关节炎

美国AAOS2022肩肘注册年报

每年,美国的肩肘外科根据其病人的注册情况会发布年报该年报有效的总结了当年美国的手术情况可有效帮助医生了解目前趋势以及热点方向让我们一起来看一下吧2022 年度报告代表截至 2022 年 3 月 31 日提交的 2015 年 1 月 1 日至 2021 年 12 月 31 日提交的肩部和肘部手术。在包括医院、私人诊所和门诊手术中心在内的 140 家参与机构中,有 299 名外科医生提交美国 40 个州总共提交了 17,617 份患者报告...

​秋水仙碱,妊娠/哺乳期能用吗?

仅供医学专业人士阅读参考每天学个热搜药 秋水仙碱主要用于治疗痛风性关节炎的急性发作,也可以用于预防复发性痛风性关节炎的急性发作。那么,妊娠期、哺乳期妇女痛风性关节炎急性发作时是否也能使用呢?妊娠期能用吗?▎FDA等级:C尚未对妊娠期妇女使用秋水仙碱胶囊后进行充分且对照良好的研究。在几十年来已发表有关妊娠期使用秋水仙碱的文献中,其可用数据并未确定任何与药物相关的重大出生缺陷、流产或不良母体或胎儿结局的风险。...

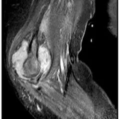
单关节疼痛不属于类风湿?「标准」也有出错的时候……

*仅供医学专业人士阅读参考你在临床上见过这种情况吗?类风湿关节炎是一种以对称性炎症性多发性关节炎为特征的慢性自身免疫性疾病。现有的2010年美国风湿病学会/欧洲抗风湿病联盟(ACR/EULAR)的标准系统不考虑仅限于单个大关节的关节炎。而最近BMJ Case Reports上就报告了一例中年女性经滑膜组织活检证实的肘部单关节类风湿关节炎。“标准之外”的单关节类风湿关节炎,到底有什么特别?一起来看看吧。...

医学界骨科频道 2022-09-15

临床遇到膝关节痛,一文总结最全病因

*仅供医学专业人士阅读参考这7种情况都要考虑!膝关节痛是我们生活中非常常见的一种症状,它会导致我们无法正常行走,严重降低生活质量和工作效率。那么当我们出现膝关节疼痛时,有可能是哪些原因引起的呢?首先,我们来大致了解一下膝关节结构。(1) 膝关节是由胫骨内、外侧髁和股骨内外侧髁及髌骨构成的。(2) 在胫骨、股骨的表面各覆盖着一层关节软骨,股骨髁与胫骨平台之间有两块半月板。(3) 在关节的周围,有一个关节囊附着于与关节面周缘相邻的骨面,关节囊分为外层的纤维层和内面的滑膜层。...

医学界骨科频道 2022-09-08

这种疾病,夏天是最好的治疗时机!

上了岁数,很多人腿脚都不再灵便。一方面可能是因为关节软骨乃至整个关节,在年龄增长、创伤、畸形等因素作用下,出现了退化和结构改变,形成原发性骨性关节炎;另一方面,还可能是因为各种疾病,引起了诸如类风湿关节炎、强直性脊柱炎、网球肘(肱骨外上髁炎)等继发性骨性关节炎。膝关节、髋关节、踝关节、脊柱等持重关节,都是骨性关节炎的“重灾区”,人们患病后,逐渐就会出现关节的红肿、疼痛、功能障碍,且随着年龄增加,会有越来越多的人出现骨性关节炎,其症状也会越来越重...

纽特舒玛的产品又双叒叕登上顶级期刊啦!

2022年5月,美国知名大学UCLA在类风湿方向的顶尖期刊RHEUMATOLOGY上发表了一篇学术论文,题为:Improved outcomes in rheumatoid arthritis with obesity after a weight loss intervention : randomized trial即《减重干预改善类风湿关节炎合并肥胖的预后:一项随机试验》。纽特舒玛是本次研究的蛋白唯一合作品牌,纽特舒玛的乳清蛋白产品作为体重干预工具参与其中。...

纽特舒玛资讯 2022-06-22

踝关节牵张治疗创伤性踝关节炎的研究进展

来源:足踝外科电子杂志作者:大连医科大学附属第二医院手足外科  刘学晖创伤性关节炎(PTA)以与关节损伤有关的关节软骨退化改变为特点。踝关节对关节损伤尤其敏感,更易导致PTA的发生。据报道,创伤性踝关节炎占继发性踝关节炎的65%~80%。终末期的踝关节炎常表现为持续的负重疼痛甚至自发性疼痛,功能受限或丧失,伴或不伴畸形,对患者的生活及工作影响巨大,在生命质量测评上,终末期踝关节炎毁灭性的后遗症堪比髋关节炎、充血性心力衰竭和终末期肾病。传统的治疗终末期踝关节炎的可靠方法是踝关节固定术,如胫距关节融合术、全踝关节融合术等,但会对邻近关节造成负面影响,导致邻近关节的关节炎,在融合术后畸形愈合的病例中更为明显。为保留关节活动度和避免邻近关节关节炎的发生,医者们开始应用全踝关节成形术(TAA)拯救终末期踝关节炎。然而,两种方法远期效果都不能令人满意。...

关节镜学会 2022-06-14

踝关节牵张治疗创伤性踝关节炎的研究进展

来源:足踝外科电子杂志作者:大连医科大学附属第二医院手足外科  刘学晖创伤性关节炎(PTA)以与关节损伤有关的关节软骨退化改变为特点。踝关节对关节损伤尤其敏感,更易导致PTA的发生。据报道,创伤性踝关节炎占继发性踝关节炎的65%~80%。终末期的踝关节炎常表现为持续的负重疼痛甚至自发性疼痛,功能受限或丧失,伴或不伴畸形,对患者的生活及工作影响巨大,在生命质量测评上,终末期踝关节炎毁灭性的后遗症堪比髋关节炎、充血性心力衰竭和终末期肾病。传统的治疗终末期踝关节炎的可靠方法是踝关节固定术,如胫距关节融合术、全踝关节融合术等,但会对邻近关节造成负面影响,导致邻近关节的关节炎,在融合术后畸形愈合的病例中更为明显。为保留关节活动度和避免邻近关节关节炎的发生,医者们开始应用全踝关节成形术(TAA)拯救终末期踝关节炎。然而,两种方法远期效果都不能令人满意。...

关节镜学会 2022-06-14

踝关节牵张治疗创伤性踝关节炎的研究进展

来源:足踝外科电子杂志作者:大连医科大学附属第二医院手足外科  刘学晖创伤性关节炎(PTA)以与关节损伤有关的关节软骨退化改变为特点。踝关节对关节损伤尤其敏感,更易导致PTA的发生。据报道,创伤性踝关节炎占继发性踝关节炎的65%~80%。终末期的踝关节炎常表现为持续的负重疼痛甚至自发性疼痛,功能受限或丧失,伴或不伴畸形,对患者的生活及工作影响巨大,在生命质量测评上,终末期踝关节炎毁灭性的后遗症堪比髋关节炎、充血性心力衰竭和终末期肾病。传统的治疗终末期踝关节炎的可靠方法是踝关节固定术,如胫距关节融合术、全踝关节融合术等,但会对邻近关节造成负面影响,导致邻近关节的关节炎,在融合术后畸形愈合的病例中更为明显。为保留关节活动度和避免邻近关节关节炎的发生,医者们开始应用全踝关节成形术(TAA)拯救终末期踝关节炎。然而,两种方法远期效果都不能令人满意。...

关节镜学会 2022-06-14

踝关节牵张治疗创伤性踝关节炎的研究进展

来源:足踝外科电子杂志作者:大连医科大学附属第二医院手足外科  刘学晖创伤性关节炎(PTA)以与关节损伤有关的关节软骨退化改变为特点。踝关节对关节损伤尤其敏感,更易导致PTA的发生。据报道,创伤性踝关节炎占继发性踝关节炎的65%~80%。终末期的踝关节炎常表现为持续的负重疼痛甚至自发性疼痛,功能受限或丧失,伴或不伴畸形,对患者的生活及工作影响巨大,在生命质量测评上,终末期踝关节炎毁灭性的后遗症堪比髋关节炎、充血性心力衰竭和终末期肾病。传统的治疗终末期踝关节炎的可靠方法是踝关节固定术,如胫距关节融合术、全踝关节融合术等,但会对邻近关节造成负面影响,导致邻近关节的关节炎,在融合术后畸形愈合的病例中更为明显。为保留关节活动度和避免邻近关节关节炎的发生,医者们开始应用全踝关节成形术(TAA)拯救终末期踝关节炎。然而,两种方法远期效果都不能令人满意。...

关节镜学会 2022-06-14

    上海医师在线信息技术有限公司 版权所有 ©   沪ICP备12005625号-1