肉瘤 ( sarcomas )
别名: 肉瘤

分子时代学病理-免疫组化尚可一战

随着研究的不断深入,病理诊断一定程度上已进入分子时代,具体如目前很多肿瘤类型都是通过分子特征进行定义的。当然,这其中也出现了很多按照既往观点属于不同类型肿瘤、但却具有相同分子特征的肿瘤类型。胶质瘤相关癌基因1(glioma-associated oncogene 1,GLI1)相关肿瘤就是这样一个例子。目前已知与GLI1相关的肿瘤类型有:伴t(7;12)的周皮细胞瘤(pericytoma),胃母细胞瘤,丛状纤维黏液瘤,以及新兴的一类伴GLI1重排或扩增的间质肿瘤,如巢状球样肿瘤(nested glomoid neoplasm)。该组肿瘤诊断中,所应用的免疫组化指标不一;仅就其中的GLI1免疫组化来说,能否区分出巢状球样肿瘤、伴t(7;12)的周皮细胞瘤和其他类似病变,目前还不清楚。...

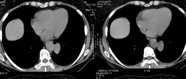
中年女性,间断咳嗽1月余,请诊断!

医学影像  yxyx-app  医学影像APP,打造伴随医生快速成长的影像学习社区。与影像园(Xctmr.com)一起提供最全面的影像案例库、基础(解剖、病理、影像诊断)知识、影像技术及考题等,为医生提供最佳的医学影像参考。【所属科室】呼吸科【基本资料】患者,女,58岁【主诉】间断咳嗽1月余【影像图片】【讨论问题】如何诊断?【医学影像APP用户讨论】评论:左肺下叶后基底段见类椭圆形软组织肿块影,边界清,未见明显分叶及毛刺,内密度欠均匀,可见点状高密度钙化灶。邻近左肺下叶后基底段支气管管腔通畅,病变与内侧胸主动脉间脂肪间隙存在。增强扫描,病变动脉期呈轻度强化,延迟扫描,病变呈渐进性强化,其密度与邻近腹主动脉密度接近。左侧胸腔内未见积液征。左肺下叶良性病变,硬化性血管瘤可能性大。...

医学影像APP 2022-09-28

【收藏】最全癌症药物全景图

癌症的治疗,从传统的手术、化疗、放疗三驾马车,到目前靶向治疗、免疫治疗,让癌症患者生存期的计量单位从“月”提升到“年”,创造了患者彻底治愈长期生存的可能性。这可能是目前最详尽的一版癌症药物治疗表。1.肺癌靶向药1.1非小细胞肺癌1.2小细胞肺癌2.结直肠癌3.乳腺癌4.胃、食管癌5.软组织肉瘤5.1胃肠道间质瘤5.2硬纤维瘤5.3色素沉着绒毛结节性滑膜炎/腱鞘巨细胞瘤5.4 血管肉瘤5.5孤立性纤维瘤/血管外皮细胞瘤...

肿瘤?癌症?傻傻分不清?

肿瘤和癌症是一种疾病吗?日常生活中,我们经常会听到哪里长了肿瘤,或者某某得了癌症,大部分人可能会认为肿瘤和癌症是一种疾病,只不过说法不同,也有人认为二者是完全不同的,那么从科学的角度来说,肿瘤和癌症到底有没有区别呢?01并非所有肿瘤都是癌症人体在各种致瘤因素的作用下长出的新生物便是肿瘤,直白点说——原来没有,后来新长出来的。就好比在不良环境刺激下长出的异类分子,是一种非正常的物质。但肿瘤只是个宽泛的...

肿瘤医谈 2022-06-29

「没注意阴道分泌物的这个状况,我差点失去了子宫……」

跟大家分享一个真实的案例,虽然不是妖塔亲身经历,但我觉得值得拿出来跟大家一起分享和讨论。她是一个91年出生的女性,已婚,因为年龄也不小了,就和爱人商量着把生育的计划提上日程。体检的时候发现子宫的一侧有一个肿物,B超考虑是子宫肌瘤,因为有生育的计划,于是当地医院就给她安排了微创手术。术后恢复得都很好,结果在夫妻俩去医院取术后病理的时候,医生却建议她拿着病理切片去更高级别医院的病理科会诊一下。最终会诊的结果是「子宫肉瘤」。...

第十一诊室 2022-06-29

Nat Med :TLS 或可作为帕博利珠单抗治疗软组织肉瘤的生物标志物

Nat Med 丨帕博利珠单抗治疗具有三级淋巴结构的软组织肉瘤:2 期 PEMBROSARC 试验队列关键词:软组织肉瘤;帕博利珠单抗;三级淋巴结构免疫检查点抑制剂(ICI)在晚期软组织肉瘤(STS)患者中的临床活性有限。回顾性分析表明,肿瘤内三级淋巴结构(TLS)与这些患者的预后改善有关。PEMBROSARC 是帕博利珠单抗联合低剂量环磷酰胺治疗晚期 STS 患者的多队列 2 期研究(NCT02406781)...

丁香园肿瘤时间 2022-06-03

青年女性,胸痛半天,请诊断!

医学影像  yxyx-app  医学影像APP,打造伴随医生快速成长的影像学习社区。与影像园(Xctmr.com)一起提供最全面的影像案例库、基础(解剖、病理、影像诊断)知识、影像技术及考题等,为医生提供最佳的医学影像参考。【所属科室】呼吸科【基本资料】患者,女,26岁【主诉】胸痛半天【影像图片】【讨论问题】如何诊断?【医学影像APP用户讨论】评论:左肺上叶占位,肿块基底部位于后纵隔内,增强后不均匀强化,左肺上叶支气管受压狭窄、伴肺不张,考虑神经鞘瘤可能。...

医学影像APP 2022-06-02

【病例分享】右颞叶胶质肉瘤伴鳞状上皮分化一例(神经病理系列十五)---浙二神外周刊(第353期)

“浙二神外周刊”每周病例回顾,提出最优化的临床治疗分析和随访指导意见。专业讨论意见仅代表浙二神经外科团队观点,如有不同见解,欢迎同道斧正!每期讨论病例资料及整理均为“浙二神外周刊”原创,“浙二神经外科”授权官方合作新媒体《神外资讯》发布,其他网络媒体转载,请务必注明出处!提示“浙二神外周刊”不定期接收外院投稿,审核后发表。欢迎各专业同道联系我们,分享精彩病例、研究热点或前沿资讯。投稿请联系:shishi74@163.com...

浙二神外周刊 2022-05-23

以例学病-肺圆细胞肉瘤之辨(二)

点击上方“蓝字”,关注华夏病理网往期精选点击进入以例学病-肺圆细胞肉瘤之辨(一)病例小结肺部原发恶性肿瘤中,癌占大多数,肉瘤仅为小部分。肺原发肉瘤的明确诊断,具有重要临床意义,其中的小圆细胞肿瘤由于形态学具有显著重叠,免疫表型可能也并无特异性,因此准确诊断更是难度颇大。实际工作中,应注意结合组织学表现、必要的辅助检查来争取得出准确结果。患者的临床特征对于肉瘤的鉴别诊断也有帮助:肉瘤多发生于年轻人;肺癌近...

华夏病理网 2022-05-07

多中心Castleman病的前世今生(一)

点击上方“蓝字”,关注更多精彩导读:术业有专攻,尤其医学的专科,可能很多问题不是普通字面意义那么简单。比如,“多中心Castleman病”,并非仅仅是文字意义上的“多个病灶”。美国国立卫生研究院血液病理专家Zhou Ting等人在《Pathologica》杂志发表综述,对多中心Castleman病进行了详尽介绍。为帮助大家更好的了解相关知识并指导临床实践,我们将该文要点编译介绍如下。多中心...

华夏病理网 2022-04-24

    上海医师在线信息技术有限公司 版权所有 ©   沪ICP备12005625号-1