瘢痕

好文分享|读文献,学病理-乳腺病理陷阱简介(二)

导 读在上一篇中,我们介绍了在乳腺病理诊断中的一些陷阱,(1)可能会过诊断为恶性的病种——乳头腺瘤、乳头汗管瘤样肿瘤;了解陷阱,才能避免误入以及由此带来的漏诊、过诊或误诊。为帮助大家更好的了解相关知识点并指导临床实践,我们今天继续介绍可能会过诊断为恶性的病种。一、可能会过诊断为恶性的病种1.腺性、硬化性及乳头状病变(3)放射状瘢痕/复杂硬化性病变放射状瘢痕/复杂硬化性病变罕见出现症状,最常见是乳腺X线筛查中查见。由于呈星型结构,因此影像学上可能会类似浸润性癌,但有报道称中央存在透光区强烈提示放射状瘢痕。按照乳腺影像学报告及数据方案(...

华夏病理网 2023-02-24

放射状角膜切开术后继发圆锥角膜1例

前苏联眼科医师Fyodorov等于1974首次将放射状角膜切开术(radial  keratotomy,RK)应用于临床治疗屈光不正至今已40余年,当年行RK术后患者远期并发症逐渐显现,继发性圆锥角膜为角膜生物力学发生显著变化所致,随着时间推移,这类患者数量还会增加。穿透性角膜移植易出现植床放射状裂开,而后弹力层前深板层角膜移植术(predescemetic  deep  anteri or lamellar keratoplasty,pdDALK)可以减轻植床张力。现将我科运用pdDALK治疗RK术后继发圆锥角膜1例,报告如下。...

医信眼科 2023-02-08

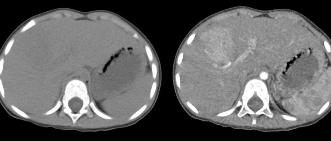
局灶性结节增生!

医学影像  yxyx-app  医学影像APP,打造伴随医生快速成长的影像学习社区。与影像园(Xctmr.com)一起提供最全面的影像案例库、基础(解剖、病理、影像诊断)知识、影像技术及考题等,为医生提供最佳的医学影像参考。【所属科室】普外科【基本资料】患者,女,31岁,【主诉】体检发现肝占位1天【影像图片】【讨论问题】如何诊断?【医学影像APP用户讨论】评论:...

医学影像APP 2023-02-01

甲状腺术后瘢痕增生是否困恼你?

瘢痕增生不仅给患者带来自卑感,同时让我们甲状腺外科医生缝合信心受挫。目前甲状腺疾病发生率偏高,很多患者行甲状腺外科手术,手术方式有传统开刀、甲状腺腔镜手术和消融治疗等,其中腔镜和消融治疗不会在颈部留下伤口,相对美容效果更佳,但由于手术适应性及技术难度等原因,开放手术目前仍占据更大比例,而传统开放手术术后常形成瘢痕或瘢痕增生,由于切口位于外露部位,严重影响美观,给患者带来痛苦,所以门诊经常有患者因瘢痕苦恼而就诊,寻求治疗方案;瘢痕增生不仅给患者带来自卑感,同时让我们甲状腺外科医生缝合信心受挫。而瘢痕及增生是如何产生的?我们又如何处理呢?...

医护多外科学霸 2023-01-12

【射频消融理论与实践】非缺血性心肌病室速导管消融治疗进展

点击蓝字关注我们循心电踪迹,探心脏奥秘!作       者:蒋伟,郑强荪作者单位:西安交通大学第二附属医院心内科作者简介:蒋伟,副主任医师,主要从事快速性心律失常的导管消融治疗与研究。通信作者:郑强荪,E-mail:  zhengqs@mail.xjtu.edu.cn基金项目:陕西省自然科学基金资助项目(2021JM-291)摘 要非缺血性心肌病室速的治疗在临床上面临挑战,而其导管消融治疗的相关临床数据较为有限。本文从导管消融治疗非缺血性心肌病室速的临床效果、标测方法、未来展望三个方面对其进展进行综述。...

实用心电学杂志 2022-12-29

癫痫持续状态大鼠海马周细胞活化及胶质瘢痕形成的实验研究

丁丹蕊  雷洁  冉蕗希   王华中国医科大学附属盛京医院小儿神经内科国际儿科学杂志, 2022,49(7) : 488-492,F3.《国际儿科学杂志》创刊于1974年,由国家卫生健康委员会主管,是中华医学会系列杂志。摘要目的探讨癫痫持续状态(status epilepticus,SE)后血管周围反应性周细胞活化,以及周细胞活化与星形胶质细胞增殖和功能的关系。...

国际儿科学杂志 2022-09-13

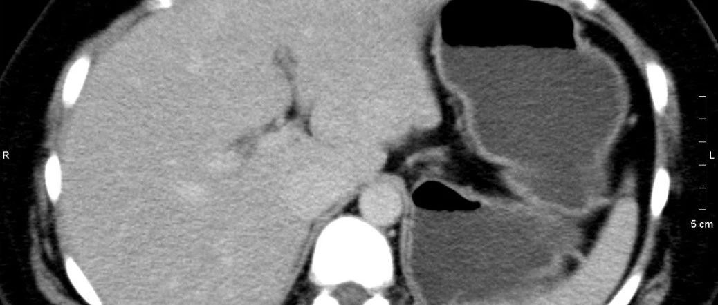
青年女性,体检发现肝脏占位,请诊断!

医学影像  yxyx-app  医学影像APP,打造伴随医生快速成长的影像学习社区。与影像园(Xctmr.com)一起提供最全面的影像案例库、基础(解剖、病理、影像诊断)知识、影像技术及考题等,为医生提供最佳的医学影像参考。【所属科室】普外科【基本资料】患者,女,26岁【主诉】体检发现肝脏占位【影像图片】【讨论问题】如何诊断?【医学影像APP用户讨论】评论:肝右后叶肿块影,呈长T1、长T2信号,境界清楚,中央见放射状疤痕影,增强扫描肿块明显强化,疤痕延迟强化,考虑局灶性结节增生。...

医学影像APP 2022-08-17

瘢痕的手法治疗

皮肤是一个动态变化器官,不仅能对外界环境做出反应,而且能不断进行自我更新。但皮肤受伤后的再生能力是有限的,一旦超过一定限度便会形成影响功能和美观的瘢痕。针对瘢痕的手法治疗有反射效应,由于传入外周神经的刺激,肌肉会松弛,疼痛会减轻和提升整体的舒适感;手法处理有机械效应,改善静脉回流,淋巴引流和肌纤维之间的运动。越来越多的临床证明,瘢痕的手法处理,不仅可以改善疼痛、瘙痒和瘢痕的柔韧性,还可以缓解患者的焦虑情绪。...

康复你知道 2022-08-07

患儿肝内占位病变,请诊断!

医学影像  yxyx-app  医学影像APP,打造伴随医生快速成长的影像学习社区。与影像园(Xctmr.com)一起提供最全面的影像案例库、基础(解剖、病理、影像诊断)知识、影像技术及考题等,为医生提供最佳的医学影像参考。【所属科室】儿科【基本资料】患者,女,3岁【主诉】查体发现肝内占位病变【影像图片】【讨论问题】如何诊断?【医学影像APP用户讨论】评论:肝内富血供病灶,延迟强化,边缘较清晰,考虑良性病变可能性大,1.血管瘤;2.FNH...

医学影像APP 2022-07-29

3岁男孩好奇摸了一下它,结果进了手术室!很多人家里都有,家长务必注意...

来源:杭州日报、宁波晚报、甬上客户端随着大家健康意识和健身热情日益提高,不少人都在家里添置了跑步机。对于大人来说,跑步机无疑为大家的锻炼也提供了方便,但对于活泼好动的小孩来说,却可能带来一定危险。就在前段时间,宁波一位3岁男孩就因为不慎碰到了跑步机履带,不得不动手术治疗。3岁男孩不慎把手放到履带上最后不得不动手术治疗男孩小树(化名)今年3岁。近日,小树妈妈无意间注意到,儿子的右手食指伸不直了。门诊中,在宁波市第六医院整形与修复重建外科医生周丹亚的询问下,小树妈妈回忆起将近两个月前,...

    上海医师在线信息技术有限公司 版权所有 ©   沪ICP备12005625号-1