转移

晚期肺癌PFS达3年,治疗方案是……

*仅供医学专业人士阅读参考近20年来,靶向治疗给肺癌诊疗带来翻天覆地的变化。晚期肺癌的生存期从几个月,延长到39个月。对于驱动基因阴性的晚期肺癌患者而言,免疫治疗可带来生存获益。复旦大学附属肿瘤医院的于慧教授就分享了一例驱动基因阴性晚期肺癌,经治疗后,无进展生存期达到3年的病例。医学界肿瘤频道特整理治疗过程,以飨读者。一、病例基本资料患者,女,54岁,2018年11月,因腰部酸痛不适加重1月入院就诊。...

医学界肿瘤频道 2023-03-07

免费新药,SY-5007片治疗RET融合或突变基因的晚期实体瘤

● 项目介绍 ● 一项评价RET抑制剂SY-5007片在晚期实体瘤受试者中安全性、耐受性、药代动力学特征和有效性的I期研究药物介绍:SY5007是一款新一代RET抑制剂,在RET阳性实体瘤的治疗中具有良好潜力,包括非小细胞肺癌、甲状腺癌(包括成人与儿童)等。从履历上来说,这是中国第一个进入临床试验的国产RET抑制剂,意义非凡。适应症:晚期实体瘤主要入选标准1. 年龄≥18周岁,男女不限;...

【DCR专区 | 住院医师角】盆腔侧方淋巴结

翻译:张昭 天津市人民医院审校:杜宁超 深圳大学第一附属医院  病例摘要  一名68岁女性因直肠出血、便急感和里急后重就诊。直肠指检发现直肠一个隆起型肿物并浸润括约肌复合体。随后结肠镜检查发现低位直肠肿瘤(距齿状线3 cm),组织病理学为中分化腺癌(pMMR)。随后的MRI证实了是一个距离肛缘5 cm的环周低位直肠肿瘤伴壁外血管侵犯(EMVI)和环周切缘阳性(CRM)。肿瘤与阴道后壁关系密切,侵犯内括约肌复合体。观察到4个直径大于7毫米的直肠系膜淋巴结和几个肿大的右盆腔侧方淋巴结(最大直径17毫米)。没有远处转移的证据。患者接受了长疗程的新辅助放化疗。再分期观察到治疗应答良好,肿瘤部分消退,无阴道受累。所有直肠系膜淋巴结均缩小(~4 mm),所有右侧盆腔侧方淋巴结除了一个外均缩小。没有缩小的盆腔侧方淋巴结(位于闭孔窝)仍保持在10 mm。肿瘤委员会讨论后决定继续进行腹会阴联合切除术和右侧盆腔侧方淋巴结清扫术。最终的组织病理学为中分化腺癌,无直肠系膜淋巴结受累(切除19个淋巴结),7个侧方淋巴结中有1个是转移性腺癌。...

中华胃肠外 2023-03-07

乳腺癌术中快速准确判断能否保腋

  腋窝淋巴结转移是乳腺癌最主要的转移方式,也是判断预后和指导术后辅助治疗方案决策最重要的指标。腋窝淋巴结清扫是评估腋窝淋巴结状态最准确的方法,亦是造成上肢淋巴水肿、疼痛、感觉障碍等并发症的主要原因。随着早期乳腺癌的增多,腋窝淋巴结阴性乳腺癌已占据一半以上,如对所有乳腺癌患者行腋窝淋巴结清扫,将只有少部分患者获益,大部分患者被过度治疗。乳腺癌前哨淋巴结是乳腺癌患者肿瘤细胞经淋巴结转移的首道屏障,历经数十年发展,...

互助 | 治疗期间呕吐不止怎么办?

觅友有难,有办法的觅友快来帮帮他!点击文末“阅读原文”进入互助页面参与讨论 相关文章 用吃搞定四大副作用:升白、补血、血小板、恶心呕吐!化疗引发恶心、呕吐怎么办?这几招能够有效缓解点击阅读原文,参与讨论

乳腺癌互助圈 2023-03-05

【手术技巧】背阔肌转移治疗无法修复的肩袖后上部撕裂(一)

MEDICOOL . 医库// 1 定义 // ●无法修复的肩袖后上部撕裂是指冈上肌和冈下肌腱撕裂,但却无法在手臂置于身体一侧时,将撕裂肌腱修复至肱骨大结节的解剖止点上。●若MRI或CT显示冈上肌或冈下肌肌肉严重萎缩,则可于术前断定该肩袖撕裂为不可修复。●这有助于判断肩袖撕裂是否无法修复、是否可行肌肉转移进行修补,但最终应在手术时判断是否能修复。// 2 解剖 ...

骨学周讯 2023-03-01

癌细胞是如何在身体里乱跑的?—关于癌症的转移

癌症转移了,按咱们老百姓的话说“飞了”,治愈的希望是大大降低了。癌症“是否能发生转移”这是晚期癌症和早期癌症的区别转移是癌症治好后又复发的主要原因之一,也是90%的癌症患者死亡原因在身体内部癌细胞的转移其实是一条相当艰难的跋涉。转移指的是癌细胞从出现的部位(原发病灶)通过血液、淋巴系统或其它途径扩散到身体其它地方并长出新肿瘤。癌细胞是人体细胞中的“灭霸”,转移是它强大的超能力之一,癌细胞的生存能力很强大。...

肿瘤免疫细 2023-03-02

互助 | 内分泌药物会导致孕酮高吗?

觅友有难,有办法的觅友快来帮帮他!点击文末“阅读原文”进入互助页面参与讨论 相关文章 3分钟带你了解,为什么乳腺癌患者要进行内分泌治疗70%的乳腺癌患者最常见的5个妇科问题!点击阅读原文,参与讨论

乳腺癌互助圈 2023-03-03

肿瘤患者线上公益会诊 | 看看患者关切的问题有哪些?

“肿瘤患者线上公益会诊”收到了许多肿瘤患者的咨询我们把一些许多患者关切的热点问题整理出来来看看专业医生们是如何解答的Q1肺腺癌晚期,患者经常咳嗽,痰里还带血,胸口持续的疼,肿瘤有9cm大,试过很多药了,效果不好,想问医生还能活多长时间?A肺腺癌肿块比较大,这时候放化疗效果不是很理想。配合中医治疗还有希望延长生命,通过中医辩证系统治疗,让患者心态放好积极配合治疗,还是有希望能够改善生活质量,延长生命周期。...

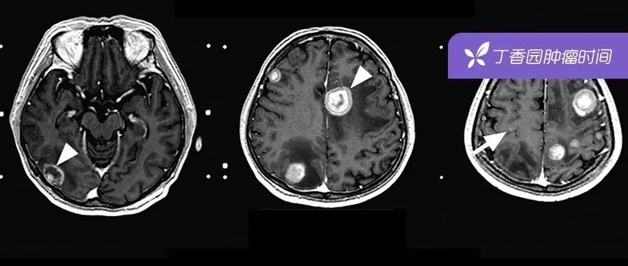
肺癌脑转移的 9 大治疗手段,最全总结都在这里!

肺癌脑转移患者的治疗选择越来越多,生存时间得以延长。但发生率高、预后差、自然生存时间短的现状仍未改变。如何选择治疗策略是临床工作的一大难点?本文结合治疗指南整理了肺癌脑转移的各种治疗策略。62 岁男性,左肺非小细胞肺癌,幕上和幕下室多发转移,并伴有病灶周围水肿,无神经症状。1肺癌脑转移发病情况肺癌脑转移发生率明显高于黑色素瘤、乳腺癌、肾癌和结直肠癌,20%~65% 的肺癌患者在病程中会发生脑转移,是脑转移性肿瘤中最常见的类型。...

丁香园肿瘤时间 2023-03-03

    上海医师在线信息技术有限公司 版权所有 ©   沪ICP备12005625号-1