胸腺瘤 ( thymoma )
别名: 胸腺瘤

NCCN丨胸腺瘤和胸腺癌临床实践指南2022.1版

公众号对话框输入“胸腺2022V1”,获取中文PDF· 胸腺瘤和胸腺癌的治疗经验丰富的胸科医生应仔细评估患者的手术切除情况。局部晚期(不可切除)和可切除的≥II期病例应由一个多学科小组进行讨论和评估。· 如果根据临床和放射学特征强烈怀疑可切除的胸腺瘤,则应避免手术活检,因为当肿瘤包膜被侵犯时,肿瘤种植的可能性很大。· 对可能的胸腺瘤进行活组织检查应避免经胸膜途径,因为胸膜腔内扩散的肿瘤有将I期胸腺瘤转化为IV期胸腺瘤的巨大风险。...

青年女性,干咳伴胸痛半月,请诊断!

医学影像  yxyx-app  医学影像APP,打造伴随医生快速成长的影像学习社区。与影像园(Xctmr.com)一起提供最全面的影像案例库、基础(解剖、病理、影像诊断)知识、影像技术及考题等,为医生提供最佳的医学影像参考。【所属科室】呼吸科【基本资料】患者,女,20岁【主诉】干咳伴胸痛半月【影像图片】【讨论问题】如何诊断?【医学影像APP用户讨论】评论:左前纵隔见一囊样包块影,内见结节状、条片状脂性密度影,局部囊壁见壁结节影,增强见囊壁及壁结节明显均匀强化;上纵隔脂肪间隙密度增高,但与包块分界尚清,增强后内未见明显强化;肺动脉主干及左侧肺动脉见受压推移,未见充盈缺损影。前纵隔占位,考虑畸胎瘤。...

发热伴肝脾淋巴结肿大,病因很少见!

病例介绍患者,女,51 岁,因 「 左耳疼痛流脓伴全身浮肿 5 天 」 于 2020-11-12 入院。患者入院前 5 天出现左耳疼痛、流脓,无发热,至当地医院就诊,查血常规+CRP:WBC 1.5*109/L,L 45.8%,N 47.3%,CRP 24.2 mg/L;行耳镜检查,诊断为 「 急性化脓性中耳炎 」。住院期间出现全身浮肿,查生化:ALB 19.7 g/L;腹部彩超:1. 肝实质回声致密、增强,2. 腹腔积液,盆腔积液;胸片:心肺未见明显异常,右膈面抬高;当地医院予抗感染治疗后耳部症状好转,但浮肿进行性加重,双侧腹股沟触及包块,遂至我院就诊。...

女性,间断胸闷憋气半年,请诊断!

欢迎大家下载医学影像app,查看更多经典病例!

医学影像APP 2021-06-18

这个咳嗽的病因,90% 医生都想不到

偶然发现前纵隔肿块,怎么办?

专家述评:重症肌无力诊治进展

重症肌无力是一种神经肌肉接头传递障碍疾病,以骨骼肌无力、晨轻暮重、症状有波动为主要临床特点,主要由乙酰胆碱受体抗体等自身抗体介导、细胞免疫辅助、补体参与的自身免疫性疾病。现就近年来有关MG的新进展做一介绍。

神经病学俱乐部 2020-06-29

神经指南:美国神经病学学会关于重症肌无力胸腺切除术的更新指南

既往研究发现,重症肌无力患者胸腺切除术后症状缓解,提示MG患者可从该治疗方法中获益。2016年,新英格兰医学杂志发表了MG患者胸腺切除术随机试验的结果。因此,AAN在现有证据基础上对2000年的指南作出更新。

神经病学俱乐部 2020-06-16

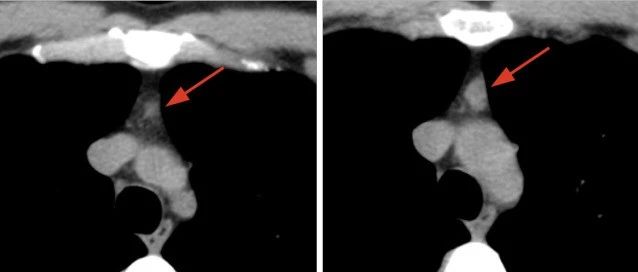
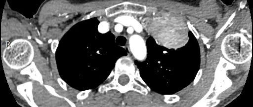
胸腺瘤的影像学现状

胸腺上皮性肿瘤是指来源于胸腺上皮组织的恶性肿瘤,占全部恶性肿瘤0.2%~1.5%,是前纵隔最常见原发性肿瘤,包括胸腺瘤,胸腺癌和胸腺神经内分泌肿瘤,异位胸腺瘤可发生在颈部、中纵隔、后纵隔、肺和胸膜,少数文献报道了巨大胸腔内肿瘤,但仅占全部胸腺瘤的4%。

实用医学影 2019-09-23

从一则病例学习胸腺癌

患者,女,58岁,接种流感疫苗后出现咳嗽、乏力和轻度发热就诊。进行短期抗生素治疗后,这些症状仍持续。

病例 77 胸腺瘤

下期感想谈17预告-重视常规发展,加强形态学规范和管理的探讨。

血液病整合诊断 2019-06-06

    上海医师在线信息技术有限公司 版权所有 ©   沪ICP备12005625号-1