重症医学科病房中急性脑炎的处置 江西省抚州市第一人民医院 李乐译重症行者翻译组回顾的目的近年来,诊断的自身免疫性脑炎(AE)患者数量急剧增加,感染性脑炎(IE)的多种新病因出现。然而,这些患者在管理上仍然具有挑战性,许多患者需要在ICU进行护理。于此,我们描述了在急性脑炎的诊断和管理方面的最新进展。最近的发现在临床表现、神经成像生物标志物和脑电图模式的识别方面取得的进展,使脑炎的诊断更加快速。目前正在评估更新的方法,如脑膜炎/脑炎多重PCR面板、宏基因组下一代测序和基于噬菌体展示的分析,以努力提高对自身抗体和病原体的检测。AE治疗的具体进展包括建立一个系统的一线治疗方法和开发新的二线治疗方式。免疫调节的作用及其在IE中的应用正在积极的研究中。在ICU中,特别关注癫痫持续状态、脑水肿和自主神经功能异常可能会改善预后。...
仅供医学专业人士阅读参考疫情发生三年来,病毒的传染性、致病力等方面均发生了重大变化。虽然现在流行的奥密克戎变异株致病力下降,但它依然对一些人的大脑病理造成了影响,诱发病毒性脑炎等疾病,即便较为罕见,也还是引发了一种新的焦虑:“新冠脑炎”会成为下一轮感染潮中的主要症状吗?近日,新冠病毒侵袭神经系统,引起患者脑损伤,甚至脑炎的问题持续受到关注。据“深圳大学总医院”微信公众号消息,该院神经内科一周内接收了数十个脑炎患者,最小的只有20多岁。这些患者中,有新冠侵犯颅内感染的脑炎,也有新冠诱发的自身免疫性脑炎,症状严重的患者甚至做了气管切开、上了呼吸机。...
保定市第一中心医院神经重症科 刘嫚 译 李炜 校对重症行者翻译组研究目的神经重症治疗后存活下来的患者中,只要有脑膜炎和脑炎表现,就代表了会出现严重的神经系统后遗症,包括脑病、相关的严重神经综合征、癫痫发作、局灶性缺陷等。由此我们更新了成人重症脑膜炎和脑炎患者的危重症管理措施。最新成果通过在成人中施行的大型多中心研究,提高了对重症脑膜炎和脑炎患者的流行病学分析及预后判断新的认识。早期多模态的诊断性检查(包括脑脊液分析、脑MRI、脑电图和血清学检查)对于患者诊断和预后是必要的。新的诊断方法,包括多重PCR和二代基因测序检测技术,可以做感染的快速病原学特异性诊断,能针对性指导抗菌药物治疗。自身免疫性脑炎需要尽快免疫治疗,在重症监护病房也越来越被认识。虽然观察数据表明,早期联合免疫治疗与改善自身免疫性脑炎患者的神经功能预后有关,但随机临床对照试验尚未完成。...
来源:听李医生说我不情愿跟大家分享这个病例,因为他会勾起痛苦的回忆。但又不能不拿出来跟大家分享,希望这样的悲剧能竭力避免。能救一个算一个。4年前,我一个高中同学突然给我电话,当时已经是晚上9点多了。我们许久没有联系,他突然给我电话,我有预感,不是好事。班长,有个事情求你帮忙。他语气颇紧张,证实了我的想法。你说你说,我听着呢。我放下手头上的活,身体坐得笔直。我们俩其实不算太熟,但毕竟是老同学,这时候给我电话,肯定是遇到了困难。很可能是家里人出事了,可能是什么重大疾病。高中同学中没几人是从事医疗行业的,我是不多的几个之一。加上我以前时班长,人缘还可以,所以同学们有事情都喜欢找我帮忙,能帮的我都尽量帮。...
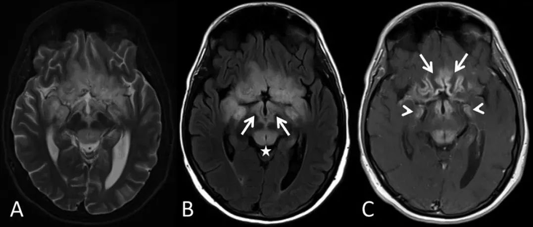
19岁男性,表现为逐渐加重的疲劳、白天过度嗜睡和头痛2月。患者被注意到有意识模糊、定向障碍和幻觉。查体时患者神志清,能够遵嘱完成简单的任务。但无法流利说话或回答问题,并表现出不受约束的行为(disinhibited behavior)。由于患者的脑病表现,行神经影像学检查,结果显示下丘脑、额叶下内侧、扣带回、颞叶内侧和中脑背侧对称性T2WI和液体衰减反转恢复序列(FLAIR)高信号(图1)。(图1:中脑喙侧水平的轴位MRI可见[A]额叶下内侧T2高信号;[B]下丘脑、乳头体[箭]、背侧中脑和导水管周围灰质[*]FLAIR高信号;[C]颞叶内侧[箭头]和额叶下内侧[箭]T1增强后强化;侧脑室水平的轴位MRI可见[D]扣带回T2高信号;[E]胼胝体膝部膝FLAIR高信号[箭];[F]扣带回T1增强后强化[箭])...