帕金森

徐桂兴手绘|神经科医生必备「手绘图」(三)

神经专业,基于神经解剖、神经病理生理和神经影像,开展临床工作;神经解剖复杂、神经病理生理抽象、神经影像多变;对这些内容形象化、简单化,一直是「神经学插画」的追求目标。同时,在神经专业临床实践中,有很多经典的言语和评分,如「time is brain」「脑子进水」「GCS」等;一个生动、形象的插画,能让医护人员,更好的表达要说的东西,患者也可以更好的知情和理解。基于以上,汇总个人在临床实践中的一些「手绘插画」,予以分享,以期给大家的工作提供一些帮助,更好的理解、应用和表达.........

丁香园神经时间 2022-10-16

【健康科普】知“帕”不怕

知“帕”不怕情景再现 这个月,病房迎来一位胡阿姨,郁郁寡欢,沉默少言,主诉“乏力、头晕2月”来到全科住院。患者女儿:我妈就是最近2个月出现了没力气、头晕,觉得干啥都不得劲,吃饭也不香了,她好像行动明显比以前慢了,而且很久也不见她有个笑脸了,以前她可是个雷厉风行的女强人样的,最近不知道这是怎么了,像变了个人似的。。。。初闻病史的我们,脑中不由自主的开始“乏力待查”的诊断思维:甲状腺功能减退?贫血?抑郁?...

他汀可降低帕金森风险?Neurology再添新证据

*仅供医学专业人士阅读参考临床资讯,1s触达 脑血管疾病病理的负担与老年人进行性帕金森综合征有关,但尚不清楚使用他汀类药物能否降低老年人患帕金森综合征的风险。来自《神经病学》Neurology的研究表明,使用他汀类药物能有效降低成年人患帕金森综合征的风险。该研究对老年人(n=2841)进行了四种帕金森综合征体征的年度临床试验,并根据所有药物的检查结果,评估了他汀类药物的使用情况。如有两个或更多帕金森体征的临床证据,则存在帕金森综合征。...

医学界心血 2022-04-05

JAHA丨心肌梗死后帕金森的风险竟然降低了

近日,发表在J Am Heart Assoc杂志上的一项研究表明,与普通人群相比,心肌梗死(MI)幸存者1年帕金森病风险降低20%,继发性帕金森综合征风险降低28%。来自丹麦奥胡斯大学医院临床流行病学和心脏病学系的Jens Sundbøll博士等人通过丹麦医学登记系统,比较了1995年至2016年初次诊断为MI的患者与性别、年龄匹配的没有MI的一般人群在1年时的帕金森病和继发性帕金森综合征的发病率。研究采用Cox回归分析计算调整危险比(aHR);对匹配因素进行控制,并对相关共病和社会经济因素进行调整。...

这些药物会引起帕金森病,谨慎使用!

帕金森综合征(PD)又名震颤麻痹,是一种以中脑黑质多巴胺神经元退变为主、多系统受累的中老年神经系统变性疾病,特指各种原因(脑血管病、中毒、外伤、药物等)造成的以震颤、肌张力增强和运动减少等为主的一组临床症候群。那么顾名思义,“药源性帕金森综合征”就是指与服药相关的“震颤麻痹”。据统计,药源性帕金森综合征的发病率仅次于老年帕金森病及血管性帕金森综合征。哪些药物可能导致药源性帕金森综合征?临床上不仅“氟桂利嗪”会引起药源性震颤麻痹,理论上讲,凡是可以阻断突触后多巴胺受体或导致多巴胺耗竭的药物均可诱发帕金森综合征。...

帕金森病患者突然血压低怎么办?

作 者 简 介洪朝翔,中国香港籍医生,香港大学深圳医院神经医学中心医生,神经内科硕士。-------------------好文推荐帕金森病扎针灸管用吗?除了帕金森,手抖还可能是哪些病?猛然站起来头晕眼发黑, 是贫血还是低血压?提前10年发出预警的帕金森早期信号,绝大多数人没注意过眩晕≠头昏≠头晕≠贫血≠颈椎病?看完这篇文章你就不“晕”了帕金森病日丨帕金森不是单纯的“抖抖病”, 治疗要靠“三驾马车”...

猫大夫医学科普 2021-10-17

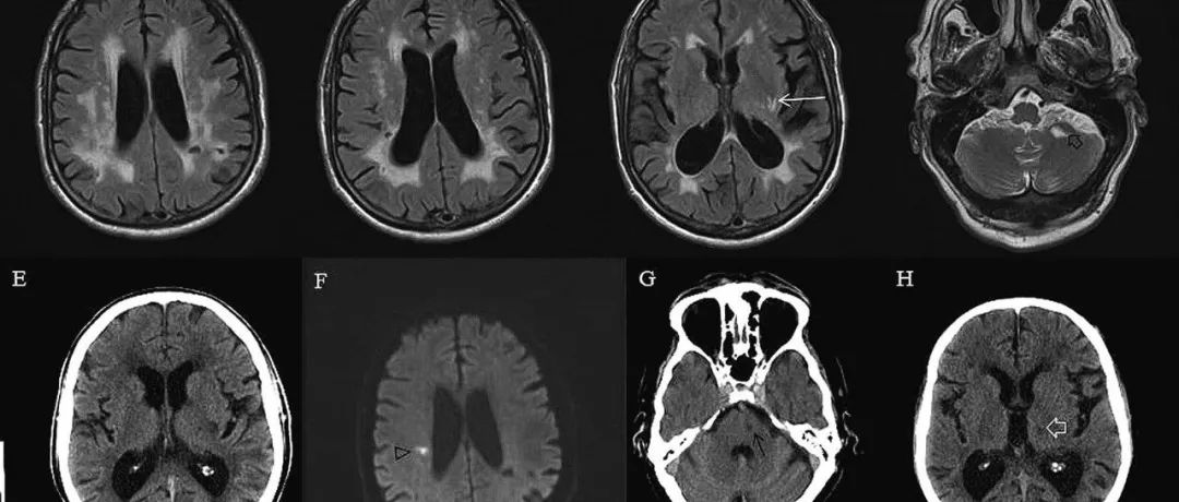
专家述评:血管性帕金森征群

血管性帕金森征群(vascular parkinsonism)是指某些脑血管病引起的中枢神经系统进行性变性疾病,主要累及纹状体-黑质结构及其投射到丘脑-皮质神经纤维、神经结构,产生少动-强直症状群、震颤、步态障碍、下半身综合征(lower body syndrome)等临床表现的变性疾病。01血管性帕金森征群的流行病学的研究血管性帕金森征群的流行病学研究报道很多,各家报道不一,但无肯定的流行率(表1)。...

神经病学俱乐部 2021-10-11

帕金森病扎针灸管用吗?

专 家 简 介 陈鹏,针灸学硕士,现任首都医科大学附属北京中医医院针灸科,副主任医师。师承北京市双百工程指导老师、国家级名老中医程海英教授,现任北京市科益青年创新工作委员会副主任委员、北京针灸学会针法专业委员会委员、北京中医药学会第四届脑病专业委员会委员等。长期从事中医、针灸临床工作,先后师从针灸名家赵百孝教授、程海英教授,擅长采用针灸治疗神经系统疾病及内科杂病,热心中医科普工作。参考文献:...

正确识别率仅 25%!这个疾病症状神经内科医生千万别忽略

诊室外,三名身患帕金森病(PD)的老人谈起了自己就诊的原因。「上周孙子想让我一块儿去游乐园玩,可是最近总感觉走路不太稳当,迈不开步,有一回还差点摔倒,实在没办法陪他……」「别提了,我走路倒是没问题,本来说在家帮忙照看下孙女,结果人太累根本没有精力……」「唉,我这更麻烦,不仅有帕金森病,还有糖尿病、高血压,每天都要按时吃七八种药,吃的药太多了,还总容易忘……」帕金森病给患者的生活带来了极大的困扰。日常诊疗过程中,你有没有遇到过类似的患者,又是如何处理的呢?...

    上海医师在线信息技术有限公司 版权所有 ©   沪ICP备12005625号-1