血管瘤 ( hemangioma ofthe lid )

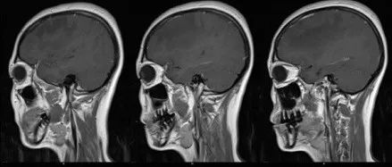
中年女性,间歇性头晕头痛2年,请诊断!

医学影像  yxyx-app  医学影像APP,打造伴随医生快速成长的影像学习社区。与影像园(Xctmr.com)一起提供最全面的影像案例库、基础(解剖、病理、影像诊断)知识、影像技术及考题等,为医生提供最佳的医学影像参考。【所属科室】神经外科【基本资料】患者,女,43岁【主诉】间歇性头晕、头痛2年,视物模糊半年,加重半月。【现病史】患者2年前无明显诱因出现头晕、头痛,为双额颞部阵发性胀痛,程度较轻,可自行缓解,伴有恶心,无呕吐,自服止痛药处理,未规律诊治,半年前无明显诱因出现视物模糊,晨起时明显,持续约15秒后自行缓解,半月前上述症状加重,转移视线时亦可出现视物模糊,持续15秒后可缓解,性质同前...

国内独家!婴幼儿血管瘤精准治疗药物即将在中国上市

|观点 PK|在儿科门诊常常会遇到因为婴幼儿存在血管瘤前来咨询的家长。但血管瘤为常见的良性肿瘤,是否有必要在婴幼儿阶段进行治疗存在一定争议。婴幼儿血管瘤(IH)属于儿童常见良性肿瘤,部分血管瘤存在自行消退的趋势,不过重要器官周围生长的血管瘤可能对生命健康有威胁,据统计约 15% 的患儿会出现严重并发症,如气道梗阻、视觉障碍、溃疡、畸形等,因此这类患者需要及时在婴幼儿阶段就诊并干预治疗[1]。另外,外露部位生长的血管瘤对外貌可有损坏性影响,比如自行消退后残留的疤痕、色素改变、毛细血管扩张等都会不同程度地影响美观。所以...

女性,活动后心慌气短十余年,颜面部肿胀两年,请诊断!

医学影像  yxyx-app  医学影像APP,打造伴随医生快速成长的影像学习社区。与影像园(Xctmr.com)一起提供最全面的影像案例库、基础(解剖、病理、影像诊断)知识、影像技术及考题等,为医生提供最佳的医学影像参考。【所属科室】消化科【基本资料】患者,女,54岁。【主诉】活动后心慌气短十余年,颜面部肿胀两年。【影像图片】【讨论问题】如何诊断?【医学影像APP用户讨论】...

医学影像APP 2021-07-27

血管瘤分为4种类型,教你通过症状来分辨!

有些小孩子身上会出现一些小斑点,但是很多家长以为这些只是正常现象,对于孩子来说不痛不痒,就没有太多的在意。其实许多这些小红点都是血管瘤的早期症状。血管瘤的类型是因人而异的,瘤体在不同小孩身上表现出来的外形可能是不一样的。

血管瘤是怎么引起的?大多与这4大因素有关,要小心防范

血管瘤属于一个比较常见的疾病,是在胚胎时期形成的血管畸形,常表现为出生时或出生后的婴儿皮肤上鲜红色的瘤体,一般较小,呈针尖样。早期的血管瘤为良性,无明显症状,后期的瘤体可能会增大,破溃,产生创口。

肝血管瘤——其实没那么恐怖​

如果血管瘤超过5 cm并且伴有症状,就应考虑治疗。

肝血管瘤——其实没那么恐怖

肝血管瘤——其实没那么恐怖

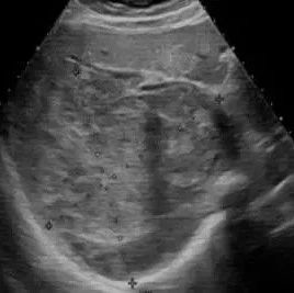
脾脏硬化性血管瘤样结节性转化超声表现1例

患者女,27岁,因体检发现脾门区肿瘤入院。超声检查:脾脏切面形态失常,实质点状强回声分布不均匀,脾门区可见一个大小为5.2 cm×4.3 cm×4.7

临床超声医 2019-11-11

    上海医师在线信息技术有限公司 版权所有 ©   沪ICP备12005625号-1