骨髓瘤 ( multiple myeloma )
别名: 多发性骨髓瘤;Kahler病;骨髓瘤;赫珀特病;赫珀特氏病;浆细胞骨髓瘤

FDA 2月肿瘤药物审批月报

今年2月,正在研发的多种药物被FDA授予孤儿药地位,1种药物被授予突破性疗法称号。FDA还批准了一种治疗晚期腺癌的新药的研究性新药申请。2月份有两种药物上市,用于不可切除的晚期激素受体阳性her2阴性乳腺癌患者以及dMMR复发/晚期子宫内膜癌患者……下面回顾一下FDA自2023年2月以来的重要审批。1.FDA授予BEA-17用于治疗胶质母细胞瘤的孤儿药地位今年2月初,FDA授予了LSD1抑制剂BEA-17孤儿药称号,用于治疗胶质母细胞瘤患者。...

辉瑞最新财报:哪些重点项目值得关注?(附PPT)

▎药明康德内容团队编辑今日,辉瑞(Pfizer)公司公布了2022年第四季度财报。在电话会议上,该公司高管表示,2023年管线中将有多款潜在重磅疗法和疫苗有望获批上市,包括靶向B细胞成熟抗原(BCMA)的双特异性抗体elranatamab,用于治疗中重度溃疡性结肠炎的etrasimod,治疗斑秃的ritlecitinib,和呼吸道合胞病毒(RSV)疫苗等等。此外,该公司还介绍了管线中的重点研发项目。今天,药明康德内容团队将与读者分享其中精彩内容。...

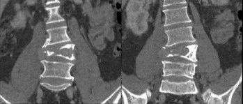
浆细胞瘤!

医学影像  yxyx-app  医学影像APP,打造伴随医生快速成长的影像学习社区。与影像园(Xctmr.com)一起提供最全面的影像案例库、基础(解剖、病理、影像诊断)知识、影像技术及考题等,为医生提供最佳的医学影像参考。【所属科室】骨科【基本资料】患者,男,43岁【主诉】腰痛1年余【现病史】患者1年前无明显诱因出现下腰痛,呈酸软胀痛,活动或长时间站立症状加重,弯腰、坐位、卧床休息后症状减轻,与季节、天气无明显关联,同时伴左下肢麻木,以左小腿后外侧为主,因病情较轻而未予注意。1月前无明显诱因下腰痛及左下肢麻木加重,下腰痛以夜间痛明显,麻木自左臀部开始至大腿后侧、左小腿后外侧,严重影晌其日常生活。...

医学影像APP 2023-01-29

1q21+复发/难治性多发性骨髓瘤患者的重要治疗选择——基于isatuximab的联合治疗

1q21+定义为1q21获得(gain[1q21],3个拷贝数)和1q21扩增(amp[1q21],≥4个拷贝数),是多发性骨髓瘤(MM)最常见的染色体异常之一,诊断时在约40%的患者中可以检测到。1q21+的MM细胞数量和1q21+的拷贝数随着疾病的进展而增加。其对预后的负面影响表明,1q21+与疾病进展和MM治疗耐药的病理生理机制有关。此外,某些高危染色体异常共存是很常见的,这进一步恶化了1q21+患者的预后。...

医脉通血液科 2023-01-09

【10月8-9日8:00|苏州】2022苏州血液学峰会即将开幕,“勇立潮头,奋楫争先”,苏州欢迎您!

金秋十月,桂香满城。自2008年苏州血液学峰会以来,每年10月第一个周末,我们都相聚在苏州进行学术交流,这样的学术传统已经坚持了14年,苏州血液学峰会已经成为血液学领域的重要学术品牌活动。陈悦书教授以及阮长耿院士在血液病学术领域累积了可敬的学术声望,我们的峰会内容也越来越丰富,今年有精准医学与白血病、移植与细胞治疗、淋巴瘤与骨髓瘤、红细胞疾病、规范化教育论坛、青年论坛、多中心研究、血液创新论坛、感染与血液重症等16个分会场,本次大会的主旨是“勇立潮头,奋楫争先”,我们邀请到陈赛娟院士、詹启敏院士、王广基院士、顾晓松院士、Philippe.Moreau、Borje S. Andersson等国内外享有盛名的专家作精彩的学术报告,希望与会同道能够围绕血液病学研究的“新进展、新理论、新技术”,展现从前沿基础研究到临床实践的最新成果,取长补短、收获新知。...

医脉通血液科 2022-10-06

IMS 2022速递丨MM患者ASCT预处理方案的研究进展

自体造血干细胞移植(ASCT)可以提高多发性骨髓瘤(MM)患者的缓解率。在MM患者ASCT的预处理方案中,最常用的药物是美法仑(MEL)。但现在出现了一种新的方案:白消安(BU)联合MEL(BUMEL)。并且由于2019冠状病毒疾病的大流行,世界一些地区存在MEL供应不足的问题。在这种情况下,BU和环磷酰胺(CY)(BU/CY)也可考虑作为MM患者ASCT的替代预处理方案。由于大多数关于BU/CY方案的研究是在使用蛋白酶体抑制剂(PI)或免疫调节药物(IMiD)治疗MM之前进行的,那么在使用PI和IMiD治疗之后此方案疗效如何?今年IMS会议上的两项研究向我们展示了关于BUMEL方案和BU/CY方案的最新进展。...

医脉通血液科 2022-09-02

在三联疗法中加入自体干细胞移植,再加上来那度胺维持可延长新诊断多发性骨髓瘤的PFS

一项大型、随机、III 期 DETRMINATION 研究调查了在来那度胺、硼替佐米和地塞米松 (RVD) 三联疗法中加入自体干细胞移植 (ASCT) 的效果,然后在新诊断的成年患者中进行来那度胺维持治疗直至疾病进展多发性骨髓瘤。与单独使用 RVD 相比,RVD 加 ASCT 的无进展生存期 (PFS) 更长,中位 PFS 显着延长 21.3 个月,疾病进展或死亡风险降低 35%。然而,没有观察到总生存期 (OS) 益处。美国麻州波士顿Dana-Farber癌症研究所肿瘤内科的Paul G. Richardson博士及其同事在ASCO 2022年年会期间将研究结果发表在《新英格兰医学杂志》上,他们得出结论,在没有证明OS受益的情况下,并考虑到现实世界的因素,如治疗负担、急性和长期副作用、患者偏好和生活质量,研究结果可能会被考虑到制定治疗决策。...

肿瘤免疫细 2022-08-01

速递 | 全球首批在望!杨森双特异性抗体获推荐在欧盟有条件上市

▎药明康德内容团队编辑强生(Johnson & Johnson)旗下的杨森(Janssen)公司今日宣布其双特异性抗体Tecvayli(teclistamab)获得欧洲药品管理局的人用药品委员会(CHMP)有条件上市批准推荐,以作为复发或难治性多发性骨髓瘤(RRMM)的单药疗法。患者在之前至少接受过3种不同类型疗法治疗。新闻稿指出,Tecvayli为首个获得CHMP积极意见用于治疗复发或难治性多发性骨髓瘤患者的T细胞重定向双特异性抗体。...

菲凡血液云课堂 | 7月骨髓瘤文献精读工作坊

多发性骨髓瘤(MM)是一种克隆性浆细胞异常增殖的恶性疾病,多发于老年人群。近年来,MM领域进展迅速,每月都会有大量学术成果产生。紧跟学术进展是临床医生的必修课,但血液科医生的日常工作忙碌,很难花大量时间将所有进展一一精读。“菲凡血液云课堂——骨髓瘤文献精读工作坊”系列旨在通过对MM领域的优秀文献精读,了解MM精准诊治的前沿新知,探寻MM的优化诊疗策略,望为MM临床实践提供有价值的参考,改善MM患者的生存及预后。本期为您带来7月精选文章,...

医脉通血液科 2022-07-21

ASCO大咖评谈丨刘爱军教授:早期骨髓MRD状态在CAR-T治疗骨髓瘤中的预后价值分析

骨髓(BM)微小残留病(MRD)的评估被视为是临床试验的替代终点,也可预测多发性骨髓瘤(MM)患者的生存。与常规治疗相比,嵌合抗原受体T(CAR-T)细胞治疗时BM评估的时机是可变的。BM骨髓瘤细胞清除率的检测可在接受CAR-T治疗后的第1个月,甚至可在血清固定电泳阴性前。CAR-T治疗后第1个月BM处于细胞减少状态,因此此时的MRD阴性状态的价值尚不清楚。美国Radhika Bansal等研究者研究了在梅奥诊所中接受CAR-T治疗的MM患者的第30天MRD状态与缓解率、无进展生存期(PFS)和总生存期(OS)的关系。医脉通特别邀请...

医脉通血液科 2022-06-23

    上海医师在线信息技术有限公司 版权所有 ©   沪ICP备12005625号-1