脱发

“阳康”后,身体出现的这些症状,恢复有个时间表!

很多人“阳康”后,身体还会有一些症状持续存在,但这些大多是新冠感染疾病发展的过程和规律,会有一个恢复期,不必太过紧张。咳嗽:多在2周内减轻北京协和医院呼吸与危重症医学科副主任徐凯峰教授2022年12月在医院公众号刊文表示,新冠病毒感染后的咳嗽平均持续2周左右,有些患者可长达4周。建议:1、一般的轻度咳嗽可以不用治疗。2、若痰多或痰不易咳出,可服用乙酰半胱氨酸、盐酸氨溴索、桉柠蒎胶囊、羧甲司坦等祛痰药。如咳嗽以干咳为主,可以服用右美沙芬、复方甲氧那明胶囊、抗组胺药等。...

第一批“阳”的人,已经出现了12种“后遗症”,有3种比较严重,要重视

没阳之前,我们每天提心吊胆,生怕自己一觉醒来就阳了,毕竟网络上流传的那些“刀片嗓”“水泥鼻”实在太痛苦了。阳了后,我们还是惶恐不已,担心后遗症的出现。网络上有很多讲述阳了后遗症的文章,有些文章说得很吓人,有些文章则是轻描淡写,觉得对身体没什么太大的影响,孰是孰非,常人很难分辨。目前第一轮的疫情高峰感染阶段已经过去,国内超过85%的人早就已经阳了。不同的人表现不同,有的人阳了之后一点不舒服都没有,也有的人核酸都转阴了,还是有各种各样的不适,今天和大家说说阳了的12种后遗症,其中有3种比较严重,要重视。...

医学原创故事会 2023-01-19

人到中年,如何拯救发际线?

英年早秃,是当代中青年的烦恼源泉之一。产生脱发的因素主要有遗传、饮食营养、作息、内分泌代谢、精神压力、外力(染烫、拉扯)、药物影响等,今天我们重点来谈谈如何从调节营养饮食方面来拯救发际线。减少精制糖类食物精制糖摄入过多会刺激皮脂腺分泌大量的油脂,加重掉发问题,甚至导致脂溢性脱发。这跟皮肤长痘的原理很相似。保卫发际线的第一步:减少食用精制糖、各种甜食和含糖饮料。主食以全谷物、薯类、杂豆类代替一部分精制米面做主食,例如糙米、红豆、红薯、玉米等,以改善皮脂分泌旺盛的情况。...

中国好营养 2022-11-29

【科普营养】23种「脱发」的原因,全在这里!

作者:素无尘University of California San Diego 癌症中心博士后。营养师、食品安全师Washington University in St Louis公共卫生专业研究生、医学博士预科。Louisiana State University Health Sciences Center 公共卫生专业博士,并是Delta Omega Doctoral Award ,美国公共卫生毕业生最高荣誉之一。《中国临床营养网》签约营养师...

临床营养网 2022-08-05

哪些内分泌疾病会导致脱发?

‍‍垂体功能减退全垂体功能减退症、西蒙病和席汉综合征等疾病,垂体功能衰竭,生长激素、黄体生成素、促甲状腺激素、ACTH 缺乏,早期表现为体毛和腋毛减少、胡须稀疏,女性阴毛全部脱失,有时男性阴毛也脱失;头发细而干枯,眉毛外 1/3 脱失。在不全性垂体功能减退中,毛发改变与原发性受累器官的临床表现一致。垂体性侏儒症中,性征毛发脱失,补充生长激素及睾酮可恢复。甲状腺功能异常甲状腺功能减退可伴有可逆性脱发,其特征是在休止期毛发暗淡、易断,毛囊百分比增加。...

丁香园内分 2022-07-26

吃生姜要不要去皮?原来还分这几种情况……

来源:我是大医生官微生姜作为一种调味品,是家庭必备的,但也有不少人还把它当成养生食材。俗话说,“冬吃萝卜夏吃姜,不劳医生开药方”——生姜有祛湿散寒、开胃止呕、止胃寒、促消化的作用;它含有姜辣素等物质,可以帮助提升口腔和胃的杀菌和消化能力;含有姜酮和姜烯酮,对于晕车所导致的恶心、呕吐有缓解效果……生姜虽好,可总有一些问题困扰我们:吃生姜该不该去皮?什么时候吃姜好?配什么一起吃?吃姜该注意些什么?今天可可就为大家解答这些疑惑。...

医考之家 2022-06-02

点击此处,带你了解植发全过程~

····关于植发还有疑问?点击左下角『阅读原文』查看更多内容 参考资料:医学微视官网 - 杨顶权 主任医师《脱发植发》制图:医学微视平面团队,版权归医学微视所有欢迎大家转发分享点击下方关注我们,了解更多医学知识

医学微视 2022-05-19

天天吃黑芝麻丸,掉头发反而更厉害了!

注:点击上方收录话题中的蓝色字体,可查看更多内容。“ 调补身体,要选对思路。”中医认为,头发之枯荣,与肝肾两脏的精血有着非常密切的关系。精血充足,头发自然茂密黑亮有光泽。精血不足,就容易出现白发、脱发掉发等问题。所以,想要活力焕“发”的朋友,平时可以多吃些滋补肝肾的食物,对头发是很有好处的。“平民补品”黑芝麻因具有补肝肾,滋五脏,益精血,润肠燥等作用,常用于头晕眼花、耳鸣耳聋、须发早白、病后脱发、肠燥便秘。...

邱医生说 2022-05-09

产后脱发?做好以下几点和头秃说拜拜~

仅供医学专业人士阅读参考实用!每个女人,都以为自己可以永远做偶像剧里的小仙女,可是等做了妈妈才发现,这是世界上最真实的恐怖片。如果你非要问最大的变化是什么?那我必须老实承认:会变老!近处细看,产后的妈妈们不仅掉了头发、有了皱纹,还胖了一圈。远处一瞥,莫名的沧桑感扑面而来,仿佛整个人都垮了下来。图片源自网络即便拥有钞能力如女明星,若是产后脱发、发胖,也会被媒体拿来公开处刑。比如乘风破浪的伊能静一直是冻龄女神的代表,但自从生下二胎小米粒,她就出现了严重的产后脱发。...

医学界妇产 2022-03-12

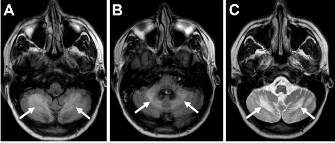
影像挑战:青年男性,进行性共济失调(结果公布)

27岁男性,表现为进行性共济失调2年。家族史无殊。查体提示共济失调和脱发。脑MRI可见小脑白质受累(图)。(图:A-B:FLAIR可见除桥脑小脑萎缩之外,对称的小脑白质和小脑中脚高信号;C-D:T2WI可见双侧小脑白质信号改变;E:T1WI可见小脑白质低信号;F:FLAIR未见幕上异常信号)诊治经过血清皮质醇水平低,表明肾上腺功能不全。外显子组测序显示ABCD1基因存在纯合突变 (c.268del p.Glu90Argfs*13),证实为X连锁肾上腺脑白质营养不良(X-ALD)。...

神经病学俱乐部 2021-12-19

    上海医师在线信息技术有限公司 版权所有 ©   沪ICP备12005625号-1