关节镜

3月24日北京第66期关节镜零基础手术操作学习班通知

北京“第66期关节镜零基础手术操作学习班”要开班了,参加学习者将颁发结业证书。现将有关事项通知如下:   前65期已参加学员对学习班的评价:学员甲:收获很大、没有白来!学员乙:学完回去我就敢手术操作了!我们对往期学员的回访跟踪,有部分学员在半年内已经可以完成基础手术了,大大缩短了关节镜手术入门的时间。一、课程内容介绍1、老师讲解示范膝关节镜手术操作要点、技巧、常见技术难点的解决方法,讲解示范关节镜手术的操作步骤、方法和原理。...

2月24日北京第65期关节镜零基础手术操作学习班通知

本文未经授权禁止转载北京“第65期关节镜零基础手术操作学习班”要开班了,参加学习者将颁发结业证书。现将有关事项通知如下:前64期已参加学员对学习班的评价:学员甲:收获很大、没有白来!学员乙:学完回去我就敢手术操作了!我们对往期学员的回访跟踪,有部分学员在半年内已经可以完成基础手术了,大大缩短了关节镜手术入门的时间。01 课程内容介绍1、老师讲解示范膝关节镜手术操作要点、技巧、常见技术难点的解决方法,讲解示范关节镜手术的操作步骤、方法和原理。...

【手术技巧】肩峰成形、锁骨远端切除和肩袖后部修补术(二)

MEDICOOL . 医库// 6 影像学和其他诊断性检查 // ●标准的影像学检查至少包括臂外旋和内旋时的肩关节前后位、腋窝位、肩峰出口位,可以观察到肩峰的类型(图1A)、肩锁关节的变化、肩峰肱骨头间隙变窄(图1B),并可以排除其他的病变。●其他的术前检查还有MRI超声和关节造影。●超声检查需要专门培训人员配合,且对操作者的技术要求较高,故未能广泛应用。●关节造影曾是诊断的金标准,但如今只在极少数情况下才会使用(例如在MRI无法进行的情况下)。关节造影可以显示肩袖撕裂的全层(图1C),但需在透视和摄片的同时往关节内注射造影剂。...

关节镜你了解多少?

       微创外科是二十一世纪外科发展的主导,是生物医学领域产生历史性变革的重要事件之一。在国内外科领域,微创技术已成为各学科发展的前沿和导向性技术,有效推动学科发展。  一、关节镜外科应该是一个学科领域的内涵  关节镜微创外科手术操作切口的小型化,组织损伤的微创化,其目的是治疗效果的明显改善,并因此提出对关节损伤治疗的目的由组织修复愈合发展至关节功能的恢复。治疗目的的改变,不是一项手术技术的改进所能实现的。...

关节镜学会 2022-12-27

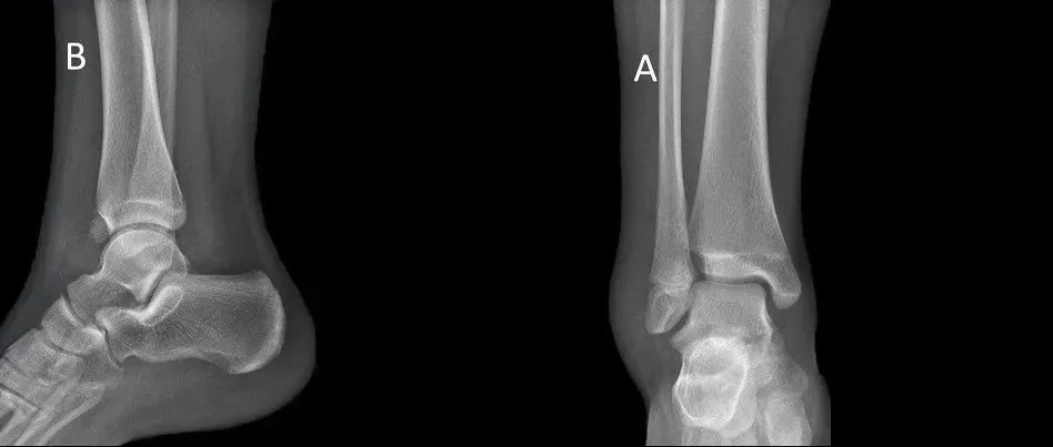
Tillaux 骨折:小骨折大陷阱!

Tillaux 骨折是累及胫骨远端骨骺的关节内骨折,约占所有胫骨远端骨骺损伤的 2.9%。单靠 X 片容易漏诊,一旦误诊或漏诊导致踝关节不匹配、不稳定,患者会遗留疼痛甚至发展为创伤性关节炎。Tillaux 骨折。箭头所指为下胫腓前韧带。图源:DOI: 10.1302/2058-5241.6.200042.损伤机制Tillaux 骨折常为旋后外旋损伤所致,是下胫腓前韧带附着骨块的骨折,骨折线涉及冠状面、矢状面、横断面。Tillaux 骨折常发生于胫骨远端骨骺闭合前的 18 个月,此时正处于过渡阶段(胫骨远端骨骺部分闭合,部分未闭合)。...

丁香园骨科时间 2022-09-16

你知道痛风石有这4种手术治疗方法么?

本文未经允许禁止转载痛风是单钠尿酸盐沉积在组织所致的疾病,与嘌呤代谢紊乱导致的高尿酸血症密切相关。单钠尿酸盐可发生体外结晶从而引起周围组织反复的慢性类肉芽肿反应,最终形成由单钠尿酸盐晶体、炎症细胞以及纤维组织构成的慢性痛风石 。不同解剖位置的痛风石会出现不同的临床症状,位于关节肌腱处的痛风石可导致不可逆的肌腱、关节损伤和骨质破坏,位于周围神经处可出现卡压症状。痛风最重要的治疗是降低血尿酸水平,手术应该是痛风治疗的最后选择,但也有仍一部分难治性痛风患者血尿酸水平控制不佳、发作频繁,为改善这部分患者的生活质量可考虑手术治疗。...

膝关节里面长「红毛」,我们只能一直「切」吗?

色素沉着绒毛结节性滑膜炎(PVNS)最常见于膝关节,以滑膜增生、黄褐色绒毛结节突出及含铁血黄素沉着为特点,具有炎症和肿瘤双重特征。分型PVNS 有局限型和弥漫型两种类型,具有局部侵袭性,临床表现主要为关节疼痛、肿胀和活动受限。局限型 PVNS 表现为单个或多个带蒂肿物,有包膜,边界清楚;弥漫型 PVNS 则为全关节滑膜受累,无包膜,呈浸润性生长。MRI 表现PVNS 的 MRI 表现以受累关节的滑膜组织增生和含铁颗粒性代谢物沉着为特征,...

丁香园骨科时间 2022-04-28

【临床论著】关节镜联合切开松解术治疗创伤后肘关节重度及极重度僵硬

点击标题下「蓝色微信名」可快速关注文章来源: 中华骨科杂志, 2022,42(4) : 236-243作者:杨金松 向明 张清 代飞摘要  目的探讨关节镜联合切开松解术治疗创伤后肘关节重度及极重度僵硬的效果。方法回顾性分析2016年1月至2019年9月采用关节镜联合切开松解术治疗32例创伤后肘关节重度及极重度僵硬患者资料,男13例、女19例;年龄(38.5±15.6)岁(范围17~66岁);肱骨远端骨折术后12例、桡骨头骨折术后8例、肘关节恐怖三联征术后8例、肘关节经鹰嘴骨折前脱位术后2例、孟氏骨折术后1例、鹰嘴骨折术后1例。分别记录并比较患者术前、术后6个月及末次随访时肘关节屈伸和旋转活动度(range of motion, ROM)、Mayo肘关节功能评分(Mayo elbow performance score,MEPS)及视觉模拟评分(visual analogue scale,VAS)评估创伤后肘关节重度及极重度僵硬手术治疗的临床疗效。...

中华骨科杂志 2022-04-06

史上最干干货:三角韧带损伤镜下治疗看这篇文章就够了!

不说废话,直接上图 !!!图源:DOI:10.1016/j.fcl.2014.10.001图源:DOI:10.1016/j.fcl.2014.10.001患者平卧于手术台,调整体位(牵引 or 非牵引),大腿根部使用充气止血带。图源:DOI:10.1177/1071100720931095图源:DOI:10.1177/1071100720931095标记重要解剖结构,创建关节镜入路。图源:DOI:10.1016/j.fcl.2014.10.001...

丁香园骨科时间 2022-04-03

清晰多图:第一掌骨基底部骨折,手术指导

本文未经授权禁止转载直播年会员原价588,现仅388!仅剩最后4天,长按识别加入直播年会员!第一掌骨基部骨折占所有手部骨折的4%,占第一掌骨骨折的80%,常伴大多角骨骨折。其中,关节内骨折包括Bennett和Rolando骨折,以及其他更粉碎的基底部骨折。关节内骨折是不稳定的,通常需要手术治疗。Bennett骨折占所有拇指掌骨骨折的30%,发生率是Rolando骨折的4倍。关节外骨折发生在干骺端交界处,通常被称为基底上骨折。...

    上海医师在线信息技术有限公司 版权所有 ©   沪ICP备12005625号-1