腺瘤

这个“又傻又笨”的癌症,这样做,绝大部分可预防、90%可治愈!

本文专家:张秀斌 ,山东千佛山医院内镜诊疗中心副主任医师最新的研究显示,男人一生中患结直肠癌的几率是4%,女人是2.5%,也就是说,如不加干预,每100个男人将有4人会罹患大肠癌,而女人则有2.5人。我国2019年1月发布的统计数字显示,每年新发病例近50万,死亡约20万,稳排前三名!十大肿瘤的新增病例比例听起来是不是很恐怖?!实际上,在所有癌症当中,它却算是天良未泯的一种,也是最傻,最笨,最好预防的恶性肿瘤。...

这几类人是结直肠癌高危人群!这份筛查攻略请收好

仅供医学专业人士阅读参考专家解读,快来看~2022亚太消化疾病周大会暨中华医学会第二十二次全国消化系病学术会议已于11月20日圆满闭幕。在17日的会议中,来自国立台湾大学医院的Han-Mo Chiu教授和来自皇家墨尔本医院的Finley Macrae教授分别就结直肠癌(CRC)在一般人群和高危人群中的筛查展开专题发言,此次发言也是对《第三次亚太地区关于结直肠癌筛查和息肉切除术后监测的共识建议》的解读。...

医学界肿瘤频道 2023-01-30

垂体腺瘤与甲功相关的那些事

-少见垂体TSH腺瘤的内镜经鼻手术治疗临床总结和体会功能性垂体TSH腺瘤在临床上比较少见,占垂体瘤的1%不到,本文通过回顾性分析我们组治疗过的垂体TSH腺瘤,总结其临床治疗特点和疗效。具体TSH垂体腺瘤在临床上有这三种基本类型:一)、TSH垂体腺假瘤血中TSH非常高,T3、T4低,患者有甲减表现,临床上并不少见,严格说起来此时磁共振检出的垂体腺瘤是机体在甲减程度下垂体的反应性增生,不应该称为垂体腺瘤。对于此类的患者手术一般是禁忌的,因为随着补充外源性甲状腺素后,垂体的瘤性增生改变会缓解(见下图一)...

垂体瘤与颅 2023-01-01

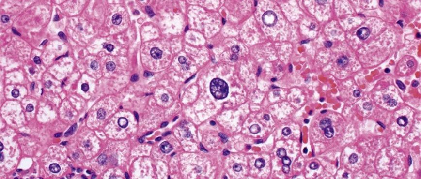
好文分享|形态与分子结合诊断的典范-肝细胞腺瘤(二)

一肝细胞腺瘤诊断要点肝细胞腺瘤为细胞学非典型轻微或缺失的高分化肿瘤。高倍镜下,瘤细胞与背景肝细胞的形态几乎一致。炎症性腺瘤中常见散在的轻度细胞核增大,但核浆比仍接近正常,且细胞核为圆形,细胞核轻度深染。图1.肝细胞腺瘤,本例几乎无细胞学非典型,但核浆比稍有升高(上);同一病例中的背景肝脏组织学表现见下图。图2.本例为炎症性肝细胞腺瘤,散在轻度细胞学非典型,个别瘤细胞的细胞核较大、深染,但核浆比一般仍保持正常。...

华夏病理网 2023-01-04

85%的肠癌由息肉恶变而来,留意这些排便症状,或能提前发现

体检的时候发现大肠息肉,这可把55岁的老向吓了一跳。现在网络发达了,老向在网络里一搜息肉,得知发现了肠息肉不处理,随着时间的推移,息肉很可能恶变,最终发展成大肠癌。越想老向越害怕,于是他赶紧挂了消化内科门诊号,寻求医生的帮助。在诊室里,我详细查看了老向的肠镜检查报告单,询问他有没有什么特殊的不适。老向说,自己一切正常,食欲好,大小便正常,也没哪里不舒服,之所以做肠镜检查,是因为前不久一个亲戚查出了大肠癌,自己只是常规进行一次体检而已。...

医学原创故事会 2022-12-04

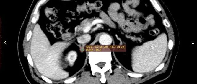
老年男性,右肾上腺肿物1月,请诊断!

医学影像  yxyx-app  医学影像APP,打造伴随医生快速成长的影像学习社区。与影像园(Xctmr.com)一起提供最全面的影像案例库、基础(解剖、病理、影像诊断)知识、影像技术及考题等,为医生提供最佳的医学影像参考。【所属科室】普外科【基本资料】患者,男,72岁【主诉】发现右肾上腺肿物1月【现病史】发现右侧肾上腺肿物1月,近3个月无明显诱因出现血压升高,既往高血压病史10余年。...

医学影像APP 2022-06-29

为何肠道上会长息肉?原因有这8点!建议从饮食避免......

仅供医学专业人士阅读参考90后是如何虐胃的?早预防、早检查、早治疗什么是肠息肉?肠息肉就是肠道黏膜上所有隆起性的病变的总称,从结肠黏膜表面突出到肠腔的息肉状病变,通俗地说,就是肠道上长了一些肉疙瘩,人体的整个消化道都可以有息肉生长,其中以结肠和直肠息肉为最多,小肠息肉比较少。在未确定病理性质前均称为结肠息肉。息肉的病理学类型包括了肿瘤性和非肿瘤性病变。炎症性息肉、增生性息肉、错构瘤性息肉等,一般不会癌变,称为非肿瘤性;...

医学界消化 2022-06-11

肠镜(病理)报告中的专业词,到底是啥意思?一文给您说清楚...

我们做肠镜检查,最常见的赘生物就是息肉,其中的腺瘤性息肉,其实就是肠癌的预备状态,90%以上的结直肠癌是它演变而来的。而腺瘤性息肉在50岁之后的检出率非常高。一项研究显示:在7203例次肠镜检查中,息肉检出率为:50岁前为17%,50~59岁为35%,60~69岁为56%,>70岁为63%。以上数据还不包括结肠息肉病、P-J综合征、进展期结肠癌、肠道准备不合格者及检查失败者。研究显示,直径超过2cm的腺瘤恶变率高达50%,多发性家族性息肉病癌变率可达100%,且发生癌变的年龄较轻。...

胃息肉也会癌变吗?这8点需牢记...

一、什么是胃息肉?胃息肉医学标准术语是:胃黏膜局限性良性隆起病变,是突出于胃黏膜表面的良性隆起性病变,表面常较光滑。通俗地说,就好比皮肤上长出的漂亮的瘊子,可以是一个独行侠占山为王,也可以是梁山一百单八将,甚至是群魔乱舞。它们有的天良未泯,有的丧尽天良。它个头大小不一,小的如小米粒,中的像绿豆,大的如花生米,甚至像核桃。 如果长了数不清的大小不等的息肉,那就是胃息肉病,这大多是“出身不好”,与基因有关。...

一文读懂肠息肉—— 为啥会长肠息肉?严重吗?如何治疗?怎样预防?【附手术视频】

本文作者:杨炳灿,华西厦门医院消化疾病中心本文原创:阿炳消化时间,欢迎关注01什么是肠息肉肠息肉是指从肠道黏膜表面突出到肠腔的隆起性病变,在未确定病理性质前均称做肠息肉。其发病率随年龄增加而上升,男性多见。根据病理可分为腺瘤性息肉和非腺瘤性息肉。腺瘤性息肉主要包括管状腺瘤、绒毛状腺瘤、管状绒毛状腺瘤,非腺瘤性息肉主要有增生性息肉、炎性息肉、错构瘤性息肉等。02息肉是否会癌变在所有肠癌中,80%~95%以上的肠癌都是由腺瘤性息肉慢慢演变发展而来的...

    上海医师在线信息技术有限公司 版权所有 ©   沪ICP备12005625号-1