、反射脑神经:一共 12 对,面神经支配舌前 2/3 味觉,舌咽神经支配舌后 1/3 味觉;三叉神经分 3 支,第 1 支为眼支,第 2 支为上颌支,第 3 支为下颌支。普通光线下瞳孔直径 3~4 mm,直径 < 2 mm 视为瞳孔缩小,> 5 mm 视为瞳孔散大,且注意儿童瞳孔稍大,老年人稍小,单纯瞳孔不等大见于 20% 正常人群。...

丁香园神经时间 2022-08-01

医生提醒:脑梗有3怕,做好三件事,让你远离脑梗​

脑梗死是缺血性卒中的总称,包括脑血栓形成、腔隙性梗死和脑栓塞等,约占全部脑卒中的百分之七十,是脑血液供应障碍引起脑部病变。脑梗死是由于脑组织局部供血动脉血流的突然减少或停止,造成该血管供血区的脑组织缺血、缺氧导致脑组织坏死软化,并伴有相应部位的临床症状和体征,如偏瘫、失语等神经功能缺失的症状。大部分情况下,脑梗是一个很可怕的疾病,多数会发生在老年人身上。当发生脑梗之后,会给身体带来严重的后果,甚至危及生命。有人说,脑梗有“3怕”,做好三件事,让你远离脑梗,作为神经内科临床药师,我结合自己的所学,所见所闻,分析如下:...

临床常见神经康复病例50例汇总!超全面

病历介绍患者,女性,60岁,右利手,主因“左侧肢体活动不利伴言语不清、饮水呛咳28天”收入院。 病残史:患者入院前28天凌晨起床时,突感左侧下肢活动不利,不能行走,渐加重,约2小时后左上肢不能抬起,左下肢完全不能活动,右下肢较前沉重,伴头晕、言语不清、饮水呛咳及吞咽困难。无头痛、呕吐、视物旋转、耳鸣耳聋及肢体抽搐等症状,被送当地医院行头颅CT检查,示“左侧基底核区小片状低密度灶,未见高密度灶”,...

脑梗 1 年反复 2 次,阿司匹林、他汀无效?千万注意这点!

感谢丁香园站友 @伊雨凉jerry 分享的病例~患者:男性,60 岁。2022 年 5 月 7 日,患者因「头晕、肢体活动无力、言语不清 1 天」入院。既往史:小脑梗死病史 1 年,未遗留明显后遗症;高血压病史多年,未规律监测血压及应用降压药物。神经系统查体:神清,言语不清;双侧瞳孔等大等圆,直径 3 mm,对光反射灵敏,无震颤,双侧额纹对称,双侧鼻唇沟对称,伸舌居中,左侧肢体肌力 4 级,余肢体肌力、肌张力正常;双侧腱反射、病理征及脑膜刺激征检查未见异常;共济运动检查正常。...

丁香园神经时间 2022-05-18

患者反复追问「同样是脑梗,为什么比隔壁床恢复的差!」你该怎么回答?

脑血管病已经超过冠心病和肿瘤,成为我国的第一位致死和致残性疾病。我国成人脑血管病终身患病率高达 39.3%,居世界首位。可以近似的理解为,我国成人一生罹患脑血管病的风险高达 40%。作为医生经常被问及,多久能够治好?治疗后能够恢复到什么程度?还能不能恢复到发病前的状态?今天我们就来详细聊一聊脑梗死和脑出血的临床预后。1脑梗死的预后由于各种原因,供应大脑的血管堵塞,导致其供血区域的脑组织因为缺血和缺氧而发生坏死,进而引起相应的神经功能障碍,如肢体麻木无力、言语不清、吞咽困难、昏迷等,...

丁香园神经时间 2022-04-29

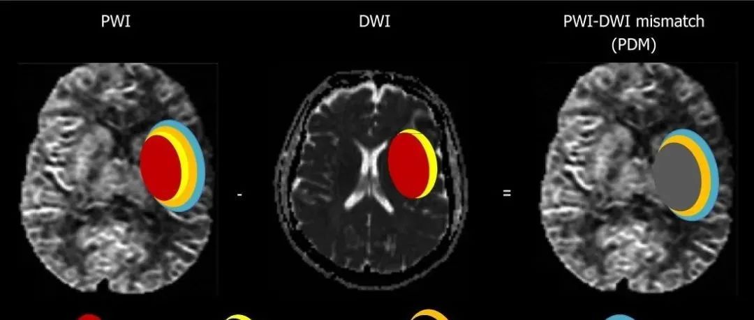
神经指南:急性脑梗死缺血半暗带临床评估和治疗中国专家共识

导读脑梗死急性期以血管再通为核心的各种治疗措施,主要是挽救梗死灶周围因缺血性损伤而发生功能异常、但尚未死亡的神经细胞,使其恢复正常并促进神经功能恢复。梗死灶周围这种仍有救治机会的神经组织,一般被认为属于“缺血半暗带(ischemic penumbra)”。缺血半暗带已成为急性脑梗死的关注焦点,其临床评估和治疗受到血管神经病学和相关学科医生的高度重视。然而,目前国内外对急性脑梗死缺血半暗带的临床评估和判定标准并不一致,治疗亦未形成共识。在中国医师协会神经内科医师分会领导下,由脑血管病专委会(学组)组织我国相关领域专家,经全面复习国内外文献,反复讨论后撰写成以下共识,供国内同行在临床实践中评估和治疗急性脑梗死缺血半暗带时参考。...

神经病学俱乐部 2022-04-06

    上海医师在线信息技术有限公司 版权所有 ©   沪ICP备12005625号-1