手术治疗

跟骨骨折常见并发症——外侧撞击综合症

今日导读跟骨骨折作为足部骨折中最常见的一种骨折类型,具有发生率较高、具有一定的性别分布特点(男性多于女性)、并且年龄分布以中青年为主,因此会带来深远的社会经济影响。而大多数跟骨骨折为关节内骨折,因此手术治疗成了大多数跟骨骨折的必要手段,但是跟骨骨折术后带来的并发症较多,其中一项即是跟骨的外侧撞击综合症。跟骨骨折术后外侧撞击的原因如果要明确跟骨骨折术后外侧撞击综合症形成的原因,对于跟骨外侧的解剖结构,跟骨骨折的形成机制、以及手术入路、内固定装置都必须要有一个全面的了解。...

丁香园骨科时间 2023-03-06

图文详解:股骨转子间骨折手术技巧!

本文未经授权禁止转载股骨转子间骨折多发生于老年人,国外文献报道,65岁以上老年人髋部骨折保守治疗,只有50%能恢复独立生活,恢复到伤前功能水平的仅25%,而手术治疗者80%以上的患肢功能恢复满意。因此国内外多数学者倾向于手术治疗,认为股骨转子间骨折患者只要身体条件许可就应积极治疗并发症,尽可能采用手术治疗。本文将介绍提升技术的一些手术技巧,与一例使用Gamma3 长钉内固定失败的病例分享,旨在与各位老师共同提升。...

过半肝癌患者获根治机会!《柳叶刀》子刊:“先缩后除”方案惊艳登场!

肝细胞癌是全球第六大最常见癌症,也是癌症相关死亡的第三大原因。肝肿瘤切除是根治肝细胞癌的主要方法,对于不能手术切除的肝细胞癌,科学家们一直在探索通过其他治疗手段使肝肿瘤缩小,从而有助于患者获得手术切除机会(即“降期切除”)的方法。近日,《柳叶刀》(THE LANCET)子刊The Lancet Gastroenterology & Hepatology发表来自香港大学李嘉诚医学院陈智仁教授团队...

【病例分享】王新法主治医师:儿童颅咽管瘤的手术治疗

今天为大家分享的是,由南京医科大学附属儿童医院王新法带来的儿童颅咽管瘤的手术治疗,欢迎阅读、分享!临床资料1.自2019-07至2022-11,颅咽管瘤手术36例,男22例,女14例,年龄2岁3月-14岁,中位年龄5岁8月。2.根据QST分型:Q18例,S8例,T10例。3.经额底前纵裂入路:30例,其中切开终板10例,双额开颅4例经胼胝体入路:3例经翼点入路:2例左额底入路:1例目前复发1例(随访时间超1年者24例)...

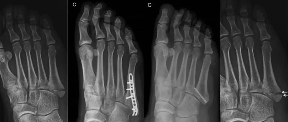
关于「第五跖骨基底部骨折」你都掌握了吗?

第五跖骨基底部骨折治疗不当可导致骨折不愈合或延迟愈合,严重者可出现关节炎,对人们日常生活和工作产生巨大影响。解剖结构第五跖骨是足外侧柱重要组成结构,对于足部负重及维持稳定性上起到重要作用,第四、五跖骨与骰骨构成了跖骰关节。第五跖骨基底部有三条肌腱附着,腓骨短肌腱止于第五跖骨基底部粗隆背外侧;第 3 腓骨肌不如腓骨短肌腱强壮,止于第五跖骨粗隆远侧的骨干;跖腱膜外侧束止于第五跖骨基底粗隆的跖外侧。骨折分型...

丁香园骨科时间 2023-02-14

AHA最新科学声明:外科手术治疗可让更多肺栓塞患者获益

肺栓塞(PE)是通向肺部的血液出现堵塞,是美国导致心血管疾病死亡的第三大病因,约45%的PE患者可发展到重症;血栓的存在引发肺部高压,进而损害到右心室,死亡风险激增。即使遵循现有指南给予系统治疗,在某些患者群中死亡率仍居高不下。对于PE重症患者的治疗包括抗凝或溶栓,更积极的治疗还有机械循环支持下的肺动脉取栓手术。外科手术治疗通常作为其他治疗无效下的最后选择,但在2023年1月23日于美国胸外科医师协会第59届圣地亚哥年会上公布的一项美国心脏协会(AHA)最新科学声明——《手术治疗与机械循环支持在高危肺栓塞患者的使用》...

很有挑战的距骨坏死,治疗和预后看这篇!

             距骨骨坏死的治疗是一个具有挑战性的临床难题。大约75%的距骨骨坏死病例是继发于创伤性损伤的。90%以上的创伤相关骨坏死病例是由距骨颈骨折引起的。根据霍金斯分型,等级越高的距骨颈骨折发生距骨坏死的概率越高,非外伤性距骨坏死约占所有距骨坏死的25%,通常继发于影响血流的系统性疾病。目前对于距骨坏死的治疗方式主要包括保守治疗和手术治疗,手术治疗主要分为保留关节的术式以及关节融合术,目前对于最佳的距骨坏死治疗方案仍存在一定的争议。...

丁香园骨科时间 2023-01-13

【手术技术创新】三博脊柱开辟颈2椎体关节面下螺钉置钉技术和经验总结在国际期刊发表

近日,首都医科大学三博脑科医院脊髓脊柱外科中心主任范涛教授团队开辟“颈2椎体关节面下螺钉应用于颅頸交界区畸形手术的经验总结”在国际期刊《Journal of orthopedic Surgery and Research》(IF 2.68)上在线发表。该置钉方法结合C1-2关节间松解复位技术,再联合使用三博脊柱原创的滑轨牵引头架,可使更多复杂颅颈交界区畸形寰枢椎脱位手术进一步路径清晰、便捷高效与安全可靠。...

肺癌脊柱转移手术患者的生存预后分析

 Edited by Spine Truth Editorial Team脊柱甘露语林®学术•疾病与健康科普•助学•公益行之2605天,第1580篇编译:张军 副主任医师   审校 总编辑:王海强 教授肺癌(lung cancer)具有侵袭性高、预后差的特点,是癌症导致死亡的主要原因之一。全球每年约有160万新发病例和140万死亡病例。骨是晚期肺癌最常见的转移部位之一,其中以脊柱转移最为常见,约30%-36%的肺癌患者发生脊柱转移。Karolinska等[1]研究表明,有骨转移和无骨转移的1年生存率分别为5%和37%。...

脊柱甘露语林 2022-11-05

《JBJS》:早期卧床休息对胸腰椎压缩性骨折患者是否有益?

尽管有研究报道影像学结果可预测骨质疏松性椎体骨折(OVF)患者对保守治疗的耐受性,但目前还没有标准化的保守治疗方案。2022年,日本Tsukuba Spine Group分析了和在磁共振成像(MRI)中预后不佳的OVF患者卧床休息对预后的影响,研究结果发表于《JBJS》杂志。该研究于2018年12月至2020年12月期间前瞻性地纳入224名OVF患者。一家医院的108名患者在保守治疗的前2周内进行严格的住院卧床休息,来自另一家医院的116名患者在住院期间没有卧床,医生根据他们的疼痛耐受性指导其尽早进行步行康复。...

    上海医师在线信息技术有限公司 版权所有 ©   沪ICP备12005625号-1