纤维瘤 ( fibroma )

好文分享|读文献,学病理-乳腺病理陷阱简介(五)

导读在前4篇文章中,我们为大家介绍了可能会过诊断为恶性的病种。今天继续为大家介绍可能会误判为良性的恶性病变。二、可能会误判为良性的恶性病变有些乳腺恶性病变可能会貌似良性表现,从而导致误判为良性、增生或局灶浸润性病种。某些浸润性肿瘤也可因其惰性生物学行为而更适合归为原位性病变。1.梭形细胞型导管原位癌形态呈梭形细胞的导管原位癌罕见,可能会误判为普通型导管增生,尤其是仅为这一表现而不伴经典型导管原位癌时。这一类型的导管原位癌完全或主要由梭形细胞构成,排列呈束状、轮辐状、实性片状;束状排列的梭形细胞可能会类似普通型导管增生的“流水样”。细胞呈实性生长、但并无细胞间裂隙、周围无筛孔状表现,有助于明确诊断。细胞为形态均一的低至中级别核非典型。与其他类型的导管原位癌一样,病变细胞不表达高分子量的CK5/6及CK14。大部分病例为ER阳性,且有神经内分泌分化。...

华夏病理网 2023-03-01

中年男性,左侧颈部包块两月余,请诊断!

医学影像  yxyx-app  医学影像APP,打造伴随医生快速成长的影像学习社区。与影像园(Xctmr.com)一起提供最全面的影像案例库、基础(解剖、病理、影像诊断)知识、影像技术及考题等,为医生提供最佳的医学影像参考。【所属科室】普外科【基本资料】患者,男,40岁【主诉】左侧颈部包块两月余【影像图片】【讨论问题】如何诊断?【医学影像APP用户讨论】评论:...

医学影像APP 2022-08-29

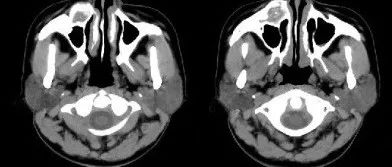
中年女性,右侧面部包块3年,请诊断!

医学影像  yxyx-app  医学影像APP,打造伴随医生快速成长的影像学习社区。与影像园(Xctmr.com)一起提供最全面的影像案例库、基础(解剖、病理、影像诊断)知识、影像技术及考题等,为医生提供最佳的医学影像参考。【所属科室】普外科【基本资料】患者,女,35岁【主诉】右侧面部包块3年【影像图片】【讨论问题】如何诊断?【医学影像APP用户讨论】评论:右侧上颌骨骨皮质显著变薄,呈膨胀性,病灶中心可见钙化,无骨膜反应及软组织肿胀。考虑右侧上颌骨良性病变,骨化性纤维瘤可能。...

医学影像APP 2022-08-15

老年女性,右上腹胀痛不适半年余,请诊断!

医学影像  yxyx-app  医学影像APP,打造伴随医生快速成长的影像学习社区。与影像园(Xctmr.com)一起提供最全面的影像案例库、基础(解剖、病理、影像诊断)知识、影像技术及考题等,为医生提供最佳的医学影像参考。【所属科室】消化科【基本资料】患者,女,75岁【主诉】右上腹胀痛不适半年余【影像图片】【讨论问题】如何诊断?【医学影像APP用户讨论】评论:...

医学影像APP 2022-07-04

一眼诊断先天性胫骨假关节

先天性胫骨假关节(congenital pseudarthrosis of tibia, CPT)是一种由发育异常导致的胫骨疾病,主要表现为胫骨中下 1/3 部位不能愈合的假性关节。CPT 的发病率约为 1/250000 ~ 1/140000,临床上比较罕见,而且治疗困难,手术治疗预后往往不佳,甚至有截肢的风险。CPT 的病因和发病机制尚不完全清楚。主要有:①宫内压迫学说;②血供障碍学说;③神经纤维瘤学说。...

丁香园骨科时间 2022-04-24

速递 | 增强BCMA双特异性抗体疗效,再生元达成临床试验合作

▎药明康德内容团队编辑日前,SpringWorks Therapeutics公司宣布,已与再生元(Regeneron)达成一项临床试验合作协议。将评估SpringWorks的口服特异性γ-分泌酶小分子抑制剂nirogacestat,与再生元靶向B细胞成熟抗原(BCMA)和CD3的双特异性抗体REGN5458联用,治疗复发/难治性多发性骨髓瘤(R/R MM)患者的疗效。多发性骨髓是第二常见的血液系统恶性肿瘤,全球每年有超过13万例新确诊患者。尽管有可用的治疗方法,多发性骨髓仍然是一种无法治愈的恶性肿瘤,并且与显著的患者负担相关。复发性多发性骨髓是指治疗后或缓解期后癌症复发。难治性多发性骨髓是指癌症对治疗无反应或不再有反应。...

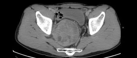
男性,肛门周围坠胀8天,请诊断!

医学影像  yxyx-app  医学影像APP,打造伴随医生快速成长的影像学习社区。与影像园(Xctmr.com)一起提供最全面的影像案例库、基础(解剖、病理、影像诊断)知识、影像技术及考题等,为医生提供最佳的医学影像参考。【所属科室】普外科【基本资料】患者,男,49岁【主诉】肛门周围坠胀8天【现病史】患者8天前自觉肛门周围坠胀,伴大便较前明显变细,色黄,当地医院提示盆腔包块,6天前自觉坠胀加重。直肠指捡:肛门右侧触及一质软包块。...

医学影像APP 2021-12-17

性早熟儿童皮肤上出现「雀斑」,小心是这个病!

以下内容仅限医疗卫生专业人士学术交流使用如为非医疗卫生专业人士请主动退出浏览与阅读,否则由此产生的相关风险与后果应自行承担皮肤有牛奶咖啡斑的性早熟,常见病因包括 1 型神经纤维瘤(Neurofibromatosis.type1,NF-1)与 McCune‐Albright 综合征(MAS)。此两种疾病的临床表现极易混淆,但治疗方案迥异,需引起临床医师的高度重视。性早熟患者,除了明显提早的第二性征发育之外,若皮肤散在牛奶咖啡斑和雀斑,同时黄体生成素(LH)、卵泡刺激素(FSH)水平也升高,提示NF-1的诊断,应核磁检查,除外视神经胶质细胞瘤的可能。并进一步的相关基因检测,这将有助于 NF-1 和 MAS 的诊断和鉴别诊断。...

31岁女性,洗澡时无意中发现乳房肿块,隔壁病友说:要命还是要乳房,自己掂量着

来源:听李医生说今天病例是个女性患者,31岁,姓马。她的经历,能对很多女性有帮助。大家一定要耐心看到最后。9个月前,马女士在洗澡期间无意间发现自己左侧乳房有个小肿块。摸着不痛,但是能明显感觉到是有东西的。经常看医学科普的马女士,心里多少有点数,这可能是个乳腺纤维瘤,或者乳腺增生。也没多在意。后来把这事告诉了丈夫,丈夫是个谨慎的人,当天就帮马女士请了假,并且联系了熟人,帮忙找了个靠谱的医生,然后直奔医院。...

医疗圈那点事 2021-12-05

不要谈癌色变-几种低度恶性潜能乳腺癌学习(二)

不要谈癌色变-几种低度恶性潜能乳腺癌学习(一)纤维瘤病样化生性癌纤维瘤病样化生性癌也是一种极为罕见的化生性癌类型,临床一般见于50岁以上女性。文献中报道的病例几乎均为单发、大体可触及的肿物,但随着影像学技术的应用增多,不可触及的病例检出也越来越多。大体表现方面,纤维瘤病样化生性癌为质实、灰白色,一般2-3cm;境界可以清楚,也可不规则。极为罕见情况下,可有囊性表现,但不会有包膜。图4. 一例32mm纤维瘤病样化生性癌的大切片扫描所见,与周围组织之间分界不规则,呈放射状浸润。...

华夏病理网 2021-08-26

    上海医师在线信息技术有限公司 版权所有 ©   沪ICP备12005625号-1