标准

FDA 推进具有里程碑意义的政策变革,以实现乳房 X 光检查服务的现代化并提高其质量

根据美国国家癌症研究所 (NCI) 的数据,大约 12.4% 的女性会在一生中的某个时候被诊断出患有乳腺癌。NCI 估计,2018 年有超过 260,000 名女性被诊断出患有乳腺癌,超过40,920 名女性死于该病。除皮肤癌外,乳腺癌是女性中最常见的癌症,也是导致死亡的第二大原因。

被吹捧成减肥明星的生酮饮食或在心血管届面临“塌方”|ACC 2023

*仅供医学专业人士阅读参考近年来,大口吃肉的生酮饮食被认为是促进减重的秘籍。但ACC会上的一个报道让生酮饮食的潜在危害再次被讨论…… 撰文 | 大月亮2023年3月4日至3月6日,一年一度的美国心脏病学会(ACC)年会暨世界心脏病学大会(WCC)在美国新奥尔良举行。作为心血管领域的顶流会议,今年的ACC同样带来了很多精彩讲题,引导心血管研究潮流。想要观看ACC更多精彩内容?扫描下方二维码或...

医学界心血 2023-03-07

结直肠癌新辅助治疗的现状和未来

点上方蓝字“ioncology”关注我们,然后点右上角“…”菜单,选择“设为星标”编者按新辅助治疗越来越多地用于早期结直肠癌。目前正在进行的多项临床试验正在研究新辅助治疗最佳治疗持续时间、药物选择以及对结直肠癌治疗结果的影响。来自柏林夏里特医学院血液学、肿瘤学和癌症免疫学系主任Sebastian Stintzing医生在下文中对结直肠癌新辅助治疗的现状和未来进行了精彩的阐述。Sebastian Stintzing医生...

精彩回顾丨【肿瘤·世界谈】第三期——日本胃癌指南解读及留日学习生活感悟

肿瘤·世界谈癌症是全球范围内主要的公共卫生问题,联合国已将减少癌症负担作为一项长期发展目标。近年来,随着新型癌症药物的研发及研究的推进,部分癌症无论是生存时间还是生活质量都获得了极大地改善。尽管如此,肿瘤治疗领域仍存在许多亟待解决的问题。基于国内外专家对科学认识的一致性,加强国内外交流或将为肿瘤治疗提供新思路。【ONCO前沿】全新打造「肿瘤·世界谈」国际医者连线栏目,「肿瘤·世界谈」第三期于2023年2月25日成功举办。会议特邀...

执业药师分5个等级!你属于哪一级呢?

来源:搜药按技术分级标准将药师分为5级,药店执业药师新的等级划分标准出来了,快来看看你属于哪一级别的药师!药店执业药师共分5级近日,广东省药监局发布了《广东省社区药店药学服务体系建设指南》(以下简称《指南》),值得关注的是,该《指南》中对药店执业药师进行了资质与技术分级,按照对应的标准将药店执业药师划分为一级药师、二级药师、三级药师、四级药师、五级药师,共5级(如下图)。从以上5个等级的划分标准可知,通过执业药师资格考试是等级划分最基本的入门条件,级别越高,表示药师的药事服务能力越强。...

医考之家 2023-02-28

对话胡国庆29期丨关于《医院消毒卫生标准》的92条问答

2021年年初至今,SIFIC感染视界精心策划,再辟专家专栏《对话胡国庆》,特邀深受大家熟悉和喜爱的感控大咖,浙江省疾病预防控制中心主任医师胡国庆教授客座SIFIC平台,为广大会员们传经送宝,答疑解惑!本期内容,胡国庆教授带领大家温故而知新,一起重新学习GB 15982-2012《医院消毒卫生标准》的内容,对大家实际执行过程中最常见的困惑、难点进行了提炼并逐一解答。1、什么是消毒产品?纳入国家卫生行政部门《消毒产品分类目录》,用于医院消毒的消毒剂、消毒器械和卫生用品。目前医院普遍使用的消毒湿巾未列入《消毒产品分类目录》,但新冠防控相关文件已要求医院选择消毒湿巾进行环境物体表面的擦拭消毒。...

少切点肺吧!最新研究发现:少切点肺叶组织,不影响患者的生存期

近三十多年来,肺叶切除一直是早期肺癌(本文代指:小于2厘米的IA期肺癌)的标准手术方法,但如果肺叶组织切除多了,患者的生活质量也会受到影响。1995年,一项很有影响力的临床研究给出了一个结论:对于早期肺癌患者,肺叶切除疗效更好,如果是亚肺叶切除,那么复发率高出了3倍,死亡率高出了50%。这一研究确立了早期肺癌手术标准:肺叶切除。这么多年过去了,新的临床数据里有没有什么变化呢?早期肺癌还是一定得切除肺叶吗?...

肿瘤患者营养学诊疗要注意什么?这篇指南告诉你答案。|中国肿瘤营养治疗指南2020(一)

肿瘤营养治疗通常包括营养诊断(营养筛查、营养评估、综合评价三级诊断)、营养治疗、疗效评价(包括随访)3个阶段。本文对前2个阶段进行了整理。内容包括诊断工具;针对营养不良、肌肉减少、恶液质的诊断标准;综合评定;蛋白质、能量等几种关键营养的治疗标准;和患者饮食运动需注意的点。肿瘤营养学有异于一般意义的营养学,因为荷瘤机体的应激状态和肿瘤组织的不断增殖带来了晚期及终末期患者明显的异常代谢状态,而且进行营养治疗对肿瘤细胞没有直接杀灭作用。所以需要有一定的针对性。...

肿瘤医学论坛 2023-02-21

医院要求退还夜班费,值班劳动被认定「违规津贴」?

本文作者:吞吞近年来,夜班费好像从部分医院里悄悄消失了。丁香园论坛最近的一项投票显示,参与调查的用户中有 12% 的人表示自己没有夜班费。而 3 年前,当时没有补助的比例仅 9.8%。丁香园论坛的投票还拿着夜班费的医生们也抱着隐隐的担忧,「虽然现在还发着,但谁知道会不会发着发着就没了呢?」这种想法并不是空穴来风。北方某三甲医院医生医生洪岸(化名)透露,100 元的夜班费早在 3 年前就不发了,「就我们取消了,我其他同学的医院到现在都还在发」。一些基层医生也表示,...

丁香园普外时间 2023-02-17

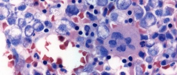
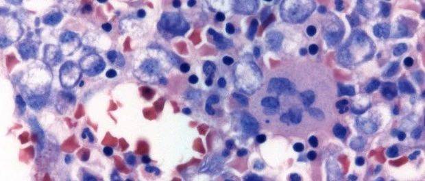
浆细胞肿瘤和相关实体——诊断和分类的演变(二)

原作者:Fend F, Dogan A, Cook JR.浆细胞肿瘤浆细胞肿瘤来源于终末分化的B细胞,不含B细胞成分的浆细胞构成主要的增殖细胞群,这使它们有别于淋巴浆细胞淋巴瘤等许多可显示不同程度向浆细胞成熟的成熟B细胞淋巴瘤。根据临床表现,浆细胞肿瘤可分为三组疾病:(1) 多发性骨髓瘤 (MM)(以前称为浆细胞骨髓瘤 ),为最常见的疾病,以弥漫性骨髓浸润和各种器官损害表现为特征;(2)局限性浆细胞瘤,即骨孤立性浆细胞瘤...

血液病整合诊断 2023-02-18

    上海医师在线信息技术有限公司 版权所有 ©   沪ICP备12005625号-1