根据病因不同,消化不良可以分为器质性消化不良和功能性消化不良。器质性消化不良指的是由肝胆疾病、肿瘤、糖尿病等疾病造成人体解剖学、生物化学的异常,从而引起的消化不良。而临床中更常见的是功能性消化不良,也就是排除器质性疾病,在胃镜等检查下也没有发现异常,但却出现了消化不良的症状。比如餐后饱胀、嗳气、反酸烧心、食量下降、上腹部间歇隐痛等,有时吃了辛辣刺激的食物后,还可能出现大便次数增多、稀便的情况。目前认为功能性消化不良与饮食刺激、脏器高敏感、幽门螺旋杆菌感染、精神心理因素紧密相关,且由于没有特效药物,服药只能缓解症状,所以更需要加强日常注意。...
审稿专家:刘连成北京市肛肠医院肛肠科副主任医师参考文献[1]王庭槐.生理学.[M].北京:人民卫生出版社.2018-8.[2]CHU H,ZHONG L,LI H,et al. Epidemiology characteristics of constipation for general population,pediatric population,and elderly population in china [J]. Gastroenterol Res Pract,2014,2014: 532734. DOI: 10. 1155 /2014 /532734....
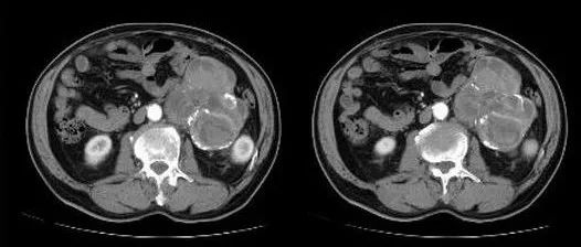
医学影像 yxyx-app 医学影像APP,打造伴随医生快速成长的影像学习社区。与影像园(Xctmr.com)一起提供最全面的影像案例库、基础(解剖、病理、影像诊断)知识、影像技术及考题等,为医生提供最佳的医学影像参考。【所属科室】普外科【基本资料】患者,男,61岁【主诉】腹部外伤一天【影像图片】【讨论问题】如何诊断?【医学影像APP用户讨论】评论:左肾前方巨大肿块,边缘不规则,可见分叶,内部密度欠均匀,有结节状、线状、环形钙化及囊性密度减低区,病灶与胰腺体部关系较密切,左侧肾静脉显示不清,左肾腹部肠管受推压向前移位,左肾受压改变。增强扫描病变可见不均匀异常对比强化。诊断:1.神经源性肿瘤,副节瘤可能大;2. 无功能嗜铬细胞瘤。...