转移瘤

中年男性,头痛半月伴四肢乏力,请诊断!

医学影像  yxyx-app  医学影像APP,打造伴随医生快速成长的影像学习社区。与影像园(Xctmr.com)一起提供最全面的影像案例库、基础(解剖、病理、影像诊断)知识、影像技术及考题等,为医生提供最佳的医学影像参考。【所属科室】神经外科【基本资料】患者,男,59岁【主诉】头痛半月伴四肢乏力【现病史】患者半月前无明显诱因下出现头痛不适,以右枕部最明显,进行性加重,并出现恶心呕吐,为胃内容物,非喷射性,感四肢乏力,近四天无力行走。...

阑尾粘液腺瘤?粘液腺癌?

患者为55岁男性,4年前在外院行腹腔镜下阑尾切除术,术后病理提示:阑尾粘液性腺瘤。2月前查CT提示右中腹、左下腹局部腹膜增厚,非特异性炎症可能,转移瘤待排。

智能肿瘤 2022-10-21

【中国镇痛周】K-Vision大咖视点访谈 | 樊碧发:关注骨转移瘤患者的疼痛治疗,提高预后生活质量

✦K-Vision大咖视点访谈栏目介绍✦唯医骨科与美敦力脊柱介入团队合作的系列访谈栏目,通过专访脊柱介入领域大咖,谈谈他们对相关手术技术的感受与见解,为更多同行同道分享另一个视角的医生故事。大咖专访10月17日-23日是中国镇痛周,《中国疼痛医学发展报告(2020)》数据显示,我国慢性疼痛患者超过3亿人,且正以每年1000万至2000万的速度增长。疼痛已成为继心脑血管疾病、肿瘤之后第三大健康问题,癌痛更是最为剧烈的慢性疼痛之一。而在骨科领域,乳腺癌、前列腺癌、肾癌等患者是骨转移的高发人群,87%的骨转移瘤发生在遍布神经元的脊柱,因肿瘤的扩散或者可能的对于神经的压迫而造成无法缓解的疼痛。...

【基础与骨病】脊柱转移瘤临床、病理及手术治疗的演变:多中心回顾性研究

点击标题下「蓝色微信名」可快速关注文章来源:中华骨科杂志, 2022,42(8) : 471-481 作者:闫兵山 刘艳成 张宏 杨立 李继凯 于秀淳 张国川 叶招明 王国文 张余 胡永成摘要  目的回顾性分析接受外科干预的脊柱转移瘤患者资料,总结其临床、病理特征及手术方式的演变规律。方法回顾性收集2007年1月至2018年12月703例脊柱转移瘤住院手术患者资料,男395例(56.19%,395/703),女308例(43.81%,308/703);年龄(58.14±11.46)岁(范围13~84岁)。手术类型按照侵袭程度和肿瘤切除彻底性分为:微创手术、减压手术、分离手术、分块切除手术及整块切除手术。其中微创手术89例(12.66%),减压手术96例(13.66%),分离手术303例(43.10%),分块切除手术182例(25.89%),椎体整块切除手术33例(4.69%)。分析随年代的不同脊柱转移瘤患者临床、病理类型及手术治疗的演变规律,采用多因素logistic回归确定影响手术方式决策的相关因素。...

中华骨科杂志 2022-06-08

ASTRO更新脑转移瘤放射治疗指南

点上方蓝字“ioncology”关注我们,然后点右上角“…”菜单,选择“设为星标”在2012年版指南的基础上,美国放射肿瘤学协会(ASTRO)更新了脑转移瘤放射治疗指南,并于近日发表于Practical Radiation Oncology。指南工作组主席、梅奥医学中心的Paul D. Brown在一份声明中指出,自上一版ASTRO脑转移瘤指南发布以来的十多年来,我们对患者疾病的管理方式发生了巨大变化。立体定向放射(SRS)的发展使得单一病灶的脑转移患者可以得到治疗,且在很大程度上保留了周围的大脑。新的技术,海马回避全脑放疗(hippocampal avoidance with whole-brain radiation)可以大大提高脑转移瘤患者的生活质量。...

椎体终板炎|发生机制、分型以及 MRI 表现

概述椎体终板骨软骨炎简称椎体终板炎, 是一种发生于软骨的无菌性炎症, 多由于椎间盘变性引起,好发于颈椎及腰椎,是患者局部疼痛的原因之一,临床易漏诊、误诊。正常解剖椎间盘由纤维环、髓核及透明软骨终板组成,其中软骨终板即椎体的上下软骨面,形成髓核的上下界,与相邻的椎体分开;纤维环是在上下软骨板的周围有一圈同心层排列的纤维组织;髓核是一种富有弹性的半流体的胶状物质,占椎间盘横切面的 50% ~ 60%。软骨终板在椎体上下各有 1 个,其平均厚度为 1 mm。组织学上为薄的透明软骨,它的作用是承受压力,保护椎体,控制椎间盘营养渗透,只要软骨终板保持完整,椎体一般不会因压力而产生骨质吸收现象。...

丁香园骨科时间 2022-04-12

椎体终板炎:发生机制、分型以及 MRI 表现

概述椎体终板骨软骨炎简称椎体终板炎, 是一种发生于软骨的无菌性炎症, 多由于椎间盘变性引起,好发于颈椎及腰椎,是患者局部疼痛的原因之一,临床易漏诊、误诊。正常解剖椎间盘由纤维环、髓核及透明软骨终板组成,其中软骨终板即椎体的上下软骨面,形成髓核的上下界,与相邻的椎体分开;纤维环是在上下软骨板的周围有一圈同心层排列的纤维组织;髓核是一种富有弹性的半流体的胶状物质,占椎间盘横切面的 50%~60%。软骨终板在椎体上下各有 1 个,其平均厚度为 1 mm。组织学上为薄的透明软骨,它的作用是承受压力,保护椎体,控制椎间盘营养渗透,只要软骨终板保持完整,椎体一般不会因压力而产生骨质吸收现象。...

女性,右手运动迟缓、言语不清三天,今早突然出现头疼不适,请诊断!

欢迎大家下载医学影像app,查看更多经典病例!

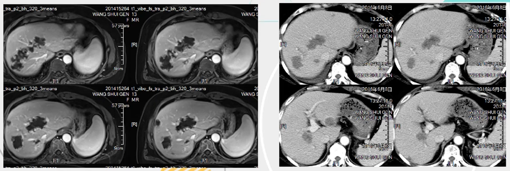
一文读懂结直肠癌肝脏转移的介入治疗

结直肠癌肝脏转移的介入治疗

    上海医师在线信息技术有限公司 版权所有 ©   沪ICP备12005625号-1