软骨瘤

滑膜软骨瘤病!

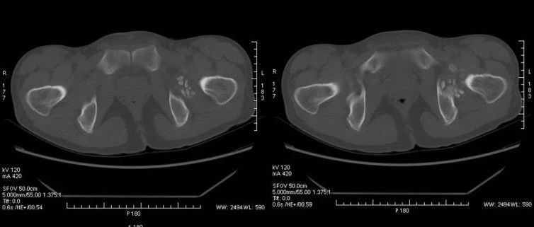
医学影像  yxyx-app  医学影像APP,打造伴随医生快速成长的影像学习社区。与影像园(Xctmr.com)一起提供最全面的影像案例库、基础(解剖、病理、影像诊断)知识、影像技术及考题等,为医生提供最佳的医学影像参考。【所属科室】骨科【基本资料】患者,男,30岁【主诉】左髋部酸胀半年【影像图片】【讨论问题】如何诊断?【医学影像APP用户讨论】评论:左髋关节周围见多发类圆形结节影,边界清,呈环状高密度,中央密度低。考虑滑膜骨软骨瘤病。...

医学影像APP 2023-01-09

唯医精读|儿童髋关节疼痛别忽视---儿童髋关节滑膜软骨瘤病

音频课程2022 · Audio Course文  捷湖南省人民医院儿童骨科点击收听✦学习笔记儿童髋关节疼痛是临床非常常见的症状,导致儿童髋关节疼痛的常见疾病包括髋关节暂时性滑膜炎、化脓性髋关节炎、 Perthes病等,通常结合患儿的病史,疼痛的特点,体征以及X线、B超等辅助检查可以明确诊断。滑膜软骨瘤病是一类关节滑膜自限性增生,形成滑膜内软骨结节和关节游离体的慢性关节疾病,是一种良性病变,可发生于任何滑膜关节,滑膜软骨瘤病多见于...

菁讲:关节肿胀交锁,警惕滑膜软骨瘤病

音频课程2022 · Audio Course陈飞雁复旦大学附属华山医院骨科点击收听✦学习笔记滑膜软骨瘤病(Synovial chondromatosis SC)是种相对罕见的关节滑膜或滑膜囊、腱鞘发生异常增殖的疾病。最早称为Reichel’s综合征,1958年Jaffe将本病命名为“滑膜软骨瘤病”。本病最常发生在膝关节,其次可影响髋关节、肘关节、踝关节、颞下颌关节和肩关节等部位。以滑膜形成软骨结节为特征,可带蒂生长,亦可能脱落到关节腔形成游离体(关节鼠),后期可发生钙化或骨化。...

骨关节炎 (2)鉴别诊断

类风湿性关节炎类风湿性关节炎是一种双侧对称疾病,会导致膝关节均匀软骨损伤和全身性骨质疏松症。尽管膝关节是一个负重关节,但几乎没有证据表明软骨损失导致骨修复或骨赘形成类风湿性关节炎患者的双膝前后位视图 ( A ) 和双膝侧视图 ( B )。都有软骨损失。存在全身性骨质疏松症,几乎没有骨修复的证据。类风湿性关节炎患者膝关节的正位 ( A ) 和侧位 ( ...

这9种成软骨性肿瘤你见过吗?(内附病例X片)

更多精彩内容请下载骨今中外APP阅览

【唐都神外】Neurosurgical Focus Video

屈延主任、衡立君教授团队:经鼻内镜硬膜间垂体移位切除Maffucci综合征患者后床突内生性软骨瘤,手术视频发表于Neurosurgical Focus: Video。

CAP文献学习-骨的软骨性病变(二)

导读骨肿瘤病变大致可以分为成骨性、成软骨性、成纤维性等几种类型,具体诊断需注意临床、影像、病理三结合。本期我们选择美国麻省总医院(Massachusetts General Hospital)病理专家Nielsen在美国病理学家协会(College of American Pathologists,CAP)官方期刊《Archives of Pathology & Laboratory Medicine》杂志就骨成软骨性肿瘤诊断及鉴别诊断撰写的专门综述进行编译,希望有助于各位病理同仁对这类病变的了解和掌握。...

华夏病理网 2020-01-14

男性,右大腿上段肿胀三月,请诊断!

欢迎下载医学影像app查看更多病例!

多发性骨软骨瘤的X线诊断,你掌握了吗?

这些多发性骨疣的X线片,你看对了吗?

医学界影像 2019-11-27

踝关节滑膜软骨瘤病1例

滑膜软骨瘤病又称为滑膜骨软骨瘤病,是一种少见的、良性的发生于关节滑膜组织、关节周围滑囊及腱鞘的软骨增生性病变,多为滑膜的良性增生及化生,并产生多个关节

中华骨与关 2019-11-07

    上海医师在线信息技术有限公司 版权所有 ©   沪ICP备12005625号-1